ARG43209
anti-Aquaporin 9 antibody
anti-Aquaporin 9 antibody for IHC-Formalin-fixed paraffin-embedded sections,Western blot and Rat
Overview
| Product Description | Rabbit Polyclonal antibody recognizes Aquaporin 9 |
|---|---|
| Tested Reactivity | Rat |
| Tested Application | IHC-P, WB |
| Host | Rabbit |
| Clonality | Polyclonal |
| Isotype | IgG |
| Target Name | Aquaporin 9 |
| Antigen Species | Rat |
| Immunogen | Synthetic peptide within aa. 250-294 of Rat Aquaporin 9 (NP_075249). |
| Conjugation | Un-conjugated |
| Alternate Names | AQP-9; SSC1; Aquaporin-9; Aquaglyceroporin-9; HsT17287; Small solute channel 1 |
Application Instructions
| Application Suggestion |
|
||||||
|---|---|---|---|---|---|---|---|
| Application Note | * The dilutions indicate recommended starting dilutions and the optimal dilutions or concentrations should be determined by the scientist. | ||||||
| Observed Size | ~ 32 kDa |
Properties
| Form | Liquid |
|---|---|
| Purification | Affinity purified. |
| Buffer | Tris, HCl/glycine buffer (pH 7.4 - 7.8), cryo-protective agents, Hepes, 0.02% Sodium azide, 30% Glycerol and 0.5% BSA. |
| Preservative | 0.02% Sodium azide |
| Stabilizer | 30% Glycerol and 0.5% BSA |
| Concentration | 0.8 mg/ml |
| Storage Instruction | For continuous use, store undiluted antibody at 2-8°C for up to a week. For long-term storage, aliquot and store at -20°C. Storage in frost free freezers is not recommended. Avoid repeated freeze/thaw cycles. Suggest spin the vial prior to opening. The antibody solution should be gently mixed before use. |
| Note | For laboratory research only, not for drug, diagnostic or other use. |
Bioinformation
| Database Links | |
|---|---|
| Gene Symbol | AQP9 |
| Gene Full Name | aquaporin 9 |
| Background | The aquaporins are a family of water-selective membrane channels. This gene encodes a member of a subset of aquaporins called the aquaglyceroporins. This protein allows passage of a broad range of noncharged solutes and also stimulates urea transport and osmotic water permeability. This protein may also facilitate the uptake of glycerol in hepatic tissue . The encoded protein may also play a role in specialized leukocyte functions such as immunological response and bactericidal activity. Alternate splicing results in multiple transcript variants. [provided by RefSeq, Mar 2016] |
| Function | Forms a water channel with a broad specificity. Also permeable glycerol and urea. Mediates passage of a wide variety of small, non-charged solutes including carbamides, polyols, purines, and pyrimidines. [UniProt] |
| Cellular Localization | Membrane; Multi-pass membrane protein. [UniProt] |
| Calculated MW | 32 kDa |
Images (3) Click the Picture to Zoom In
-
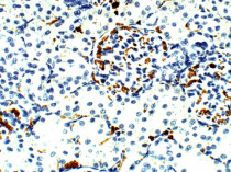
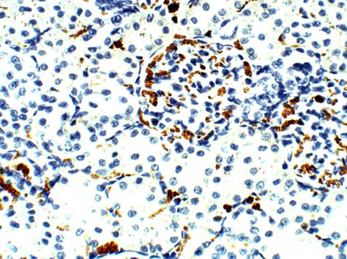
ARG43209 anti-Aquaporin 9 antibody IHC-P image
Immunohistochemistry: Formalin-fixed and paraffin-embedded Rat kidney tissue stained with ARG43209 anti-Aquaporin 9 antibody at 1:100 dilution. (40X magnification)
-
ARG43209 anti-Aquaporin 9 antibody WB image
Western blot: Rat Aquaporin 9 purified protein stained with ARG43209 anti-Aquaporin 9 antibody at 1:500 dilution.
-
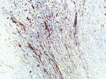
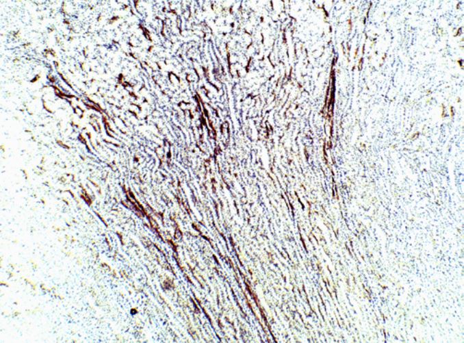
ARG43209 anti-Aquaporin 9 antibody IHC-P image
Immunohistochemistry: Formalin-fixed and paraffin-embedded Rat kidney tissue stained with ARG43209 anti-Aquaporin 9 antibody at 1:100 dilution. (5X magnification)
