ARG58217
anti-Aquaporin 6 antibody
anti-Aquaporin 6 antibody for IHC-Formalin-fixed paraffin-embedded sections,Western blot and Human
Overview
| Product Description | Rabbit Polyclonal antibody recognizes Aquaporin 6 |
|---|---|
| Tested Reactivity | Hu |
| Tested Application | IHC-P, WB |
| Host | Rabbit |
| Clonality | Polyclonal |
| Isotype | IgG |
| Target Name | Aquaporin 6 |
| Antigen Species | Human |
| Immunogen | Synthetic peptide corresponding to a sequence at the C-terminus of Human Aquaporin 6(264-282aa EPLKKESQPGSGAVEMESV). |
| Conjugation | Un-conjugated |
| Alternate Names | Aquaporin-6; AQP2L; AQP-6; hKID; Kidney-specific aquaporin; Aquaporin-2-like; KID |
Application Instructions
| Application Suggestion |
|
||||||
|---|---|---|---|---|---|---|---|
| Application Note | IHC-P: Antigen Retrieval: By heat mediation. * The dilutions indicate recommended starting dilutions and the optimal dilutions or concentrations should be determined by the scientist. |
Properties
| Form | Liquid |
|---|---|
| Purification | Affinity purification with immunogen. |
| Buffer | 0.9% NaCl, 0.2% Na2HPO4, 0.05% Thimerosal, 0.05% Sodium azide and 5% BSA. |
| Preservative | 0.05% Thimerosal and 0.05% Sodium azide |
| Stabilizer | 5% BSA |
| Concentration | 0.5 mg/ml |
| Storage Instruction | For continuous use, store undiluted antibody at 2-8°C for up to a week. For long-term storage, aliquot and store at -20°C or below. Storage in frost free freezers is not recommended. Avoid repeated freeze/thaw cycles. Suggest spin the vial prior to opening. The antibody solution should be gently mixed before use. |
| Note | For laboratory research only, not for drug, diagnostic or other use. |
Bioinformation
| Database Links | |
|---|---|
| Gene Symbol | AQP6 |
| Gene Full Name | aquaporin 6, kidney specific |
| Background | The protein encoded by this gene is an aquaporin protein, which functions as a water channel in cells. Aquaporins are a family of small integral membrane proteins related to the major intrinsic protein (MIP or AQP0). This protein is specific for the kidney. This gene and related family members AQP0, AQP2, and AQP5 reside in a cluster on chromosome 12q13. [provided by RefSeq, Jul 2008] |
| Function | Forms a water-specific channel that participates in distinct physiological functions such as glomerular filtration, tubular endocytosis and acid-base metabolism. [UniProt] |
| Cellular Localization | Cytoplasmic vesicle membrane; Multi-pass membrane protein. [UniProt] |
| Calculated MW | 29 kDa |
Images (3) Click the Picture to Zoom In
-
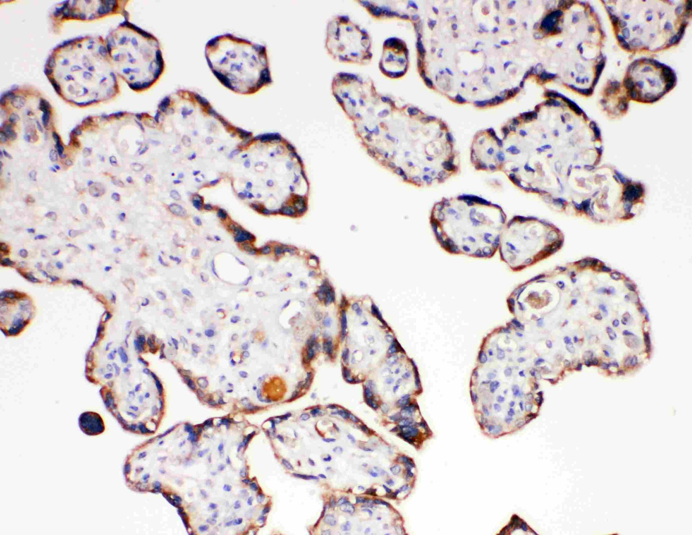
ARG58217 anti-Aquaporin 6 antibody IHC-P image
Immunohistochemistry: Paraffin-embedded Human placenta stained with ARG58217 anti-Aquaporin 6 antibody.
-
ARG58217 anti-Aquaporin 6 antibody WB image
Western blot: U87, COLO320 and MCF-7 cell lysates stained with ARG58217 anti-Aquaporin 6 antibody.
-
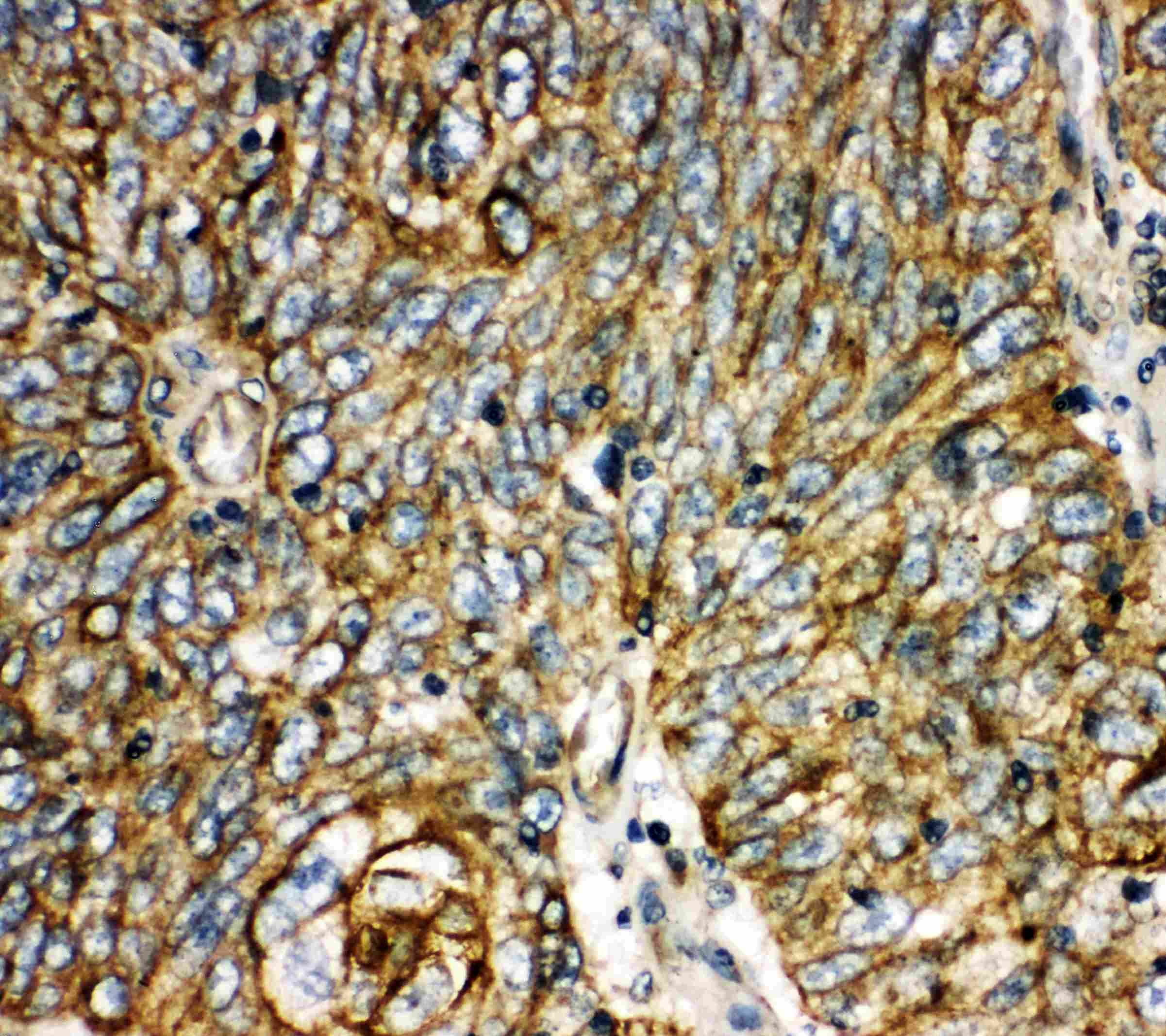
ARG58217 anti-Aquaporin 6 antibody IHC-P image
Immunohistochemistry: Paraffin-embedded Human lung cancer stained with ARG58217 anti-Aquaporin 6 antibody.
