ARG46552
anti-AS160 / TBC1D4 antibody
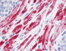
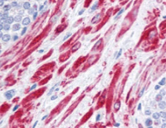
anti-AS160 / TBC1D4 antibody for IHC-Formalin-fixed paraffin-embedded sections and Human
Overview
| Product Description | Rabbit Polyclonal antibody recognizes AS160 / TBC1D4 |
|---|---|
| Tested Reactivity | Hu |
| Tested Application | IHC-P |
| Host | Rabbit |
| Clonality | Polyclonal |
| Isotype | IgG |
| Target Name | AS160 / TBC1D4 |
| Antigen Species | Human |
| Immunogen | A 19 amino acid synthetic peptide within the last 50 amino acids of human AS160 / TBC1D4. |
| Conjugation | Un-conjugated |
| Alternate Names | TBC1D4; AS160; TBC1 domain family member 4; Akt substrate of 160 kDa; NIDDM5 |
Application Instructions
| Application Suggestion |
|
||||
|---|---|---|---|---|---|
| Application Note | * The dilutions indicate recommended starting dilutions and the optimal dilutions or concentrations should be determined by the scientist. | ||||
| Observed Size | 140 kDa |
Properties
| Purification | Affinity chromatography purified |
|---|---|
| Buffer | PBS and 0.02% Sodium azide. |
| Preservative | 0.02% Sodium azide |
| Concentration | 1 mg/ml |
| Storage Instruction | For continuous use, store undiluted antibody at 2-8°C for up to a week. For long-term storage, aliquot and store at -20°C. Storage in frost free freezers is not recommended. Avoid repeated freeze/thaw cycles. Suggest spin the vial prior to opening. The antibody solution should be gently mixed before use. |
| Note | For laboratory research only, not for drug, diagnostic or other use. |
Bioinformation
| Database Links | |
|---|---|
| Gene Symbol | TBC1D4 |
| Gene Full Name | TBC1 domain family, member 4 |
| Background | This gene is a member of the Tre-2/BUB2/CDC16 domain family. The protein encoded by this gene is a Rab-GTPase-activating protein, and contains two phopshotyrosine-binding domains (PTB1 and PTB2), a calmodulin-binding domain (CBD), a Rab-GTPase domain, and multiple AKT phosphomotifs. This protein is thought to play an important role in glucose homeostasis by regulating the insulin-dependent trafficking of the glucose transporter 4 (GLUT4), important for removing glucose from the bloodstream into skeletal muscle and fat tissues. Reduced expression of this gene results in an increase in GLUT4 levels at the plasma membrane, suggesting that this protein is important in intracellular retention of GLUT4 under basal conditions. When exposed to insulin, this protein is phosphorylated, dissociates from GLUT4 vesicles, resulting in increased GLUT4 at the cell surface, and enhanced glucose transport. Phosphorylation of this protein by AKT is required for proper translocation of GLUT4 to the cell surface. Individuals homozygous for a mutation in this gene are at higher risk for type 2 diabetes and have higher levels of circulating glucose and insulin levels after glucose ingestion. Alternative splicing results in multiple transcript variants encoding different isoforms. [provided by RefSeq, Aug 2015] |
| Function | May act as a GTPase-activating protein for RAB2A, RAB8A, RAB10 and RAB14. Isoform 2 promotes insulin-induced glucose transporter SLC2A4/GLUT4 translocation at the plasma membrane, thus increasing glucose uptake. [UniProt] |
| Calculated MW | 143 kDa |
| PTM | Phosphorylated by AKT1; insulin-induced. Also phosphorylated by AMPK in response to insulin. Insulin-stimulated phosphorylation is required for SLC2A4/GLUT4 translocation. Has no effect on SLC2A4/GLUT4 internalization. Physiological hyperinsulinemia increases phosphorylation in skeletal muscle. Insulin-stimulated phosphorylation is reduced by 39% in type 2 diabetic patients. |
Images (1) Click the Picture to Zoom In
