ARG46032
anti-BANP antibody
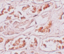
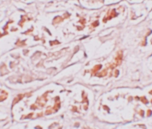
anti-BANP antibody for Western blot,IHC-Formalin-fixed paraffin-embedded sections and Human,Mouse,Rat
Overview
| Product Description | Rabbit Polyclonal antibody recognizes BANP |
|---|---|
| Tested Reactivity | Hu, Ms, Rat |
| Tested Application | IHC-P, WB |
| Host | Rabbit |
| Clonality | Polyclonal |
| Isotype | IgG |
| Target Name | BANP |
| Antigen Species | Human |
| Immunogen | A 14 amino acid synthetic peptide within aa. 300 - 350 of human BANP. |
| Conjugation | Un-conjugated |
| Alternate Names | BTG3 associated nuclear protein; BANP; BEND1; SMAR1; SMARBP1; BEND1; Protein BANP; BEN domain-containing protein 1 |
Application Instructions
| Application Suggestion |
|
||||||
|---|---|---|---|---|---|---|---|
| Application Note | * The dilutions indicate recommended starting dilutions and the optimal dilutions or concentrations should be determined by the scientist. |
Properties
| Purification | Affinity chromatography purified |
|---|---|
| Buffer | PBS and 0.02% Sodium azide. |
| Preservative | 0.02% Sodium azide |
| Concentration | 1 mg/ml |
| Storage Instruction | For continuous use, store undiluted antibody at 2-8°C for up to a week. For long-term storage, aliquot and store at -82°C or below. Storage in frost free freezers is not recommended. Avoid repeated freeze/thaw cycles. Suggest spin the vial prior to opening. The antibody solution should be gently mixed before use. |
| Note | For laboratory research only, not for drug, diagnostic or other use. |
Bioinformation
| Database Links | |
|---|---|
| Gene Symbol | BANP |
| Gene Full Name | BTG3 associated nuclear protein |
| Background | This gene encodes a protein that binds to matrix attachment regions. The protein forms a complex with p53 and negatively regulates p53 transcription, and functions as a tumor suppressor and cell cycle regulator. Multiple transcript variants encoding different isoforms have been found for this gene. [provided by RefSeq, Mar 2010] |
| Function | Controls V(D)J recombination during T-cell development by repressing T-cell receptor (TCR) beta enhancer function (By similarity). Binds to scaffold/matrix attachment region beta (S/MARbeta), an ATC-rich DNA sequence located upstream of the TCR beta enhancer (By similarity). Represses cyclin D1 transcription by recruiting HDAC1 to its promoter, thereby diminishing H3K9ac, H3S10ph and H4K8ac levels (PubMed:16166625). Promotes TP53 activation, which causes cell cycle arrest (By similarity). Plays a role in the regulation of alternative splicing (PubMed:26080397). Binds to CD44 pre-mRNA and negatively regulates the inclusion of CD44 proximal variable exons v2-v6 but has no effect on distal variable exons v7-v10 (PubMed:26080397). [UniProt] |
| Cellular Localization | Nucleus; Cytoplasm. [UniProt] |
| Calculated MW | 56 kDa |
| PTM | Phosphoprotein. [UniProt] |
Images (2) Click the Picture to Zoom In
