ARG66604
anti-ARNT2 antibody
anti-ARNT2 antibody for ICC/IF,IHC-Formalin-fixed paraffin-embedded sections,Western blot and Human
Overview
| Product Description | Rabbit Polyclonal antibody recognizes ARNT2 |
|---|---|
| Tested Reactivity | Hu |
| Tested Application | ICC/IF, IHC-P, WB |
| Host | Rabbit |
| Clonality | Polyclonal |
| Isotype | IgG |
| Target Name | ARNT2 |
| Antigen Species | Human |
| Immunogen | Synthetic peptide within aa. 40-120 of Human ARNT2. |
| Conjugation | Un-conjugated |
| Alternate Names | WEDAS; Class E basic helix-loop-helix protein 1; ARNT protein 2; bHLHe1; Aryl hydrocarbon receptor nuclear translocator 2 |
Application Instructions
| Application Suggestion |
|
||||||||
|---|---|---|---|---|---|---|---|---|---|
| Application Note | IHC-P: Antigen Retrieval: High-pressure and temperature Tris-EDTA buffer (pH 8.0). * The dilutions indicate recommended starting dilutions and the optimal dilutions or concentrations should be determined by the scientist. |
||||||||
| Observed Size | ~ 80 kDa |
Properties
| Form | Liquid |
|---|---|
| Purification | Affinity purification with immunogen. |
| Buffer | PBS, 0.02% Sodium azide, 50% Glycerol and 0.5% BSA. |
| Preservative | 0.02% Sodium azide |
| Stabilizer | 50% Glycerol and 0.5% BSA |
| Concentration | 1 mg/ml |
| Storage Instruction | For continuous use, store undiluted antibody at 2-8°C for up to a week. For long-term storage, aliquot and store at -20°C. Storage in frost free freezers is not recommended. Avoid repeated freeze/thaw cycles. Suggest spin the vial prior to opening. The antibody solution should be gently mixed before use. |
| Note | For laboratory research only, not for drug, diagnostic or other use. |
Bioinformation
| Database Links |
Swiss-port # Q9HBZ2 Human Aryl hydrocarbon receptor nuclear translocator 2 |
|---|---|
| Gene Symbol | ARNT2 |
| Gene Full Name | aryl-hydrocarbon receptor nuclear translocator 2 |
| Background | This gene encodes a member of the basic-helix-loop-helix-Per-Arnt-Sim (bHLH-PAS) superfamily of transcription factors. The encoded protein acts as a partner for several sensor proteins of the bHLH-PAS family, forming heterodimers with the sensor proteins that bind regulatory DNA sequences in genes responsive to developmental and environmental stimuli. Under hypoxic conditions, the encoded protein complexes with hypoxia-inducible factor 1alpha in the nucleus and this complex binds to hypoxia-responsive elements in enhancers and promoters of oxygen-responsive genes. A highly similar protein in mouse forms functional complexes with both aryl hydrocarbon receptors and Single-minded proteins, suggesting additional roles for the encoded protein in the metabolism of xenobiotic compounds and the regulation of neurogenesis, respectively. [provided by RefSeq, Dec 2013] |
| Function | Transcription factor that plays a role in the development of the hypothalamo-pituitary axis, postnatal brain growth, and visual and renal function. Specifically recognizes the xenobiotic response element (XRE). [UniProt] |
| Cellular Localization | Nucleus. [UniProt] |
| Calculated MW | 79 kDa |
Images (2) Click the Picture to Zoom In
-
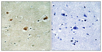
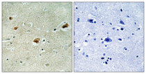
ARG66604 anti-ARNT2 antibody IHC-P image
Immunohistochemistry: Paraffin-embedded Human brain tissue stained with ARG66604 anti-ARNT2 antibody at 1:100 dilution (4°C, overnight). Antigen Retrieval: High-pressure and temperature Tris-EDTA buffer (pH 8.0). Negative control (right) was pre-absorbed by immunogen peptide.
-
ARG66604 anti-ARNT2 antibody WB image
Western blot: Jurkat and 293 cell lysates stained with ARG66604 anti-ARNT2 antibody. The lane on the right was blocked with the synthetic peptide.
