ARG65608
anti-Aryl Hydrocarbon Receptor antibody
anti-Aryl Hydrocarbon Receptor antibody for Flow cytometry,ICC/IF,IHC-Formalin-fixed paraffin-embedded sections and Human
Gene Regulation antibody
Overview
| Product Description | Goat Polyclonal antibody recognizes Aryl Hydrocarbon Receptor |
|---|---|
| Tested Reactivity | Hu |
| Tested Application | FACS, ICC/IF, IHC-P |
| Host | Goat |
| Clonality | Polyclonal |
| Target Name | Aryl Hydrocarbon Receptor |
| Antigen Species | Human |
| Immunogen | Synthetic peptide around the center region of Human Aryl Hydrocarbon Receptor (C-PENQKHGLNPQSA) |
| Conjugation | Un-conjugated |
| Alternate Names | Aryl hydrocarbon receptor; AhR; Ah receptor; bHLHe76; Class E basic helix-loop-helix protein 76 |
Application Instructions
| Application Suggestion |
|
||||||||
|---|---|---|---|---|---|---|---|---|---|
| Application Note | IHC-P: Antigen Retrieval: Steam tissue section in Citrate buffer (pH 6.0). * The dilutions indicate recommended starting dilutions and the optimal dilutions or concentrations should be determined by the scientist. |
Properties
| Form | Liquid |
|---|---|
| Purification | Affinity purified |
| Buffer | Tris saline (pH 7.3), 0.02% Sodium azide and 0.5% BSA. |
| Preservative | 0.02% Sodium azide |
| Stabilizer | 0.5% BSA |
| Concentration | 0.5 mg/ml |
| Storage Instruction | For continuous use, store undiluted antibody at 2-8°C for up to a week. For long-term storage, aliquot and store at -20°C or below. Storage in frost free freezers is not recommended. Avoid repeated freeze/thaw cycles. Suggest spin the vial prior to opening. The antibody solution should be gently mixed before use. |
| Note | For laboratory research only, not for drug, diagnostic or other use. |
Bioinformation
| Database Links | |
|---|---|
| Gene Symbol | AHR |
| Gene Full Name | aryl hydrocarbon receptor |
| Background | This gene encodes a ligand-activated transcription factor involved in the regulation of biological responses to planar aromatic hydrocarbons. This receptor has been shown to regulate xenobiotic-metabolizing enzymes such as cytochrome P450. Its ligands included a variety of aromatic hydrocarbons. [provided by RefSeq, Jul 2008] |
| Function | Ligand-activated transcriptional activator. Binds to the XRE promoter region of genes it activates. Activates the expression of multiple phase I and II xenobiotic chemical metabolizing enzyme genes (such as the CYP1A1 gene). Mediates biochemical and toxic effects of halogenated aromatic hydrocarbons. Involved in cell-cycle regulation. Likely to play an important role in the development and maturation of many tissues. Regulates the circadian clock by inhibiting the basal and circadian expression of the core circadian component PER1. Inhibits PER1 by repressing the CLOCK-ARNTL/BMAL1 heterodimer mediated transcriptional activation of PER1. |
| Research Area | Gene Regulation antibody |
| Calculated MW | 96 kDa |
Images (3) Click the Picture to Zoom In
-
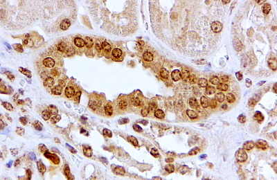
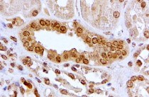
ARG65608 anti-Aryl Hydrocarbon Receptor antibody IHC image
Immunohistochemistry: paraffin embedded Human Kidney stained with ARG65608 anti-Aryl Hydrocarbon Receptor antibody at 2 μg/ml. Steamed antigen retrieval with citrate buffer pH 6, HRP-staining.
-
ARG65608 anti-Aryl Hydrocarbon Receptor antibody ICC/IF image
Immunofluorescence: U2OS stained with ARG65608 anti-Aryl Hydrocarbon Receptor antibody at 10ug/ml dilution.
-
ARG65608 anti-Aryl Hydrocarbon Receptor antibody FACS image
Flow Cytometry: HeLa stained with ARG65608 anti-Aryl Hydrocarbon Receptor antibody at 10ug/ml dilution.
