ARG54812
anti-ATG7 antibody
anti-ATG7 antibody for Flow cytometry,IHC-Formalin-fixed paraffin-embedded sections,Western blot and Human
Cancer antibody; Cell Biology and Cellular Response antibody; Cell Death antibody; Metabolism antibody; Signaling Transduction antibody
Overview
| Product Description | Rabbit Polyclonal antibody recognizes ATG7 |
|---|---|
| Tested Reactivity | Hu |
| Predict Reactivity | Ms, Rat, Chk |
| Tested Application | FACS, IHC-P, WB |
| Host | Rabbit |
| Clonality | Polyclonal |
| Isotype | IgG |
| Target Name | ATG7 |
| Antigen Species | Human |
| Immunogen | KLH-conjugated synthetic peptide corresponding to aa. 540-569 of Human APG7L. |
| Conjugation | Un-conjugated |
| Alternate Names | Ubiquitin-like modifier-activating enzyme ATG7; hAGP7; Autophagy-related protein 7; GSA7; Ubiquitin-activating enzyme E1-like protein; APG7-LIKE; APG7L; APG7-like; ATG12-activating enzyme E1 ATG7 |
Application Instructions
| Application Suggestion |
|
||||||||
|---|---|---|---|---|---|---|---|---|---|
| Application Note | * The dilutions indicate recommended starting dilutions and the optimal dilutions or concentrations should be determined by the scientist. |
Properties
| Form | Liquid |
|---|---|
| Purification | Purification with Protein A and immunogen peptide. |
| Buffer | PBS and 0.09% (W/V) Sodium azide |
| Preservative | 0.09% (W/V) Sodium azide |
| Storage Instruction | For continuous use, store undiluted antibody at 2-8°C for up to a week. For long-term storage, aliquot and store at -20°C or below. Storage in frost free freezers is not recommended. Avoid repeated freeze/thaw cycles. Suggest spin the vial prior to opening. The antibody solution should be gently mixed before use. |
| Note | For laboratory research only, not for drug, diagnostic or other use. |
Bioinformation
| Database Links |
Swiss-port # O95352 Human Ubiquitin-like modifier-activating enzyme ATG7 |
|---|---|
| Gene Symbol | ATG7 |
| Gene Full Name | autophagy related 7 |
| Background | This gene was identified based on homology to Pichia pastoris GSA7 and Saccharomyces cerevisiae APG7. In the yeast, the protein appears to be required for fusion of peroxisomal and vacuolar membranes. The protein shows homology to the ATP-binding and catalytic sites of the E1 ubiquitin activating enzymes. [provided by RefSeq, Jan 2009] |
| Function | E1-like activating enzyme involved in the 2 ubiquitin-like systems required for cytoplasm to vacuole transport (Cvt) and autophagy. Activates ATG12 for its conjugation with ATG5 as well as the ATG8 family proteins for their conjugation with phosphatidylethanolamine. Both systems are needed for the ATG8 association to Cvt vesicles and autophagosomes membranes. Required for autophagic death induced by caspase-8 inhibition. Required for mitophagy which contributes to regulate mitochondrial quantity and quality by eliminating the mitochondria to a basal level to fulfill cellular energy requirements and preventing excess ROS production. Modulates p53/TP53 activity to regulate cell cycle and survival during metabolic stress. Plays also a key role in the maintenance of axonal homeostasis, the prevention of axonal degeneration, the maintenance of hematopoietic stem cells, the formation of Paneth cell granules, as well as in adipose differentiation. [UniProt] |
| Cellular Localization | Cytoplasm. Preautophagosomal structure. Note=Localizes also to discrete punctae along the ciliary axoneme and to the base of the ciliary axoneme |
| Research Area | Cancer antibody; Cell Biology and Cellular Response antibody; Cell Death antibody; Metabolism antibody; Signaling Transduction antibody |
| Calculated MW | 78 kDa |
| PTM | Acetylated by EP300. |
Images (3) Click the Picture to Zoom In
-
ARG54812 anti-ATG7 antibody WB image
Western blot: 30 µg of 293T cell lysate stained with ARG54812 anti-ATG7 antibody at 1:1000 dilution.
-
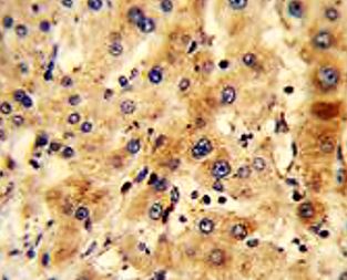
ARG54812 anti-ATG7 antibody IHC-P image
Immunohistochemistry: Formalin-fixed and paraffin-embedded Human liver tissue stained with ARG54812 anti-ATG7 antibody.
-
ARG54812 anti-ATG7 antibody FACS image
Flow Cytometry: HeLa cells stained with ARG54812 anti-ATG7 antibody (right histogram) or without primary antibody control (left histogram), followed by incubation with FITC labelled secondary antibody.
Customer's Feedback
Specific References

