ARG45662
anti-ATP4B antibody
anti-ATP4B antibody for Flow cytometry,IHC-Formalin-fixed paraffin-embedded sections,Western blot and Human,Mouse,Rat
Overview
| Product Description | Rabbit Polyclonal antibody recognizes ATP4B |
|---|---|
| Tested Reactivity | Hu, Ms, Rat |
| Tested Application | FACS, IHC-P, WB |
| Host | Rabbit |
| Clonality | Polyclonal |
| Isotype | IgG |
| Target Name | ATP4B |
| Antigen Species | Human |
| Immunogen | Recombinant protein containing to human ATP4B. |
| Conjugation | Un-conjugated |
| Alternate Names | ATP4B; ATPase, H+/K+ exchanging, beta polypeptide; Gastric H; +; Proton pump beta chain; ATP6B; Potassium-transporting ATPase subunit beta |
Application Instructions
| Application Suggestion |
|
||||||||
|---|---|---|---|---|---|---|---|---|---|
| Application Note | * The dilutions indicate recommended starting dilutions and the optimal dilutions or concentrations should be determined by the scientist. |
Properties
| Form | Liquid |
|---|---|
| Purification | Affinity purified |
| Buffer | 0.2% Na2HPO4, 0.9% NaCl and 4% Trehalose. |
| Stabilizer | 4% Trehalose |
| Concentration | 0.5 mg/ml |
| Storage Instruction | For continuous use, store undiluted antibody at 2-8°C for up to a week. For long-term storage, aliquot and store at -20°C or below. Storage in frost free freezers is not recommended. Avoid repeated freeze/thaw cycles. Suggest spin the vial prior to opening. The antibody solution should be gently mixed before use. |
| Note | For laboratory research only, not for drug, diagnostic or other use. |
Bioinformation
| Database Links | |
|---|---|
| Gene Symbol | ATP4B |
| Gene Full Name | ATPase, H+/K+ exchanging, beta polypeptide |
| Background | The protein encoded by this gene belongs to a family of P-type cation-transporting ATPases. The gastric H+, K+-ATPase is a heterodimer consisting of a high molecular weight catalytic alpha subunit and a smaller but heavily glycosylated beta subunit. This enzyme is a proton pump that catalyzes the hydrolysis of ATP coupled with the exchange of H(+) and K(+) ions across the plasma membrane. It is also responsible for gastric acid secretion. This gene encodes the beta subunit of the gastric H+, K+-ATPase. [provided by RefSeq, Jul 2008] |
| Function | Required for stabilization and maturation of the catalytic proton pump alpha subunit and may also involved in cell adhesion and establishing epithelial cell polarity. [UniProt] |
| Cellular Localization | Cell membrane; Single-pass type II membrane protein. [UniProt] |
| Calculated MW | 33 kDa |
| PTM | Disulfide bond; Glycoprotein. [UniProt] |
Images (4) Click the Picture to Zoom In
-
ARG45662 anti-ATP4B antibody FACS image
Flow Cytometry: HepG2 stained with ARG45662 anti-ATP4B antibody at 1 µg/10^6 cells dilution.
-
ARG45662 anti-ATP4B antibody WB image
Western blot: Rat stomach stained with ARG45662 anti-ATP4B antibody at 0.5 μg/ml dilution.
-
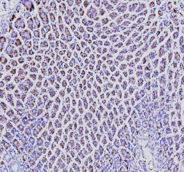
ARG45662 anti-ATP4B antibody IHC-P image
Immunohistochemistry: Mouse stomach stained with ARG45662 anti-ATP4B antibody at 2 μg/ml dilution.
-
ARG45662 anti-ATP4B antibody WB image
Western blot: Mouse stomach stained with ARG45662 anti-ATP4B antibody at 0.5 μg/ml dilution.
