ARG46005
anti-Apc 10 antibody
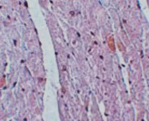
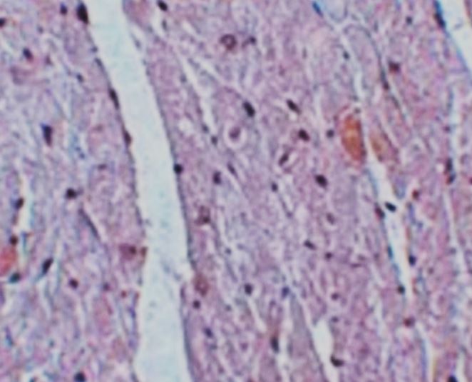
anti-Apc 10 antibody for Western blot,IHC-Formalin-fixed paraffin-embedded sections and Human,Mouse,Rat
Overview
| Product Description | Rabbit Polyclonal antibody recognizes Apc 10 |
|---|---|
| Tested Reactivity | Hu, Ms, Rat |
| Tested Application | IHC-P, WB |
| Host | Rabbit |
| Clonality | Polyclonal |
| Isotype | IgG |
| Target Name | Apc 10 |
| Antigen Species | Human |
| Immunogen | A 16 amino acid synthetic peptide within aa. 60 - 110 of human Apc 10. |
| Conjugation | Un-conjugated |
| Alternate Names | ANAPC10; APC10; DOC1; Anaphase-promoting complex subunit 10; Cyclosome subunit 10 |
Application Instructions
| Application Suggestion |
|
||||||
|---|---|---|---|---|---|---|---|
| Application Note | * The dilutions indicate recommended starting dilutions and the optimal dilutions or concentrations should be determined by the scientist. |
Properties
| Purification | Affinity chromatography purified |
|---|---|
| Buffer | PBS and 0.02% Sodium azide. |
| Preservative | 0.02% Sodium azide |
| Concentration | 1 mg/ml |
| Storage Instruction | For continuous use, store undiluted antibody at 2-8°C for up to a week. For long-term storage, aliquot and store at -20°C. Storage in frost free freezers is not recommended. Avoid repeated freeze/thaw cycles. Suggest spin the vial prior to opening. The antibody solution should be gently mixed before use. |
| Note | For laboratory research only, not for drug, diagnostic or other use. |
Bioinformation
| Database Links |
Swiss-port # Q8K2H6 Mouse Anaphase-promoting complex subunit 10 Swiss-port # Q9UM13 Human Anaphase-promoting complex subunit 10 |
|---|---|
| Gene Symbol | ANAPC10 |
| Gene Full Name | anaphase promoting complex subunit 10 |
| Background | ANAPC10 is a core subunit of the anaphase-promoting complex (APC), or cyclosome, a ubiquitin protein ligase that is essential for progression through the cell cycle. APC initiates sister chromatid separation by ubiquitinating the anaphase inhibitor securin (PTTG1; MIM 604147) and triggers exit from mitosis by ubiquitinating cyclin B (CCNB1; MIM 123836), the activating subunit of cyclin-dependent kinase-1 (CDK1; MIM 116940) (summary by Wendt et al., 2001 [PubMed 11524682]).[supplied by OMIM, Feb 2011] |
| Function | Component of the anaphase promoting complex/cyclosome (APC/C), a cell cycle-regulated E3 ubiquitin ligase that controls progression through mitosis and the G1 phase of the cell cycle. The APC/C complex acts by mediating ubiquitination and subsequent degradation of target proteins: it mainly mediates the formation of 'Lys-11'-linked polyubiquitin chains and, to a lower extent, the formation of 'Lys-48'- and 'Lys-63'-linked polyubiquitin chains. [UniProt] |
| Calculated MW | 21 kDa |
Images (2) Click the Picture to Zoom In
