ARG46022
anti-ATAD3B antibody
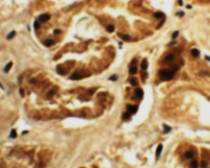
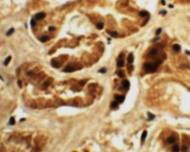
anti-ATAD3B antibody for Western blot,IHC-Formalin-fixed paraffin-embedded sections and Human
Overview
| Product Description | Rabbit Polyclonal antibody recognizes ATAD3B |
|---|---|
| Tested Reactivity | Hu |
| Tested Application | IHC-P, WB |
| Host | Rabbit |
| Clonality | Polyclonal |
| Isotype | IgG |
| Target Name | ATAD3B |
| Antigen Species | Human |
| Immunogen | A 14 amino acid synthetic peptide within aa. 570 - 620 of human ATAD3B. |
| Conjugation | Un-conjugated |
| Alternate Names | ATAD3B; AAA-TOB3; ATPase family AAA domain-containing protein 3B; TOB3 |
Application Instructions
| Application Suggestion |
|
||||||
|---|---|---|---|---|---|---|---|
| Application Note | * The dilutions indicate recommended starting dilutions and the optimal dilutions or concentrations should be determined by the scientist. |
Properties
| Purification | Affinity chromatography purified |
|---|---|
| Buffer | PBS and 0.02% Sodium azide. |
| Preservative | 0.02% Sodium azide |
| Concentration | 1 mg/ml |
| Storage Instruction | For continuous use, store undiluted antibody at 2-8°C for up to a week. For long-term storage, aliquot and store at -20°C. Storage in frost free freezers is not recommended. Avoid repeated freeze/thaw cycles. Suggest spin the vial prior to opening. The antibody solution should be gently mixed before use. |
| Note | For laboratory research only, not for drug, diagnostic or other use. |
Bioinformation
| Database Links |
Swiss-port # Q5T9A4 Human ATPase family AAA domain-containing protein 3B |
|---|---|
| Gene Symbol | ATAD3B |
| Gene Full Name | ATPase family, AAA domain containing 3B |
| Background | ATAD3A (MIM 612316) and ATAD3B are mitochondrial membrane proteins that contribute to the stabilization of large mitochondrial DNA (mtDNA)-protein complexes called nucleoids (He et al., 2007 [PubMed 17210950]).[supplied by OMIM, Sep 2008] |
| Function | May play a role in a mitochondrial network organization typical for stem cells, characterized by reduced mitochondrial metabolism, low mtDNA copies and fragmentated mitochondrial network. may act by suppressing ATAD3A function, interfering with ATAD3A interaction with matrix nucleoid complexes. [UniProt] |
| Calculated MW | 73 kDa |
Images (2) Click the Picture to Zoom In
