ARG43623
anti-ATRX antibody
anti-ATRX antibody for Flow cytometry,IHC-Formalin-fixed paraffin-embedded sections,Western blot and Human,Mouse,Rat
Overview
| Product Description | Recombinant Rabbit Polyclonal antibody recognizes ATRX |
|---|---|
| Tested Reactivity | Hu, Ms, Rat |
| Tested Application | FACS, IHC-P, WB |
| Host | Rabbit |
| Clonality | Polyclonal |
| Isotype | IgG |
| Target Name | ATRX |
| Antigen Species | Human |
| Immunogen | Recombinant protein fragment within a.a. 1-300 of Human ATRX. |
| Conjugation | Un-conjugated |
| Protein Full Name | Transcriptional regulator ATRX |
| Alternate Names | XNP; SHS; MRXHF1; SFM1; ZNF-HX; RAD54L; JMS; EC 3.6.4.12; X-linked helicase II; XH2; ATR2; ATP-dependent helicase ATRX; Transcriptional regulator ATRX; MRX52; RAD54; X-linked nuclear protein; Znf-HX |
Application Instructions
| Application Suggestion |
|
||||||||
|---|---|---|---|---|---|---|---|---|---|
| Application Note | IHC-P: Antigen Retrieval: Heat mediated was performed using Citrate buffer (pH 6.0) for 20 min. Incubate the samples at 4°C for overnight. * The dilutions indicate recommended starting dilutions and the optimal dilutions or concentrations should be determined by the scientist. |
||||||||
| Positive Control | Human breast carcinoma tissue | ||||||||
| Observed Size | 280-300 kDa |
Properties
| Form | Liquid |
|---|---|
| Purification | Affinity purification with immunogen. |
| Buffer | 0.9% NaCl, 0.2% Na2HPO4 and 4% Trehalose. |
| Stabilizer | 4% Trehalose |
| Concentration | 0.5 mg/ml |
| Storage Instruction | For continuous use, store undiluted antibody at 2-8°C for up to a week. For long-term storage, aliquot and store at -20°C or below. Storage in frost free freezers is not recommended. Avoid repeated freeze/thaw cycles. Suggest spin the vial prior to opening. The antibody solution should be gently mixed before use. |
| Note | For laboratory research only, not for drug, diagnostic or other use. |
Bioinformation
| Database Links | |
|---|---|
| Gene Symbol | ATRX |
| Gene Full Name | alpha thalassemia/mental retardation syndrome X-linked |
| Background | The protein encoded by this gene contains an ATPase/helicase domain, and thus it belongs to the SWI/SNF family of chromatin remodeling proteins. This protein is found to undergo cell cycle-dependent phosphorylation, which regulates its nuclear matrix and chromatin association, and suggests its involvement in the gene regulation at interphase and chromosomal segregation in mitosis. Mutations in this gene are associated with an X-linked mental retardation (XLMR) syndrome most often accompanied by alpha-thalassemia (ATRX) syndrome. These mutations have been shown to cause diverse changes in the pattern of DNA methylation, which may provide a link between chromatin remodeling, DNA methylation, and gene expression in developmental processes. Multiple alternatively spliced transcript variants encoding distinct isoforms have been reported. [provided by RefSeq, Aug 2013] |
| Function | Involved in transcriptional regulation and chromatin remodeling. Facilitates DNA replication in multiple cellular environments and is required for efficient replication of a subset of genomic loci. Binds to DNA tandem repeat sequences in both telomeres and euchromatin and in vitro binds DNA quadruplex structures. May help stabilizing G-rich regions into regular chromatin structures by remodeling G4 DNA and incorporating H3.3-containing nucleosomes. Catalytic component of the chromatin remodeling complex ATRX:DAXX which has ATP-dependent DNA translocase activity and catalyzes the replication-independent deposition of histone H3.3 in pericentric DNA repeats outside S-phase and telomeres, and the in vitro remodeling of H3.3-containing nucleosomes. Its heterochromatin targeting is proposed to involve a combinatorial readout of histone H3 modifications (specifically methylation states of H3K9 and H3K4) and association with CBX5. Involved in maintaining telomere structural integrity in embryonic stem cells which probably implies recruitment of CBX5 to telomers. Reports on the involvement in transcriptional regulation of telomeric repeat-containing RNA (TERRA) are conflicting; according (PubMed:24500201) is not sufficient to decrease chromatin condensation at telomers nor to increase expression of telomeric RNA in fibroblasts. May be involved in telomere maintenance via recombination in ALT (alternative lengthening of telomeres) cell lines. Acts as negative regulator of chromatin incorporation of transcriptionally repressive histone H2AFY, particularily at telomeres and the alpha-globin cluster in erythroleukemic cells. Participates in the allele-specific gene expression at the imprinted IGF2/H19 gene locus. On the maternal allele, required for the chromatin occupancy of SMC1 and CTCTF within the H19 imprinting control region (ICR) and involved in esatblishment of histone tails modifications in the ICR. May be involved in brain development and facial morphogenesis. [UniProt] |
| Cellular Localization | Nucleus; Chromosome; telomere; PML body |
| Calculated MW | 283 kDa |
| PTM | Acetylation; Isopeptide bond; Methylation; Phosphoprotein; Ubl conjugation |
Images (7) Click the Picture to Zoom In
-
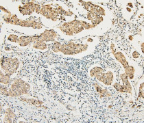
ARG43623 anti-ATRX antibody IHC-P image
Immunohistochemistry: Human mammary cancer stained with ARG43623 anti-ATRX antibody at 1 μg/ml dilution.
-
ARG43623 anti-ATRX antibody WB image
Western blot: A549 and HeLa stained with ARG43623 anti-ATRX antibody at 0.5 μg/mL dilution.
-
ARG43623 anti-ATRX antibody FACS image
Flow Cytometry: A549 stained with ARG43623 anti-ATRX antibody at 1 μg / 10^6 cells dilution.
-
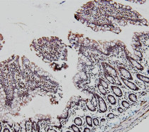
ARG43623 anti-ATRX antibody IHC-P image
Immunohistochemistry: Rat small intestine stained with ARG43623 anti-ATRX antibody at 1 μg/ml dilution.
-
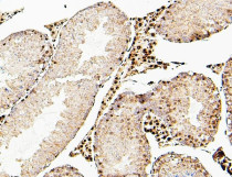
ARG43623 anti-ATRX antibody IHC-P image
Immunohistochemistry: Mouse testis stained with ARG43623 anti-ATRX antibody at 1 μg/ml dilution.
-
ARG43623 anti-ATRX antibody IHC-P image
Immunohistochemistry: Human mammary cancer stained with ARG43623 anti-ATRX antibody at 1 μg/ml dilution.
-
ARG43623 anti-ATRX antibody IHC-P image
Immunohistochemistry: Rat small intestine stained with ARG43623 anti-ATRX antibody at 1 μg/ml dilution.
