ARG66863
anti-ATR antibody
anti-ATR antibody for IHC-Formalin-fixed paraffin-embedded sections,Western blot and Human
Overview
| Product Description | Rabbit Polyclonal antibody recognizes ATR |
|---|---|
| Tested Reactivity | Hu |
| Tested Application | IHC-P, WB |
| Host | Rabbit |
| Clonality | Polyclonal |
| Isotype | IgG |
| Target Name | ATR |
| Antigen Species | Human |
| Immunogen | Synthetic peptide corresponding to aa. 394-443 of Human ATR. |
| Conjugation | Un-conjugated |
| Alternate Names | FRP1; SCKL; FCTCS; FRAP-related protein 1; Serine/threonine-protein kinase ATR; EC 2.7.11.1; MEC1; SCKL1; Ataxia telangiectasia and Rad3-related protein |
Application Instructions
| Application Suggestion |
|
||||||
|---|---|---|---|---|---|---|---|
| Application Note | * The dilutions indicate recommended starting dilutions and the optimal dilutions or concentrations should be determined by the scientist. | ||||||
| Positive Control | COLO |
Properties
| Form | Liquid |
|---|---|
| Purification | Affinity purification with immunogen. |
| Buffer | PBS, 0.02% Sodium azide, 50% Glycerol and 0.5% BSA. |
| Preservative | 0.02% Sodium azide |
| Stabilizer | 50% Glycerol and 0.5% BSA |
| Concentration | 1 mg/ml |
| Storage Instruction | For continuous use, store undiluted antibody at 2-8°C for up to a week. For long-term storage, aliquot and store at -20°C. Storage in frost free freezers is not recommended. Avoid repeated freeze/thaw cycles. Suggest spin the vial prior to opening. The antibody solution should be gently mixed before use. |
| Note | For laboratory research only, not for drug, diagnostic or other use. |
Bioinformation
| Database Links |
Swiss-port # Q13535 Human Serine/threonine-protein kinase ATR |
|---|---|
| Gene Symbol | ATR |
| Gene Full Name | ATR serine/threonine kinase |
| Background | The protein encoded by this gene is a serine/threonine kinase and DNA damage sensor, activating cell cycle checkpoint signaling upon DNA stress. The encoded protein can phosphorylate and activate several proteins involved in the inhibition of DNA replication and mitosis, and can promote DNA repair, recombination, and apoptosis. This protein is also important for fragile site stability and centrosome duplication. Defects in this gene are a cause of Seckel syndrome 1. [provided by RefSeq, Aug 2017] |
| Function | Serine/threonine protein kinase which activates checkpoint signaling upon genotoxic stresses such as ionizing radiation (IR), ultraviolet light (UV), or DNA replication stalling, thereby acting as a DNA damage sensor. Recognizes the substrate consensus sequence [ST]-Q. Phosphorylates BRCA1, CHEK1, MCM2, RAD17, RPA2, SMC1 and p53/TP53, which collectively inhibit DNA replication and mitosis and promote DNA repair, recombination and apoptosis. Phosphorylates 'Ser-139' of histone variant H2AX/H2AFX at sites of DNA damage, thereby regulating DNA damage response mechanism. Required for FANCD2 ubiquitination. Critical for maintenance of fragile site stability and efficient regulation of centrosome duplication. [UniProt] |
| Cellular Localization | Nucleus. Nucleus, PML body. Chromosome. Note=Depending on the cell type, it can also be found in PML nuclear bodies. Recruited to chromatin during S-phase. Redistributes to discrete nuclear foci upon DNA damage, hypoxia or replication fork stalling. [UniProt] |
| Calculated MW | 301 kDa |
| PTM | Phosphorylated; autophosphorylates in vitro. [UniProt] |
Images (2) Click the Picture to Zoom In
-
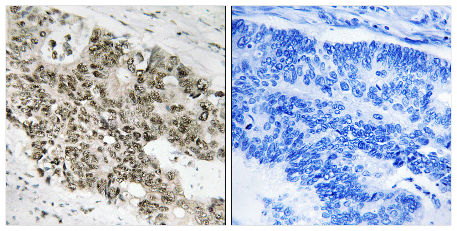
ARG66863 anti-ATR antibody IHC-P image
Immunohistochemistry: Paraffin-embedded Human colon carcinoma tissue stained with ARG66863 anti-ATR antibody. The picture on the right is blocked with the synthetic peptide.
-
ARG66863 anti-ATR antibody WB image
Western blot: COLO cell nucleus lysate stained with ARG66863 anti-ATR antibody.
