ARG43265
anti-Angiopoietin 4 antibody
anti-Angiopoietin 4 antibody for IHC-Formalin-fixed paraffin-embedded sections,Western blot and Human
Overview
| Product Description | Rabbit Polyclonal antibody recognizes Angiopoietin 4 |
|---|---|
| Tested Reactivity | Hu |
| Tested Application | IHC-P, WB |
| Host | Rabbit |
| Clonality | Polyclonal |
| Isotype | IgG |
| Target Name | Angiopoietin 4 |
| Antigen Species | Human |
| Immunogen | Synthetic peptide derived from Human Angiopoietin 4. |
| Conjugation | Un-conjugated |
| Alternate Names | AGP4; Angiopoietin-3; Angiopoietin-4; ANG4; ANG-3; ANG-4 |
Application Instructions
| Application Suggestion |
|
||||||
|---|---|---|---|---|---|---|---|
| Application Note | * The dilutions indicate recommended starting dilutions and the optimal dilutions or concentrations should be determined by the scientist. | ||||||
| Observed Size | ~ 55 kDa |
Properties
| Form | Liquid |
|---|---|
| Purification | Affinity purification with immunogen. |
| Purity | > 95% (by SDS-PAGE). |
| Buffer | PBS (pH 7.2), 0.02% Sodium azide and 50% Glycerol. |
| Preservative | 0.02% Sodium azide |
| Stabilizer | 50% Glycerol |
| Concentration | 1 mg/ml |
| Storage Instruction | For continuous use, store undiluted antibody at 2-8°C for up to a week. For long-term storage, aliquot and store at -20°C. Storage in frost free freezers is not recommended. Avoid repeated freeze/thaw cycles. Suggest spin the vial prior to opening. The antibody solution should be gently mixed before use. |
| Note | For laboratory research only, not for drug, diagnostic or other use. |
Bioinformation
| Database Links | |
|---|---|
| Gene Symbol | ANGPT4 |
| Gene Full Name | angiopoietin 4 |
| Background | Angiopoietins are proteins with important roles in vascular development and angiogenesis. All angiopoietins bind with similar affinity to an endothelial cell-specific tyrosine-protein kinase receptor. The mechanism by which they contribute to angiogenesis is thought to involve regulation of endothelial cell interactions with supporting perivascular cells. The protein encoded by this gene functions as an agonist and is an angiopoietin. [provided by RefSeq, Jul 2008] |
| Function | Binds to TEK/TIE2, modulating ANGPT1 signaling. Can induce tyrosine phosphorylation of TEK/TIE2. Promotes endothelial cell survival, migration and angiogenesis. [UniProt] |
| Cellular Localization | Secreted. [UniProt] |
| Calculated MW | 57 kDa |
Images (2) Click the Picture to Zoom In
-
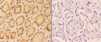
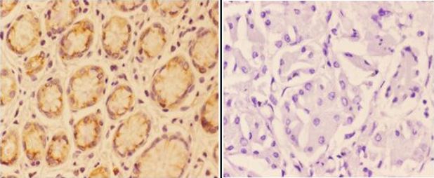
ARG43265 anti-Angiopoietin 4 antibody IHC-P image
Immunohistochemistry: Paraffin-embedded Human stomach carcinoma tissue stained with ARG43265 anti-Angiopoietin 4 antibody at 1:50 dilution (left). Negative control: Using PBS instead of primary antibody (right).
-
ARG43265 anti-Angiopoietin 4 antibody WB image
Western blot: 40 µg of HCC827, H460 and H1792 whole cell lysates stained with ARG43265 anti-Angiopoietin 4 antibody at 1:500 dilution.
