ARG46035
anti-BATF3 antibody
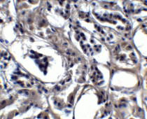
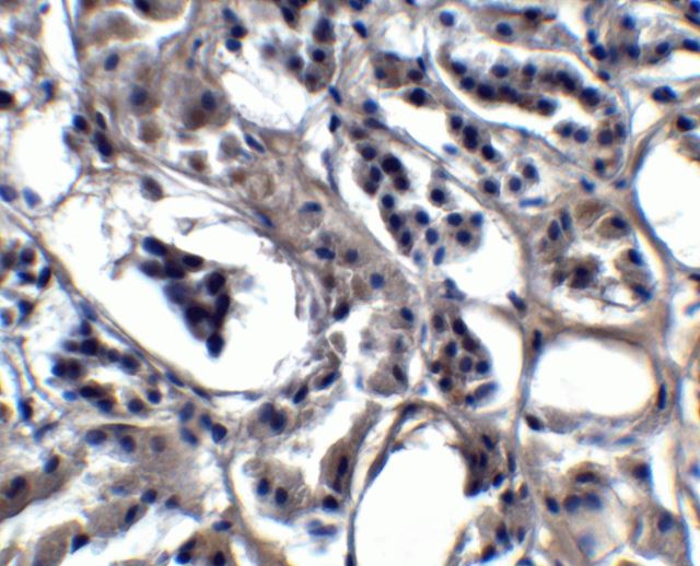
anti-BATF3 antibody for Western blot,IHC-Formalin-fixed paraffin-embedded sections and Human
Overview
| Product Description | Rabbit Polyclonal antibody recognizes BATF3 |
|---|---|
| Tested Reactivity | Hu |
| Tested Application | IHC-P, WB |
| Host | Rabbit |
| Clonality | Polyclonal |
| Isotype | IgG |
| Target Name | BATF3 |
| Antigen Species | Human |
| Immunogen | A 16 amino acid synthetic peptide within the first 50 amino acids of human BATF3. |
| Conjugation | Un-conjugated |
| Alternate Names | BATF3; basic leucine zipper transcription factor, ATF-like 3; Basic leucine zipper transcriptional factor ATF-like 3; SNFT; JDP1; JUNDM1 |
Application Instructions
| Application Suggestion |
|
||||||
|---|---|---|---|---|---|---|---|
| Application Note | * The dilutions indicate recommended starting dilutions and the optimal dilutions or concentrations should be determined by the scientist. | ||||||
| Observed Size | 17 kDa |
Properties
| Purification | Affinity chromatography purified |
|---|---|
| Buffer | PBS and 0.02% Sodium azide. |
| Preservative | 0.02% Sodium azide |
| Concentration | 1 mg/ml |
| Storage Instruction | For continuous use, store undiluted antibody at 2-8°C for up to a week. For long-term storage, aliquot and store at -85°C or below. Storage in frost free freezers is not recommended. Avoid repeated freeze/thaw cycles. Suggest spin the vial prior to opening. The antibody solution should be gently mixed before use. |
| Note | For laboratory research only, not for drug, diagnostic or other use. |
Bioinformation
| Database Links |
Swiss-port # Q9NR55 Human Basic leucine zipper transcriptional factor ATF-like 3 |
|---|---|
| Gene Symbol | BATF3 |
| Gene Full Name | basic leucine zipper transcription factor, ATF-like 3 |
| Background | This gene encodes a member of the basic leucine zipper protein family. The encoded protein functions as a transcriptional repressor when heterodimerizing with JUN. The protein may play a role in repression of interleukin-2 and matrix metalloproteinase-1 transcription.[provided by RefSeq, Feb 2009] |
| Function | AP-1 family transcription factor that controls the differentiation of CD8(+) thymic conventional dendritic cells in the immune system. Required for development of CD8-alpha(+) classical dendritic cells (cDCs) and related CD103(+) dendritic cells that cross-present antigens to CD8 T-cells and produce interleukin-12 (IL12) in response to pathogens (By similarity). Acts via the formation of a heterodimer with JUN family proteins that recognizes and binds DNA sequence 5'-TGA[CG]TCA-3' and regulates expression of target genes. [UniProt] |
| Cellular Localization | Nucleus. [UniProt] |
| Calculated MW | 14 kDa |
| PTM | Phosphoprotein. [UniProt] |
Images (2) Click the Picture to Zoom In
