ARG45816
anti-ASAH1 antibody
anti-ASAH1 antibody for ICC/IF,IHC-Formalin-fixed paraffin-embedded sections,Western blot and Human,Mouse,Rat
Overview
| Product Description | Rabbit Polyclonal antibody recognizes ASAH1 |
|---|---|
| Tested Reactivity | Hu, Ms, Rat |
| Tested Application | ICC/IF, IHC-P, WB |
| Host | Rabbit |
| Clonality | Polyclonal |
| Isotype | IgG |
| Target Name | ASAH1 |
| Antigen Species | Human |
| Immunogen | Recombinant protein containing to human ASAH1. |
| Conjugation | Un-conjugated |
| Alternate Names | ASAH1; N-acylsphingosine amidohydrolase (acid ceramidase) 1; AC; ASAH; Acid ceramidase; PHP32; Putative 32 kDa heart protein; EC 3.5.1.23; N-acylsphingosine amidohydrolase; SMAPME; Acylsphingosine deacylase; Acid CDase; PHP; ACDase |
Application Instructions
| Application Suggestion |
|
||||||||
|---|---|---|---|---|---|---|---|---|---|
| Application Note | * The dilutions indicate recommended starting dilutions and the optimal dilutions or concentrations should be determined by the scientist. | ||||||||
| Observed Size | 45 kDa |
Properties
| Form | Liquid |
|---|---|
| Purification | Affinity purified |
| Buffer | 0.2% Na2HPO4, 0.9% NaCl, 0.05% Sodium azide and 4% Trehalose. |
| Preservative | 0.05% Sodium azide |
| Stabilizer | 4% Trehalose |
| Concentration | 0.5 mg/ml |
| Storage Instruction | For continuous use, store undiluted antibody at 2-8°C for up to a week. For long-term storage, aliquot and store at -20°C or below. Storage in frost free freezers is not recommended. Avoid repeated freeze/thaw cycles. Suggest spin the vial prior to opening. The antibody solution should be gently mixed before use. |
| Note | For laboratory research only, not for drug, diagnostic or other use. |
Bioinformation
| Database Links | |
|---|---|
| Gene Symbol | ASAH1 |
| Gene Full Name | N-acylsphingosine amidohydrolase (acid ceramidase) 1 |
| Background | This gene encodes a heterodimeric protein consisting of a nonglycosylated alpha subunit and a glycosylated beta subunit that is cleaved to the mature enzyme posttranslationally. The encoded protein catalyzes the synthesis and degradation of ceramide into sphingosine and fatty acid. Mutations in this gene have been associated with a lysosomal storage disorder known as Farber disease. Multiple transcript variants encoding several distinct isoforms have been identified for this gene. [provided by RefSeq, Jul 2008] |
| Function | Hydrolyzes the sphingolipid ceramide into sphingosine and free fatty acid. [UniProt] |
| Cellular Localization | Lysosome. [UniProt] |
| Calculated MW | 45 kDa |
| PTM | Disulfide bond; Glycoprotein. [UniProt] |
Images (6) Click the Picture to Zoom In
-
ARG45816 anti-ASAH1 antibody IHC-P image
Immunohistochemistry: Human melanoma stained with ARG45816 anti-ASAH1 antibody at 1 μg/ml dilution.
-
ARG45816 anti-ASAH1 antibody ICC/IF image
Immunofluorescence: Hela stained with ARG45816 anti-ASAH1 antibody at 5 μg/ml dilution.
-
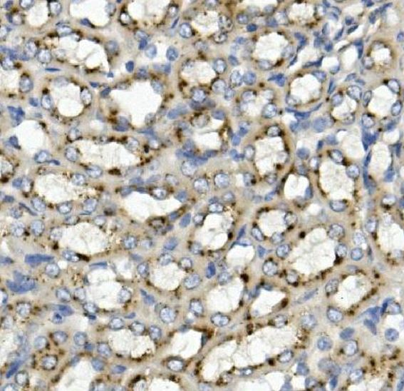
ARG45816 anti-ASAH1 antibody IHC-P image
Immunohistochemistry: Mouse kidney stained with ARG45816 anti-ASAH1 antibody at 1 μg/ml dilution.
-
ARG45816 anti-ASAH1 antibody WB image
Western blot: Hela stained with ARG45816 anti-ASAH1 antibody at 0.5 μg/ml dilution.
-
ARG45816 anti-ASAH1 antibody WB image
Western blot: Rat heart stained with ARG45816 anti-ASAH1 antibody at 0.5 μg/ml dilution.
-
ARG45816 anti-ASAH1 antibody WB image
Western blot: Mouse heart stained with ARG45816 anti-ASAH1 antibody at 0.5 μg/ml dilution.
