ARG44588
anti-ATF4 antibody
anti-ATF4 antibody for ICC/IF,IHC-Formalin-fixed paraffin-embedded sections,Western blot and Human,Mouse,Rat
Overview
| Product Description | Rabbit Polyclonal antibody recognizes ATF4 |
|---|---|
| Tested Reactivity | Hu, Ms, Rat |
| Tested Application | ICC/IF, IHC-P, WB |
| Host | Rabbit |
| Clonality | Polyclonal |
| Target Name | ATF4 |
| Antigen Species | Human |
| Immunogen | Synthesized peptide from Human ATF4 |
| Epitope | IgG |
| Conjugation | Un-conjugated |
| Protein Full Name | Cyclic AMP-dependent transcription factor ATF-4 |
| Alternate Names | ATF4; Activating Transcription Factor 4; CREB-2; TAXREB67; TXREB; Tax-Responsive Enhancer Element-Binding Protein 67; Cyclic AMP-Dependent Transcription Factor ATF-4; Cyclic AMP-Responsive Element-Binding Protein 2; CAMP-Dependent Transcription Factor ATF-4; CAMP-Responsive Element-Binding Protein 2; Tax-Responsive Enhancer Element B67; CREB2; Activating Transcription Factor 4 (Tax-Responsive Enhancer Element B67); CAMP Response Element-Binding Protein 2; DNA-Binding Protein TAXREB67; TaxREB67 |
Application Instructions
| Application Suggestion |
|
||||||||
|---|---|---|---|---|---|---|---|---|---|
| Application Note | * The dilutions indicate recommended starting dilutions and the optimal dilutions or concentrations should be determined by the scientist. | ||||||||
| Observed Size | 50 kDa |
Properties
| Form | Liquid |
|---|---|
| Purification | Affinity purified. |
| Purity | PBS (pH 7.4), 150mM NaCl, 0.02% Sodium azide and 50% Glycerol. |
| Buffer | 0.02% Sodium azide |
| Preservative | 50% Glycerol |
| Stabilizer | 4% Trehalose |
| Storage Instruction | For continuous use, store undiluted antibody at 2-8°C for up to a week. For long-term storage, aliquot and store at -20°C or below. Storage in frost free freezers is not recommended. Avoid repeated freeze/thaw cycles. Suggest spin the vial prior to opening. The antibody solution should be gently mixed before use. |
| Note | For laboratory research only, not for drug, diagnostic or other use. |
Bioinformation
| Database Links | |
|---|---|
| Gene Symbol | ATF4 |
| Gene Full Name | Activating Transcription Factor 4 |
| Background | This gene encodes a transcription factor that was originally identified as a widely expressed mammalian DNA binding protein that could bind a tax-responsive enhancer element in the LTR of HTLV-1. The encoded protein was also isolated and characterized as the cAMP-response element binding protein 2 (CREB-2). The protein encoded by this gene belongs to a family of DNA-binding proteins that includes the AP-1 family of transcription factors, cAMP-response element binding proteins (CREBs) and CREB-like proteins. These transcription factors share a leucine zipper region that is involved in protein-protein interactions, located C-terminal to a stretch of basic amino acids that functions as a DNA binding domain. Two alternative transcripts encoding the same protein have been described. Two pseudogenes are located on the X chromosome at q28 in a region containing a large inverted duplication. [provided by RefSeq, Sep 2011] |
| Function | Transcription factor that binds the cAMP response element (CRE) (consensus: 5'-GTGACGT[AC][AG]-3') and displays two biological functions, as regulator of metabolic and redox processes under normal cellular conditions, and as master transcription factor during integrated stress response (ISR). |
| Cellular Localization | Cell membrane, Cytoplasm, Cytoskeleton, Membrane, Nucleus |
| Highlight | Related news: Disulfidptosis markers; |
| Calculated MW | 39 kDa |
| PTM | Acetylation, Hydroxylation, Isopeptide bond, Phosphoprotein, Ubl conjugation |
Images (4) Click the Picture to Zoom In
-
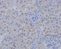
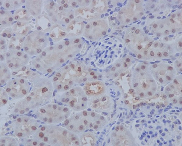
ARG44588 anti-ATF4 antibody IHC-P image
Immunohistochemistry: Mouse kidney stained with ARG44588 anti-ATF4 antibody.
-
ARG44588 anti-ATF4 antibody ICC/IF image
Immunofluorescence: 293 stained with ARG44588 anti-ATF4 antibody.
-
ARG44588 anti-ATF4 antibody WB image
Western blot: HeLa stained with ARG44588 anti-ATF4 antibody.
-
ARG44588 anti-ATF4 antibody WB image
Western blot: 3T3 stained with ARG44588 anti-ATF4 antibody.
