ARG43276
anti-ARL8B antibody
anti-ARL8B antibody for IHC-Formalin-fixed paraffin-embedded sections,Western blot and Human,Mouse
Overview
| Product Description | Rabbit Polyclonal antibody recognizes ARL8B |
|---|---|
| Tested Reactivity | Hu, Ms |
| Tested Application | IHC-P, WB |
| Host | Rabbit |
| Clonality | Polyclonal |
| Isotype | IgG |
| Target Name | ARL8B |
| Antigen Species | Human |
| Immunogen | Recombinant protein corresponding to aa. 20-186 of Human ARL8B. |
| Conjugation | Un-conjugated |
| Alternate Names | Novel small G protein indispensable for equal chromosome segregation 1; ARL10C; ADP-ribosylation factor-like protein 8B; Gie1; ADP-ribosylation factor-like protein 10C |
Application Instructions
| Application Suggestion |
|
||||||
|---|---|---|---|---|---|---|---|
| Application Note | * The dilutions indicate recommended starting dilutions and the optimal dilutions or concentrations should be determined by the scientist. | ||||||
| Positive Control | Mouse brain, NIH/3T3 and Jurkat | ||||||
| Observed Size | ~ 22 kDa |
Properties
| Form | Liquid |
|---|---|
| Purification | Caprylic acid ammonium sulfate precipitation purified. |
| Buffer | 0.01 M PBS (pH 7.4), 0.03% Proclin 300 and 50% Glycerol. |
| Preservative | 0.03% Proclin 300 |
| Stabilizer | 50% Glycerol |
| Storage Instruction | For continuous use, store undiluted antibody at 2-8°C for up to a week. For long-term storage, aliquot and store at -20°C. Storage in frost free freezers is not recommended. Avoid repeated freeze/thaw cycles. Suggest spin the vial prior to opening. The antibody solution should be gently mixed before use. |
| Note | For laboratory research only, not for drug, diagnostic or other use. |
Bioinformation
| Database Links |
Swiss-port # Q9CQW2 Mouse ADP-ribosylation factor-like protein 8B Swiss-port # Q9NVJ2 Human ADP-ribosylation factor-like protein 8B |
|---|---|
| Gene Symbol | ARL8B |
| Gene Full Name | ADP-ribosylation factor-like 8B |
| Function | Plays a role in lysosome motility (PubMed:16537643, PubMed:25898167). In neurons, mediates the anterograde axonal long-range transport of presynaptic lysosome-related vesicles required for presynaptic biogenesis and synaptic function (By similarity). May play a role in chromosome segregation (PubMed:15331635). [UniProt] |
| Cellular Localization | Late endosome membrane. Lysosome membrane. Cytoplasm, cytoskeleton, spindle. Note=Localizes with microtubules at the spindle mid-zone during mitosis. [UniProt] |
| Calculated MW | 22 kDa |
Images (2) Click the Picture to Zoom In
-
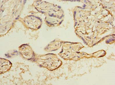
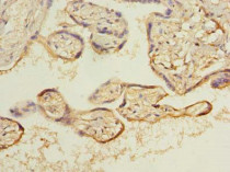
ARG43276 anti-ARL8B antibody IHC-P image
Immunohistochemistry: Paraffin-embedded Human placenta tissue stained with ARG43276 anti-ARL8B antibody at 1:100 dilution.
-
ARG43276 anti-ARL8B antibody WB image
Western blot: Mouse brain, NIH/3T3 and Jurkat whole cell lysates stained with ARG43276 anti-ARL8B antibody at 4 µg/ml dilution.
