ARG46018
anti-ARMER antibody
anti-ARMER antibody for ICC/IF,IHC-Formalin-fixed paraffin-embedded sections,Western blot and Human,Mouse
Overview
| Product Description | Rabbit Polyclonal antibody recognizes ARMER |
|---|---|
| Tested Reactivity | Hu, Ms |
| Tested Application | ICC/IF, IHC-P, WB |
| Host | Rabbit |
| Clonality | Polyclonal |
| Isotype | IgG |
| Target Name | ARMER |
| Antigen Species | Human |
| Immunogen | A 15 amino acid synthetic peptide within the last 50 amino acids of human ARMER. |
| Conjugation | Un-conjugated |
| Alternate Names | ARL6IP1; ADP-ribosylation factor-like 6 interacting protein 1; ARMER; AIP1; ARMER; SPG61; ARL6IP; KIAA0069; ADP-ribosylation factor-like protein 6-interacting protein 1; ARL-6-interacting protein 1 |
Application Instructions
| Application Suggestion |
|
||||||||
|---|---|---|---|---|---|---|---|---|---|
| Application Note | * The dilutions indicate recommended starting dilutions and the optimal dilutions or concentrations should be determined by the scientist. |
Properties
| Purification | Ion exchange chromatography purified |
|---|---|
| Buffer | PBS and 0.02% Sodium azide. |
| Preservative | 0.02% Sodium azide |
| Concentration | 1 mg/ml |
| Storage Instruction | For continuous use, store undiluted antibody at 2-8°C for up to a week. For long-term storage, aliquot and store at -68°C or below. Storage in frost free freezers is not recommended. Avoid repeated freeze/thaw cycles. Suggest spin the vial prior to opening. The antibody solution should be gently mixed before use. |
| Note | For laboratory research only, not for drug, diagnostic or other use. |
Bioinformation
| Database Links |
Swiss-port # Q15041 Human ADP-ribosylation factor-like protein 6-interacting protein 1 Swiss-port # Q9JKW0 Mouse ADP-ribosylation factor-like protein 6-interacting protein 1 |
|---|---|
| Gene Symbol | ARL6IP1 |
| Gene Full Name | ADP-ribosylation factor-like 6 interacting protein 1 |
| Background | This gene belongs to the ARL6ip family and encodes a transmembrane protein that is predominantly localized to intracytoplasmic membranes. It is highly expressed in early myeloid progenitor cells and thought to be involved in protein transport, membrane trafficking, or cell signaling during hematopoietic maturation. Mutations in this gene are associated with spastic paraplegia 61 (SPG61). Alternatively spliced transcript variants have been found for this gene. [provided by RefSeq, Sep 2015] |
| Function | Positively regulates SLC1A1/EAAC1-mediated glutamate transport by increasing its affinity for glutamate in a PKC activity-dependent manner. Promotes the catalytic efficiency of SLC1A1/EAAC1 probably by reducing its interaction with ARL6IP5, a negative regulator of SLC1A1/EAAC1-mediated glutamate transport (By similarity). Plays a role in the formation and stabilization of endoplasmic reticulum tubules (PubMed:24262037). Negatively regulates apoptosis, possibly by modulating the activity of caspase-9 (CASP9). Inhibits cleavage of CASP9-dependent substrates and downstream markers of apoptosis but not CASP9 itself (PubMed:12754298). May be involved in protein transport, membrane trafficking, or cell signaling during hematopoietic maturation (PubMed:10995579). [UniProt] |
| Cellular Localization | Endoplasmic reticulum; Membrane. [UniProt] |
| Calculated MW | 23 kDa |
| PTM | Phosphoprotein. [UniProt] |
Images (3) Click the Picture to Zoom In
-
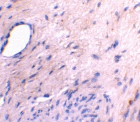
ARG46018 anti-ARMER antibody IHC-P image
Immunohistochemistry: Human bladder stained with ARG46018 anti-ARMER antibody.
-
ARG46018 anti-ARMER antibody ICC/IF image
Immunofluorescence: Mouse Intestine stained with ARG46018 anti-ARMER antibody.
-
ARG46018 anti-ARMER antibody WB image
Western blot: Mouse small intestine stained with ARG46018 anti-ARMER antibody.
