ARG22362
anti-Aquaporin 3 antibody
anti-Aquaporin 3 antibody for ICC/IF,IHC-Formalin-fixed paraffin-embedded sections,Western blot and Human,Mouse,Rat
Overview
| Product Description | Rabbit Polyclonal antibody recognizes Aquaporin 3 |
|---|---|
| Tested Reactivity | Hu, Ms, Rat |
| Tested Application | ICC/IF, IHC-P, WB |
| Host | Rabbit |
| Clonality | Polyclonal |
| Isotype | IgG |
| Target Name | Aquaporin 3 |
| Antigen Species | Rat |
| Immunogen | Synthetic peptide around the C-terminus of Rat Aquaporin 3. (N-CHLEQPPPSTEAENVKLAHMKHKEQI) |
| Conjugation | Un-conjugated |
| Alternate Names | Aquaporin-3; GIL; Aquaglyceroporin-3; AQP-3 |
Application Instructions
| Application Suggestion |
|
||||||||
|---|---|---|---|---|---|---|---|---|---|
| Application Note | * The dilutions indicate recommended starting dilutions and the optimal dilutions or concentrations should be determined by the scientist. |
Properties
| Form | Liquid |
|---|---|
| Purification | Purification with Protein A. |
| Buffer | PBS, 0.09% Sodium azide and 50% Glycerol |
| Preservative | 0.09% Sodium azide |
| Stabilizer | 50% Glycerol |
| Concentration | 1 mg/ml |
| Storage Instruction | For continuous use, store undiluted antibody at 2-8°C for up to a week. For long-term storage, aliquot and store at -20°C. Storage in frost free freezers is not recommended. Avoid repeated freeze/thaw cycles. Suggest spin the vial prior to opening. The antibody solution should be gently mixed before use. |
| Note | For laboratory research only, not for drug, diagnostic or other use. |
Bioinformation
| Database Links | |
|---|---|
| Gene Symbol | Aqp3 |
| Gene Full Name | aquaporin 3 |
| Background | This gene encodes the water channel protein aquaporin 3. Aquaporins are a family of small integral membrane proteins related to the major intrinsic protein, also known as aquaporin 0. Aquaporin 3 is localized at the basal lateral membranes of collecting duct cells in the kidney. In addition to its water channel function, aquaporin 3 has been found to facilitate the transport of nonionic small solutes such as urea and glycerol, but to a smaller degree. It has been suggested that water channels can be functionally heterogeneous and possess water and solute permeation mechanisms. [provided by RefSeq, Aug 2011] |
| Function | Water channel required to promote glycerol permeability and water transport across cell membranes. Acts as a glycerol transporter in skin and plays an important role in regulating SC (stratum corneum) and epidermal glycerol content. Involved in skin hydration, wound healing, and tumorigenesis. Provides kidney medullary collecting duct with high permeability to water, thereby permitting water to move in the direction of an osmotic gradient. Slightly permeable to urea and may function as a water and urea exit mechanism in antidiuresis in collecting duct cells. It may play an important role in gastrointestinal tract water transport and in glycerol metabolism (By similarity). [UniProt] |
| Cellular Localization | Membrane |
| Calculated MW | 31.5 kDa (unmodified); 35 - 50 kDa (glycosylated) |
Images (2) Click the Picture to Zoom In
-
ARG22362 anti-Aquaporin 3 antibody IHC image
Immunohistochemistry: Rat kidney tissue stained with ARG22362 anti-Aquaporin 3 antibody (green) at 1:200 dilution. DAPI merge.
-
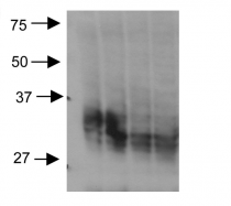
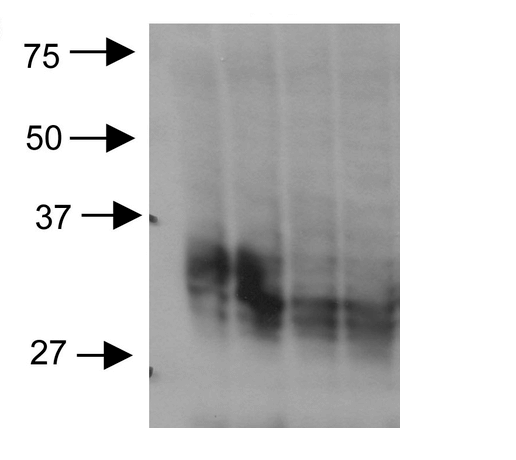
ARG22362 anti-Aquaporin 3 antibody WB image
Western blot: Rat kidney inner medullary homogenates stained with ARG22362 anti-Aquaporin 3 antibody at 1:2000 dilution.
