ARG56862
anti-ATG7 antibody
anti-ATG7 antibody for ICC/IF,IHC-Formalin-fixed paraffin-embedded sections and Human,Mouse,Rat
Overview
| Product Description | Rabbit Polyclonal antibody recognizes ATG7 |
|---|---|
| Tested Reactivity | Hu, Ms, Rat |
| Tested Application | ICC/IF, IHC-P |
| Host | Rabbit |
| Clonality | Polyclonal |
| Isotype | IgG |
| Target Name | ATG7 |
| Antigen Species | Human |
| Immunogen | Recombinant protein of Human ATG7. |
| Conjugation | Un-conjugated |
| Alternate Names | Ubiquitin-like modifier-activating enzyme ATG7; hAGP7; Autophagy-related protein 7; GSA7; Ubiquitin-activating enzyme E1-like protein; APG7-LIKE; APG7L; APG7-like; ATG12-activating enzyme E1 ATG7 |
Application Instructions
| Application Suggestion |
|
||||||
|---|---|---|---|---|---|---|---|
| Application Note | * The dilutions indicate recommended starting dilutions and the optimal dilutions or concentrations should be determined by the scientist. | ||||||
| Positive Control | HeLa |
Properties
| Form | Liquid |
|---|---|
| Purification | Affinity purification with immunogen. |
| Buffer | PBS (pH 7.3), 0.02% Sodium azide and 50% Glycerol. |
| Preservative | 0.02% Sodium azide |
| Stabilizer | 50% Glycerol |
| Storage Instruction | For continuous use, store undiluted antibody at 2-8°C for up to a week. For long-term storage, aliquot and store at -20°C. Storage in frost free freezers is not recommended. Avoid repeated freeze/thaw cycles. Suggest spin the vial prior to opening. The antibody solution should be gently mixed before use. |
| Note | For laboratory research only, not for drug, diagnostic or other use. |
Bioinformation
| Database Links | |
|---|---|
| Gene Symbol | ATG7 |
| Gene Full Name | autophagy related 7 |
| Background | This gene encodes an E1-like activating enzyme that is essential for autophagy and cytoplasmic to vacuole transport. The encoded protein is also thought to modulate p53-dependent cell cycle pathways during prolonged metabolic stress. It has been associated with multiple functions, including axon membrane trafficking, axonal homeostasis, mitophagy, adipose differentiation, and hematopoietic stem cell maintenance. Alternative splicing results in multiple transcript variants. [provided by RefSeq, Sep 2015] |
| Function | E1-like activating enzyme involved in the 2 ubiquitin-like systems required for cytoplasm to vacuole transport (Cvt) and autophagy. Activates ATG12 for its conjugation with ATG5 as well as the ATG8 family proteins for their conjugation with phosphatidylethanolamine. Both systems are needed for the ATG8 association to Cvt vesicles and autophagosomes membranes. Required for autophagic death induced by caspase-8 inhibition. Required for mitophagy which contributes to regulate mitochondrial quantity and quality by eliminating the mitochondria to a basal level to fulfill cellular energy requirements and preventing excess ROS production. Modulates p53/TP53 activity to regulate cell cycle and survival during metabolic stress. Plays also a key role in the maintenance of axonal homeostasis, the prevention of axonal degeneration, the maintenance of hematopoietic stem cells, the formation of Paneth cell granules, as well as in adipose differentiation. [UniProt] |
| Calculated MW | 78 kDa |
| PTM | Acetylated by EP300. |
Images (3) Click the Picture to Zoom In
-
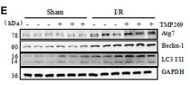
ARG56862 anti-ATG7 antibody WB image
Western blot: Mouse kidney stained with ARG56862 anti-ATG7 antibody.
From Li J et al. Front Pharmacol. (2022), doi: 10.3389/fphar.2022.946192, Fig. 5. E.
-
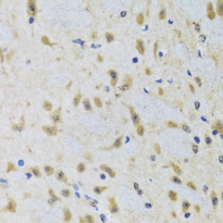
ARG56862 anti-ATG7 antibody IHC-P image
Immunohistochemistry: Paraffin-embedded Mouse brain tissue stained with ARG56862 anti-ATG7 antibody at 1:100 dilution.
-
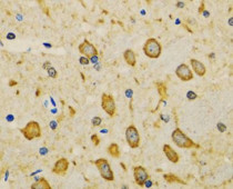
ARG56862 anti-ATG7 antibody IHC-P image
Immunohistochemistry: Paraffin-embedded Rat brain tissue stained with ARG56862 anti-ATG7 antibody at 1:100 dilution (x40 lens).

