ARG10276
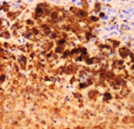
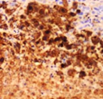
anti-Adenovirus hexon protein antibody [8C4]
anti-Adenovirus hexon protein antibody [8C4] for ELISA,Immunodiffusion,IHC-Formalin-fixed paraffin-embedded sections and Virus
Microbiology and Infectious Disease antibody
Overview
| Product Description | Mouse Monoclonal antibody [8C4] recognizes Adenovirus hexon protein |
|---|---|
| Tested Reactivity | Virus |
| Tested Application | ELISA, ID, IHC-P |
| Specificity | Hexon antigen of human adenovirus. |
| Host | Mouse |
| Clonality | Monoclonal |
| Clone | 8C4 |
| Isotype | IgG2a |
| Target Name | Adenovirus hexon protein |
| Antigen Species | Virus |
| Immunogen | Hexon antigen of human adenovirus |
| Conjugation | Un-conjugated |
Application Instructions
| Application Suggestion |
|
||||||||
|---|---|---|---|---|---|---|---|---|---|
| Application Note | IHC-P: Antigen Retrieval: Tris/EDTA buffer. * The dilutions indicate recommended starting dilutions and the optimal dilutions or concentrations should be determined by the scientist. |
Properties
| Form | Liquid |
|---|---|
| Purification | Protein A affinity purified. |
| Buffer | PBS (pH 7.4) and 0.1% Sodium azide |
| Preservative | 0.1% Sodium azide |
| Concentration | 1.0-2.0 mg/ml |
| Storage Instruction | For continuous use, store undiluted antibody at 2-8°C for up to a week. For long-term storage, aliquot and store at -20°C or below. Storage in frost free freezers is not recommended. Avoid repeated freeze/thaw cycles. Suggest spin the vial prior to opening. The antibody solution should be gently mixed before use. |
| Note | For laboratory research only, not for drug, diagnostic or other use. |
Bioinformation
| Database Links | |
|---|---|
| Gene Symbol | hexon |
| Gene Full Name | hexon |
| Research Area | Microbiology and Infectious Disease antibody |
Images (1) Click the Picture to Zoom In

