ARG43616
anti-Annexin A1 antibody
anti-Annexin A1 antibody for Flow cytometry,ICC/IF,IHC-Formalin-fixed paraffin-embedded sections,Western blot and Human,Monkey
Overview
| Product Description | Rabbit Polyclonal antibody recognizes Annexin A1 |
|---|---|
| Tested Reactivity | Hu, Mk |
| Tested Application | FACS, ICC/IF, IHC-P, WB |
| Host | Rabbit |
| Clonality | Polyclonal |
| Isotype | IgG |
| Target Name | Annexin A1 |
| Antigen Species | Human |
| Immunogen | Synthetic peptide corresponding to a.a. 3-24 of Human Annexin A1. |
| Conjugation | Un-conjugated |
| Protein Full Name | Annexin A1 |
| Alternate Names | ANX1; Calpactin II; Phospholipase A2 inhibitory protein; Chromobindin-9; LPC1; Annexin-1; Annexin A1; Lipocortin I; Annexin I; p35; Calpactin-2 |
Application Instructions
| Application Suggestion |
|
||||||||||
|---|---|---|---|---|---|---|---|---|---|---|---|
| Application Note | IHC-P: Antigen Retrieval: By heat mediation. * The dilutions indicate recommended starting dilutions and the optimal dilutions or concentrations should be determined by the scientist. |
||||||||||
| Observed Size | 37-39 kDa |
Properties
| Form | Liquid |
|---|---|
| Purification | Affinity purification with immunogen. |
| Buffer | 0.9% NaCl, 0.2% Na2HPO4, 0.05% Thimerosal, 0.05% Sodium azide and 5% BSA. |
| Preservative | 0.05% Thimerosal and 0.05% Sodium azide |
| Stabilizer | 5% BSA |
| Concentration | 0.5 mg/ml |
| Storage Instruction | For continuous use, store undiluted antibody at 2-8°C for up to a week. For long-term storage, aliquot and store at -20°C or below. Storage in frost free freezers is not recommended. Avoid repeated freeze/thaw cycles. Suggest spin the vial prior to opening. The antibody solution should be gently mixed before use. |
| Note | For laboratory research only, not for drug, diagnostic or other use. |
Bioinformation
| Database Links | |
|---|---|
| Gene Symbol | ANXA1 |
| Gene Full Name | annexin A1 |
| Background | This gene encodes a membrane-localized protein that binds phospholipids. This protein inhibits phospholipase A2 and has anti-inflammatory activity. Loss of function or expression of this gene has been detected in multiple tumors. [provided by RefSeq, Dec 2014] |
| Function | Calcium/phospholipid-binding protein which promotes membrane fusion and is involved in exocytosis. This protein regulates phospholipase A2 activity. It seems to bind from two to four calcium ions with high affinity. [UniProt] |
| Cellular Localization | Endosome; Nucleus; Plasma membrane; Secreted. [UniProt] |
| Calculated MW | 39 kDa |
| PTM | Phosphorylated by protein kinase C, EGFR and TRPM7 (PubMed:2457390, PubMed:15485879). Phosphorylated in response to EGF treatment (PubMed:2532504). Sumoylated. [UniProt] |
Images (5) Click the Picture to Zoom In
-
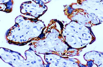
ARG43616 anti-Annexin A1 antibody IHC-P image
Immunohistochemistry: Formalin-fixed and paraffin-embedded Human placenta tissuer tissue stained withARG43616 anti-Annexin A1 antibody st 1:500 dulution.
-
ARG43616 anti-Annexin A1 antibody WB image
Western blot: HeLa cell lysates stained withARG43616 anti-Annexin A1 antibody at 1:1000 dilution.
-
ARG43616 anti-Annexin A1 antibody ICC/IF image
Immunofluorescence: A431 cells were stained with ARG43616 anti-Annexin A1 antibody at 1:100 dilution 30 minutes at 37°C.
-
ARG43616 anti-Annexin A1 antibody FACS image
Flow Cytometry: A431 cells stained withARG43616 anti-Annexin A1 antibody at 1:100 dilution, 1 μg / 10^6 .
-
ARG43616 anti-Annexin A1 antibody IHC-P image
Immunohistochemistry: Formalin-fixed and paraffin-embedded Human tonsil tissue stained withARG43616 anti-Annexin A1 antibody st 1:500 dulution.
