ARG41228
anti-BAG5 antibody
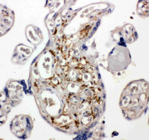
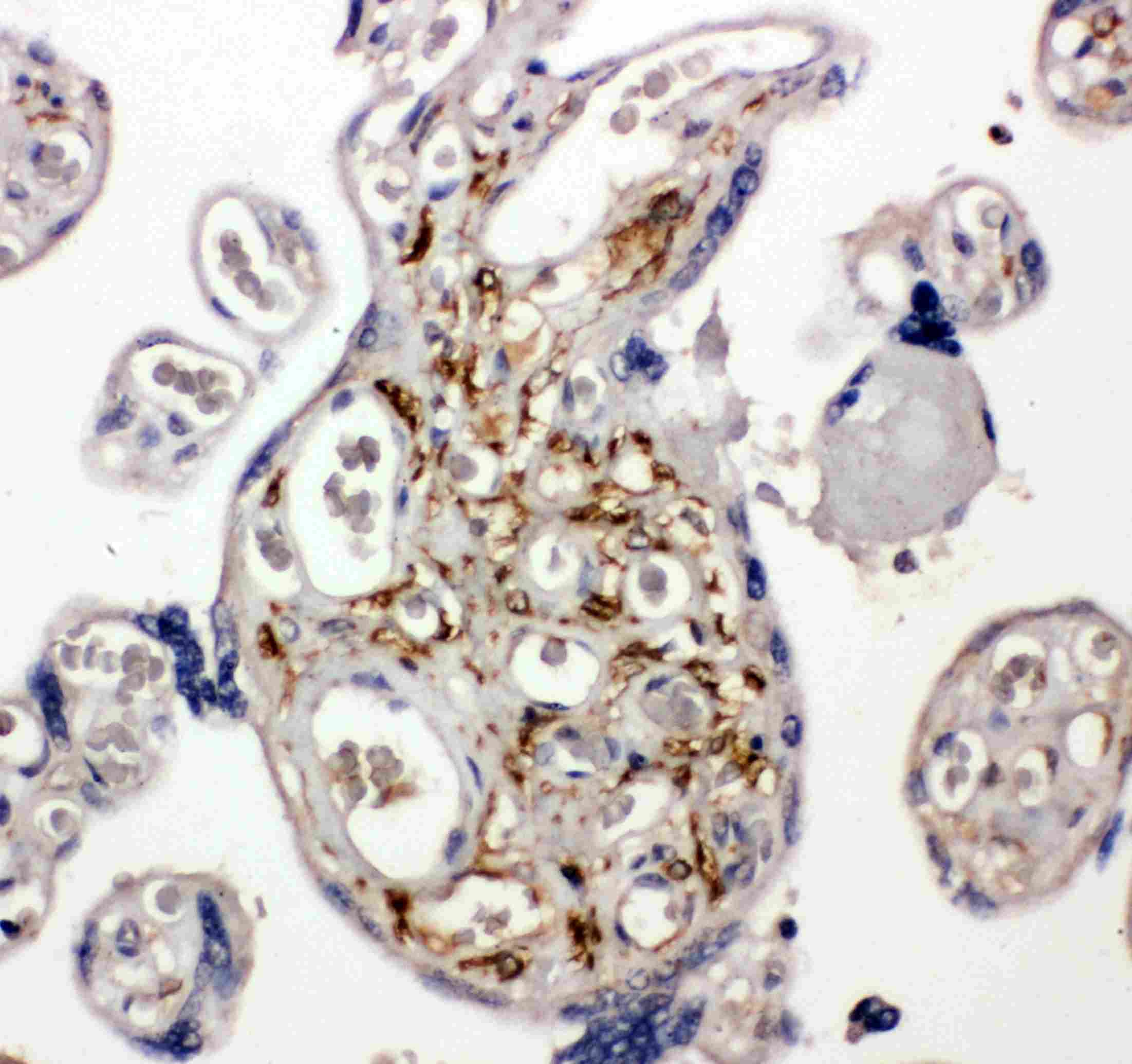
anti-BAG5 antibody for IHC-Formalin-fixed paraffin-embedded sections,Western blot and Human,Rat
Overview
| Product Description | Rabbit Polyclonal antibody recognizes BAG5 |
|---|---|
| Tested Reactivity | Hu, Rat |
| Predict Reactivity | Ms, Hm |
| Tested Application | IHC-P, WB |
| Host | Rabbit |
| Clonality | Polyclonal |
| Isotype | IgG |
| Target Name | BAG5 |
| Antigen Species | Human |
| Immunogen | Synthetic peptide corresponding to aa. 415-429 of Human BAG5. (QGEEKCKAARKQAVR) |
| Conjugation | Un-conjugated |
| Alternate Names | BAG-5; Bcl-2-associated athanogene 5; BAG family molecular chaperone regulator 5 |
Application Instructions
| Application Suggestion |
|
||||||
|---|---|---|---|---|---|---|---|
| Application Note | * The dilutions indicate recommended starting dilutions and the optimal dilutions or concentrations should be determined by the scientist. | ||||||
| Observed Size | ~ 53 kDa |
Properties
| Form | Liquid |
|---|---|
| Purification | Affinity purification with immunogen. |
| Buffer | 0.2% Na2HPO4, 0.9% NaCl, 0.05% Thimerosal, 0.05% Sodium azide and 5% BSA. |
| Preservative | 0.05% Thimerosal and 0.05% Sodium azide |
| Stabilizer | 5% BSA |
| Concentration | 0.5 mg/ml |
| Storage Instruction | For continuous use, store undiluted antibody at 2-8°C for up to a week. For long-term storage, aliquot and store at -20°C or below. Storage in frost free freezers is not recommended. Avoid repeated freeze/thaw cycles. Suggest spin the vial prior to opening. The antibody solution should be gently mixed before use. |
| Note | For laboratory research only, not for drug, diagnostic or other use. |
Bioinformation
| Database Links |
Swiss-port # Q5QJC9 Rat BAG family molecular chaperone regulator 5 Swiss-port # Q9UL15 Human BAG family molecular chaperone regulator 5 |
|---|---|
| Gene Symbol | BAG5 |
| Gene Full Name | BCL2-associated athanogene 5 |
| Background | The protein encoded by this gene is a member of the BAG1-related protein family. BAG1 is an anti-apoptotic protein that functions through interactions with a variety of cell apoptosis and growth related proteins including BCL-2, Raf-protein kinase, steroid hormone receptors, growth factor receptors and members of the heat shock protein 70 kDa family. This protein contains a BAG domain near the C-terminus, which could bind and inhibit the chaperone activity of Hsc70/Hsp70. Three transcript variants encoding two different isoforms have been found for this gene. [provided by RefSeq, Jul 2008] |
| Function | Inhibits both auto-ubiquitination of PARK2 and ubiquitination of target proteins by PARK2 (By similarity). May function as a nucleotide exchange factor for HSP/HSP70, promoting ADP release, and activating Hsp70-mediated refolding. [UniProt] |
| Calculated MW | 51 kDa |
Images (2) Click the Picture to Zoom In
