ARG44779
anti-ASPM antibody
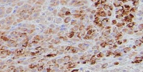
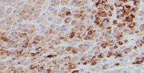
anti-ASPM antibody for IHC-Formalin-fixed paraffin-embedded sections,Western blot and Human
Overview
| Product Description | Mouse Monoclonal antibody recognizes ASPM |
|---|---|
| Tested Reactivity | Hu |
| Tested Application | IHC-P, WB |
| Host | Mouse |
| Clonality | Monoclonal |
| Isotype | IgG2b |
| Target Name | ASPM |
| Antigen Species | Human |
| Epitope | CKVPLSNENS QVPQSPEDWR KSEVSPRIPE CQGSKSPKAI FEELVEMKSN YYSFIKQNNP KFSAVQDISS HSHNKQPKRR PILSATVTKR KATCTRENQT EINKPKAKRC LNSAVGEHEK VINNQKEKED FHSYLPIIDP ILSKSKSYKN EVTPSSTTAS VARKRKSDGS MEDANVRVAI TEHTEVREIK RIHFSPSEPK TSAVKKTKNV TTPISKRISN REKLNLKKKT DLSIFRTPIS KTNKRTKPII AVAQSSLTFI KPLKTDIPRH PMPFAAKNMF YDERWKEKQE QGFTWWLNFI LTPDDFTVKT |
| Conjugation | Un-conjugated |
| Alternate Names | ASPM; Assembly Factor For Spindle Microtubules; Calmbp1; MCPH5; ASP; Abnormal Spindle-Like Microcephaly-Associated Protein; Abnormal Spindle Microtubule Assembly; FLJ10517; FLJ10549; Asp (Abnormal Spindle) Homolog, Microcephaly Associated (Drosophila); Asp (Abnormal Spindle)-Like, Microcephaly Associated (Drosophila); Asp (Abnormal Spindle) Homolog, Microcephaly Associated; Microcephaly, Primary Autosomal Recessive 5; Abnormal Spindle Protein Homolog; Asp Homolog |
Application Instructions
| Application Suggestion |
|
||||||
|---|---|---|---|---|---|---|---|
| Application Note | * The dilutions indicate recommended starting dilutions and the optimal dilutions or concentrations should be determined by the scientist. |
Properties
| Form | Liquid |
|---|---|
| Purification | Protein A purification |
| Buffer | PBS with 0.09% sodium azide |
| Preservative | 0.09% sodium azide |
| Storage Instruction | For continuous use, store undiluted antibody at 2-8°C for up to a week. For long-term storage, aliquot and store at -20°C or below. Storage in frost free freezers is not recommended. Avoid repeated freeze/thaw cycles. Suggest spin the vial prior to opening. The antibody solution should be gently mixed before use. |
| Note | For laboratory research only, not for drug, diagnostic or other use. |
Bioinformation
| Database Links |
Swiss-port # Q8IZT6 Human Abnormal spindle-like microcephaly-associated protein |
|---|---|
| Gene Symbol | ASPM |
| Gene Full Name | Assembly Factor For Spindle Microtubules |
| Background | This gene is the human ortholog of the Drosophila melanogaster 'abnormal spindle' gene (asp), which is essential for normal mitotic spindle function in embryonic neuroblasts. Studies in mouse also suggest a role of this gene in mitotic spindle regulation, with a preferential role in regulating neurogenesis. Mutations in this gene are associated with microcephaly primary type 5. Multiple transcript variants encoding different isoforms have been found for this gene.[provided by RefSeq, May 2011] |
| Function | May have a preferential role in regulating neurogenesis. [Uniprot] |
| Cellular Localization | Cytoplasm, Cytoskeleton, Nucleus. [Uniprot] |
| PTM | Phosphoprotein. [Uniprot] |
Images (2) Click the Picture to Zoom In
