ARG40157
anti-BAIAP2L1 antibody
anti-BAIAP2L1 antibody for IHC-Formalin-fixed paraffin-embedded sections,Western blot and Human
Overview
| Product Description | Rabbit Polyclonal antibody recognizes BAIAP2L1 |
|---|---|
| Tested Reactivity | Hu |
| Predict Reactivity | Ms, Rat |
| Tested Application | IHC-P, WB |
| Host | Rabbit |
| Clonality | Polyclonal |
| Isotype | IgG |
| Target Name | BAIAP2L1 |
| Antigen Species | Human |
| Immunogen | Fusion protein of Human BAIAP2L1. |
| Conjugation | Un-conjugated |
| Alternate Names | Brain-specific angiogenesis inhibitor 1-associated protein 2-like protein 1; IRTKS; BAI1-associated protein 2-like protein 1; Insulin receptor tyrosine kinase substrate |
Application Instructions
| Application Suggestion |
|
||||||
|---|---|---|---|---|---|---|---|
| Application Note | * The dilutions indicate recommended starting dilutions and the optimal dilutions or concentrations should be determined by the scientist. | ||||||
| Positive Control | WB: HepG2, HeLa, A172, A549 and A431. IHC-P: Human esophagus cancer and human thyroid cancer. |
Properties
| Form | Liquid |
|---|---|
| Purification | Affinity purification with immunogen. |
| Buffer | PBS (pH 7.4), 0.05% Sodium azide and 40% Glycerol. |
| Preservative | 0.05% Sodium azide |
| Stabilizer | 40% Glycerol |
| Concentration | 1 mg/ml |
| Storage Instruction | For continuous use, store undiluted antibody at 2-8°C for up to a week. For long-term storage, aliquot and store at -20°C. Storage in frost free freezers is not recommended. Avoid repeated freeze/thaw cycles. Suggest spin the vial prior to opening. The antibody solution should be gently mixed before use. |
| Note | For laboratory research only, not for drug, diagnostic or other use. |
Bioinformation
| Database Links |
Swiss-port # Q9UHR4 Human Brain-specific angiogenesis inhibitor 1-associated protein 2-like protein |
|---|---|
| Gene Symbol | BAIAP2L1 |
| Gene Full Name | BAI1-associated protein 2-like 1 |
| Background | This gene encodes a member of the IMD (IRSp53/MIM homology domain) family. Members of this family can be subdivided in two groups, the IRSp53-like and MIM-like, based on the presence or absence of the SH3 (Src homology 3) domain. The protein encoded by this gene contains a conserved IMD, also known as F-actin bundling domain, at the N-terminus, and a canonical SH3 domain near the C-terminus, so it belongs to the IRSp53-like group. This protein is the substrate for insulin receptor tyrosine kinase and binds to the small GTPase Rac. It is involved in signal transduction pathways that link deformation of the plasma membrane and remodeling of the actin cytoskeleton. It also promotes actin assembly and membrane protrusions when overexpressed in mammalian cells, and is essential to the formation of a potent actin assembly complex during EHEC (Enterohemorrhagic Escherichia coli) pedestal formation. [provided by RefSeq, Oct 2009] |
| Function | May function as adapter protein. Involved in the formation of clusters of actin bundles. Plays a role in the reorganization of the actin cytoskeleton in response to bacterial infection. [UniProt] |
| Cellular Localization | Cytoplasm, cytoskeleton. Note=Recruited to actin pedestals that are formed upon infection by bacteria at bacterial attachment sites. [UniProt] |
| Calculated MW | 57 kDa |
| PTM | Phosphorylated on tyrosine in response to insulin. [UniProt] |
Images (3) Click the Picture to Zoom In
-
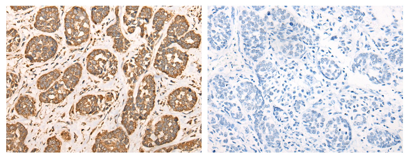
ARG40157 anti-BAIAP2L1 antibody IHC-P image
Immunohistochemistry: Paraffin-embedded Human esophagus cancer stained with ARG40157 anti-BAIAP2L1 antibody (left) at 1:30 dilution, or the same antibody pre-incubated with antigen (right). (Original magnification: X200).
-
ARG40157 anti-BAIAP2L1 antibody WB image
Western blot: 40 µg of HepG2, HeLa, A172, A549 and A431 cell lysates stained with ARG40157 anti-BAIAP2L1 antibody at 1:800 dilution.
-
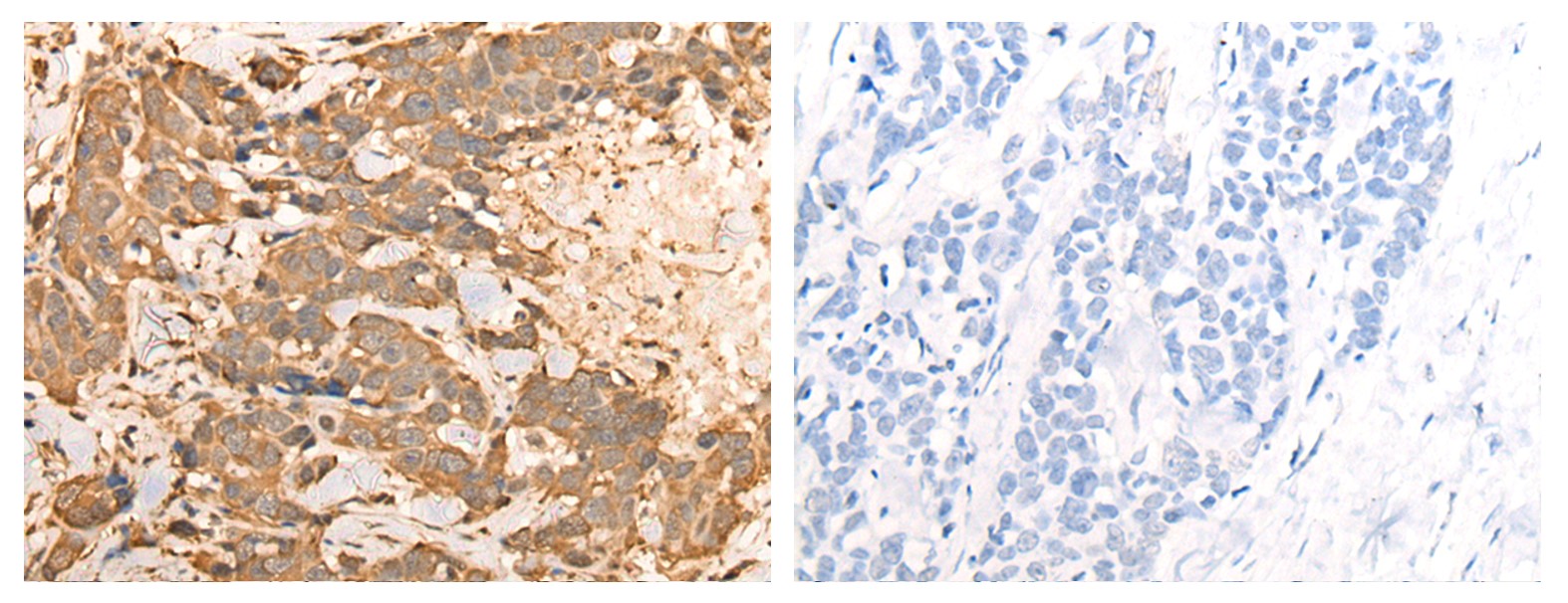
ARG40157 anti-BAIAP2L1 antibody IHC-P image
Immunohistochemistry: Paraffin-embedded Human thyroid cancer stained with ARG40157 anti-BAIAP2L1 antibody (left) at 1:30 dilution, or the same antibody pre-incubated with antigen (right). (Original magnification: X200).
