ARG41366
anti-ARPC5 / p16 ARC antibody
anti-ARPC5 / p16 ARC antibody for ICC/IF,IHC-Formalin-fixed paraffin-embedded sections,Immunoprecipitation,Western blot and Human,Mouse,Rat
Overview
| Product Description | Rabbit Polyclonal antibody recognizes ARPC5 / p16 ARC |
|---|---|
| Tested Reactivity | Hu, Ms, Rat |
| Tested Application | ICC/IF, IHC-P, IP, WB |
| Host | Rabbit |
| Clonality | Polyclonal |
| Isotype | IgG |
| Target Name | ARPC5 / p16 ARC |
| Antigen Species | Human |
| Immunogen | Synthetic peptide derived from Human ARPC5 / p16 ARC. |
| Conjugation | Un-conjugated |
| Alternate Names | p16-Arc; p16-ARC; Actin-related protein 2/3 complex subunit 5; ARC16; Arp2/3 complex 16 kDa subunit; dJ127C7.3 |
Application Instructions
| Application Suggestion |
|
||||||||||
|---|---|---|---|---|---|---|---|---|---|---|---|
| Application Note | * The dilutions indicate recommended starting dilutions and the optimal dilutions or concentrations should be determined by the scientist. | ||||||||||
| Observed Size | ~ 17 kDa |
Properties
| Form | Liquid |
|---|---|
| Purification | Affinity purified. |
| Buffer | PBS (pH 7.4), 150 mM NaCl, 0.02% Sodium azide and 50% Glycerol. |
| Preservative | 0.02% Sodium azide |
| Stabilizer | 50% Glycerol |
| Storage Instruction | For continuous use, store undiluted antibody at 2-8°C for up to a week. For long-term storage, aliquot and store at -20°C. Storage in frost free freezers is not recommended. Avoid repeated freeze/thaw cycles. Suggest spin the vial prior to opening. The antibody solution should be gently mixed before use. |
| Note | For laboratory research only, not for drug, diagnostic or other use. |
Bioinformation
| Database Links | |
|---|---|
| Gene Symbol | ARPC5 |
| Gene Full Name | actin related protein 2/3 complex, subunit 5, 16kDa |
| Background | This gene encodes one of seven subunits of the human Arp2/3 protein complex. The Arp2/3 protein complex has been implicated in the control of actin polymerization in cells and has been conserved through evolution. The exact role of the protein encoded by this gene, the p16 subunit, has yet to be determined. Alternatively spliced transcript variants encoding different isoforms have been observed for this gene. [provided by RefSeq, Jul 2012] |
| Function | Functions as component of the Arp2/3 complex which is involved in regulation of actin polymerization and together with an activating nucleation-promoting factor (NPF) mediates the formation of branched actin networks. [UniProt] |
| Cellular Localization | Cytoplasm, cytoskeleton. Cell projection. [UniProt] |
| Calculated MW | 16 kDa |
| PTM | Polyubiquitinated by RNF128 with 'Lys-63'-linked chains, leading to proteasomal degradation. [UniProt] |
Images (4) Click the Picture to Zoom In
-
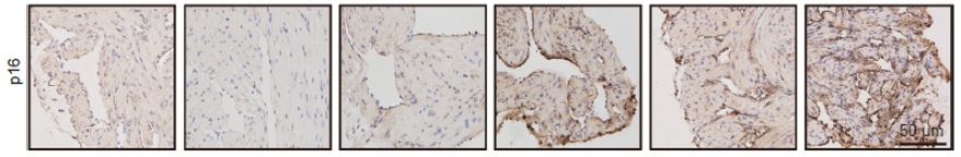
ARG41366 anti-ARPC5 / p16 ARC antibody IHC-P image
Immunohistochemistry: Mouse ESCC stained with ARG41366 anti-ARPC5 / p16 ARC antibody.
From FENG Zhenyu et al. Journal of Dalian Medical University (2025), doi: 10.11724/jdmu.2024.06.02, Fig. 5. G.
-
ARG41366 anti-ARPC5 / p16 ARC antibody ICC/IF image
Immunofluorescence: Neuro-2a cells stained with ARG41366 anti-ARPC5 / p16 ARC antibody (green). DAPI (blue) for nuclear staining.
-
ARG41366 anti-ARPC5 / p16 ARC antibody IHC-P image
Immunohistochemistry: Paraffin-embedded Human colon tissue stained with ARG41366 anti-ARPC5 / p16 ARC antibody.
-
ARG41366 anti-ARPC5 / p16 ARC antibody WB image
Western blot: Human fetal brain lysate stained with ARG41366 anti-ARPC5 / p16 ARC antibody.

