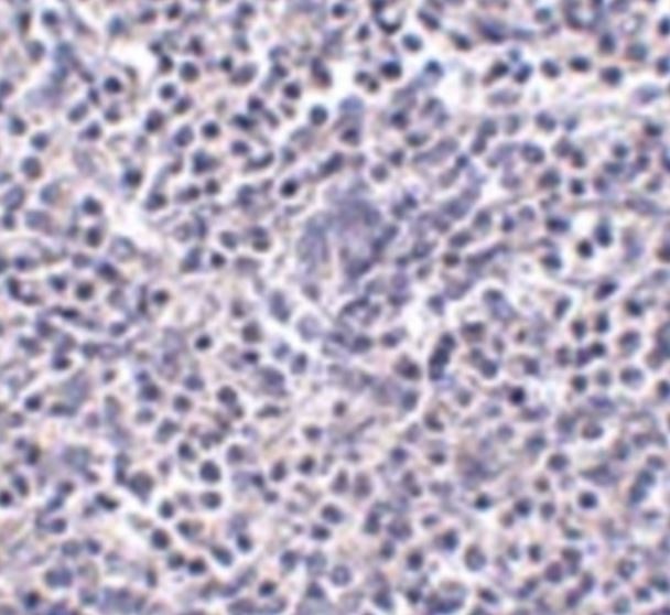
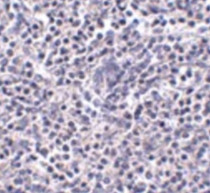
ARG46017
anti-ARL15 antibody
anti-ARL15 antibody for Western blot,IHC-Formalin-fixed paraffin-embedded sections and Human,Mouse,Rat
Overview
| Product Description | Rabbit Polyclonal antibody recognizes ARL15 |
|---|---|
| Tested Reactivity | Hu, Ms, Rat |
| Tested Application | IHC-P, WB |
| Host | Rabbit |
| Clonality | Polyclonal |
| Isotype | IgG |
| Target Name | ARL15 |
| Antigen Species | Human |
| Immunogen | A 17 amino acid synthetic peptide within aa. 130 - 180 of human ARL15. |
| Conjugation | Un-conjugated |
| Alternate Names | ADP-ribosylation factor-like 15; ARL15; ARFRP2; ARFRP2; ADP-ribosylation factor-like protein 15; ADP-ribosylation factor-related protein 2; ARF-related protein 2 |
Application Instructions
| Application Suggestion |
|
||||||
|---|---|---|---|---|---|---|---|
| Application Note | * The dilutions indicate recommended starting dilutions and the optimal dilutions or concentrations should be determined by the scientist. |
Properties
| Purification | Affinity chromatography purified |
|---|---|
| Buffer | PBS and 0.02% Sodium azide. |
| Preservative | 0.02% Sodium azide |
| Concentration | 1 mg/ml |
| Storage Instruction | For continuous use, store undiluted antibody at 2-8°C for up to a week. For long-term storage, aliquot and store at -67°C or below. Storage in frost free freezers is not recommended. Avoid repeated freeze/thaw cycles. Suggest spin the vial prior to opening. The antibody solution should be gently mixed before use. |
| Note | For laboratory research only, not for drug, diagnostic or other use. |
Bioinformation
| Database Links |
Swiss-port # Q8BGR6 Mouse ADP-ribosylation factor-like protein 15 Swiss-port # Q9NXU5 Human ADP-ribosylation factor-like protein 15 |
|---|---|
| Gene Symbol | ARL15 |
| Gene Full Name | ADP-ribosylation factor-like 15 |
| Background | Predicted to enable GTP binding activity and GTPase activity. Located in extracellular exosome. [provided by Alliance of Genome Resources, Jul 2025] |
| Calculated MW | 23 kDa |
| PTM | Phosphoprotein. [UniProt] |
Images (2) Click the Picture to Zoom In
