ARG45977
anti-Adiponectin antibody
anti-Adiponectin antibody for Western blot,IHC-Formalin-fixed paraffin-embedded sections and Human,Mouse,Rat
Overview
| Product Description | Rabbit Polyclonal antibody recognizes Adiponectin |
|---|---|
| Tested Reactivity | Hu, Ms, Rat |
| Tested Application | IHC-P, WB |
| Host | Rabbit |
| Clonality | Polyclonal |
| Isotype | IgG |
| Target Name | Adiponectin |
| Antigen Species | Human |
| Immunogen | A 15 amino acid synthetic peptide within the last 50 amino acids of human Adiponectin. |
| Conjugation | Un-conjugated |
| Alternate Names | ADIPOQ; Adipose most abundant gene transcript 1 protein; ADPN; APM-1; Gelatin-binding protein; APM1; ACDC; Adiponectin; apM-1; ACRP30; ADIPQTL1; GBP28; 30 kDa adipocyte complement-related protein; Adipocyte, C1q and collagen domain-containing protein; Adipocyte complement-related 30 kDa protein |
Application Instructions
| Application Suggestion |
|
||||||
|---|---|---|---|---|---|---|---|
| Application Note | * The dilutions indicate recommended starting dilutions and the optimal dilutions or concentrations should be determined by the scientist. | ||||||
| Observed Size | 26 kDa |
Properties
| Purification | Affinity chromatography purified |
|---|---|
| Buffer | PBS and 0.02% Sodium azide. |
| Preservative | 0.02% Sodium azide |
| Concentration | 1 mg/ml |
| Storage Instruction | For continuous use, store undiluted antibody at 2-8°C for up to a week. For long-term storage, aliquot and store at -20°C. Storage in frost free freezers is not recommended. Avoid repeated freeze/thaw cycles. Suggest spin the vial prior to opening. The antibody solution should be gently mixed before use. |
| Note | For laboratory research only, not for drug, diagnostic or other use. |
Bioinformation
| Database Links | |
|---|---|
| Gene Symbol | ADIPOQ |
| Gene Full Name | adiponectin, C1Q and collagen domain containing |
| Background | This gene is expressed in adipose tissue exclusively. It encodes a protein with similarity to collagens X and VIII and complement factor C1q. The encoded protein circulates in the plasma and is involved with metabolic and hormonal processes. Mutations in this gene are associated with adiponectin deficiency. Multiple alternatively spliced variants, encoding the same protein, have been identified. [provided by RefSeq, Apr 2010] |
| Function | Important adipokine involved in the control of fat metabolism and insulin sensitivity, with direct anti-diabetic, anti-atherogenic and anti-inflammatory activities. Stimulates AMPK phosphorylation and activation in the liver and the skeletal muscle, enhancing glucose utilization and fatty-acid combustion. Antagonizes TNF-alpha by negatively regulating its expression in various tissues such as liver and macrophages, and also by counteracting its effects. Inhibits endothelial NF-kappa-B signaling through a cAMP-dependent pathway. May play a role in cell growth, angiogenesis and tissue remodeling by binding and sequestering various growth factors with distinct binding affinities, depending on the type of complex, LMW, MMW or HMW. [UniProt] |
| Calculated MW | 27 kDa |
| PTM | Hydroxylated Lys-33 was not identified in PubMed:16497731, probably due to poor representation of the N-terminal peptide in mass fingerprinting. HMW complexes are more extensively glycosylated than smaller oligomers. Hydroxylation and glycosylation of the lysine residues within the collagene-like domain of adiponectin seem to be critically involved in regulating the formation and/or secretion of HMW complexes and consequently contribute to the insulin-sensitizing activity of adiponectin in hepatocytes (By similarity). O-glycosylated. Not N-glycosylated. O-linked glycans on hydroxylysines consist of Glc-Gal disaccharides bound to the oxygen atom of post-translationally added hydroxyl groups. Sialylated to varying degrees depending on tissue. Thr-22 appears to be the major site of sialylation. Higher sialylation found in SGBS adipocytes than in HEK fibroblasts. Sialylation is not required neither for heterodimerization nor for secretion. Not sialylated on the glycosylated hydroxylysines. Desialylated forms are rapidly cleared from the circulation. |
Images (3) Click the Picture to Zoom In
-
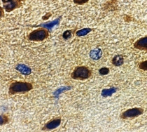
ARG45977 anti-Adiponectin antibody IHC-P image
Immunohistochemistry: Rat brain stained with ARG45977 anti-Adiponectin antibody.
-
ARG45977 anti-Adiponectin antibody ICC/IF image
Immunofluorescence: Rat Brain stained with ARG45977 anti-Adiponectin antibody.
-
ARG45977 anti-Adiponectin antibody WB image
Western blot: HL60 stained with ARG45977 anti-Adiponectin antibody.
