ARG54826
anti-ATHL1 antibody
anti-ATHL1 antibody for Flow cytometry,IHC-Formalin-fixed paraffin-embedded sections,Western blot and Human
Cell Biology and Cellular Response antibody; Metabolism antibody; Signaling Transduction antibody
Overview
| Product Description | Rabbit Polyclonal antibody recognizes ATHL1 |
|---|---|
| Tested Reactivity | Hu |
| Tested Application | FACS, IHC-P, WB |
| Host | Rabbit |
| Clonality | Polyclonal |
| Isotype | IgG |
| Target Name | ATHL1 |
| Antigen Species | Human |
| Immunogen | KLH-conjugated synthetic peptide corresponding to aa. 688-716 (C-terminus) of Human ATHL1. |
| Conjugation | Un-conjugated |
| Alternate Names | Acid trehalase-like protein 1; EC 3.2.1.- |
Application Instructions
| Application Suggestion |
|
||||||||
|---|---|---|---|---|---|---|---|---|---|
| Application Note | * The dilutions indicate recommended starting dilutions and the optimal dilutions or concentrations should be determined by the scientist. | ||||||||
| Positive Control | MDA-MB-435 |
Properties
| Form | Liquid |
|---|---|
| Purification | Purification with Protein A and immunogen peptide. |
| Buffer | PBS and 0.09% (W/V) Sodium azide |
| Preservative | 0.09% (W/V) Sodium azide |
| Storage Instruction | For continuous use, store undiluted antibody at 2-8°C for up to a week. For long-term storage, aliquot and store at -20°C or below. Storage in frost free freezers is not recommended. Avoid repeated freeze/thaw cycles. Suggest spin the vial prior to opening. The antibody solution should be gently mixed before use. |
| Note | For laboratory research only, not for drug, diagnostic or other use. |
Bioinformation
| Database Links | |
|---|---|
| Gene Symbol | ATHL1 |
| Gene Full Name | ATH1, acid trehalase-like 1 (yeast) |
| Research Area | Cell Biology and Cellular Response antibody; Metabolism antibody; Signaling Transduction antibody |
| Calculated MW | 81 kDa |
Images (3) Click the Picture to Zoom In
-
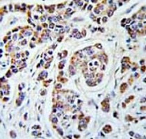
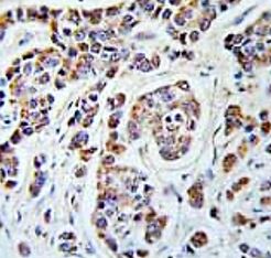
ARG54826 anti-ATHL1 antibody IHC-P image
Immunohistochemistry: Formalin-fixed and paraffin-embedded Human breast carcinoma stained with ARG54826 anti-ATHL1 antibody.
-
ARG54826 anti-ATHL1 antibody WB image
Western blot: 35 µg of MDA-MB-435 cell lysate stained with ARG54826 anti-ATHL1 antibody.
-
ARG54826 anti-ATHL1 antibody FACS image
Flow Cytometry: MDA-MB-435 cells stained with ARG54826 anti-ATHL1 antibody (right histogram) or without primary antibody control (left histogram), followed by incubation with FITC labelled secondary antibody.
