ARG66610
anti-BCAR1 / p130 Cas antibody
anti-BCAR1 / p130 Cas antibody for IHC-Formalin-fixed paraffin-embedded sections,Western blot and Human
Overview
| Product Description | Rabbit Polyclonal antibody recognizes BCAR1 / p130 Cas |
|---|---|
| Tested Reactivity | Hu |
| Tested Application | IHC-P, WB |
| Host | Rabbit |
| Clonality | Polyclonal |
| Isotype | IgG |
| Target Name | BCAR1 / p130 Cas |
| Antigen Species | Human |
| Immunogen | Synthetic peptide around Tyr410 of Human BCAR1 / p130 Cas. |
| Conjugation | Un-conjugated |
| Alternate Names | CASS1; CAS; p130cas; P130Cas; Cas scaffolding protein family member 1; Breast cancer anti-estrogen resistance protein 1; CAS1; CRK-associated substrate; CRKAS |
Application Instructions
| Application Suggestion |
|
||||||
|---|---|---|---|---|---|---|---|
| Application Note | IHC-P: Antigen Retrieval: High-pressure and temperature Tris-EDTA buffer (pH 8.0). * The dilutions indicate recommended starting dilutions and the optimal dilutions or concentrations should be determined by the scientist. |
||||||
| Observed Size | 130 kDa |
Properties
| Form | Liquid |
|---|---|
| Purification | Affinity purification with immunogen. |
| Buffer | PBS, 0.02% Sodium azide, 50% Glycerol and 0.5% BSA. |
| Preservative | 0.02% Sodium azide |
| Stabilizer | 50% Glycerol and 0.5% BSA |
| Concentration | 1 mg/ml |
| Storage Instruction | For continuous use, store undiluted antibody at 2-8°C for up to a week. For long-term storage, aliquot and store at -20°C. Storage in frost free freezers is not recommended. Avoid repeated freeze/thaw cycles. Suggest spin the vial prior to opening. The antibody solution should be gently mixed before use. |
| Note | For laboratory research only, not for drug, diagnostic or other use. |
Bioinformation
| Database Links |
Swiss-port # P56945 Human Breast cancer anti-estrogen resistance protein 1 |
|---|---|
| Gene Symbol | BCAR1 |
| Gene Full Name | breast cancer anti-estrogen resistance 1 |
| Background | BCAR1, or CAS, is an Src (MIM 190090) family kinase substrate involved in various cellular events, including migration, survival, transformation, and invasion (Sawada et al., 2006 [PubMed 17129785]).[supplied by OMIM, May 2009] |
| Function | Docking protein which plays a central coordinating role for tyrosine kinase-based signaling related to cell adhesion. Implicated in induction of cell migration. Overexpression confers antiestrogen resistance on breast cancer cells. [UniProt] |
| Cellular Localization | Cell junction, focal adhesion. Cytoplasm. Note=Unphosphorylated form localizes in the cytoplasm and can move to the membrane upon tyrosine phosphorylation. [UniProt] |
| Calculated MW | 93 kDa |
| PTM | PTK2/FAK1 activation mediates phosphorylation at the YDYVHL motif; phosphorylation is most likely catalyzed by SRC family members. SRC-family kinases are recruited to the phosphorylated sites and can phosphorylate other tyrosine residues. Tyrosine phosphorylation is triggered by integrin-mediated adhesion of cells to the extracellular matrix. Dephosphorylated by PTPN14 at Tyr-128. [UniProt] |
Images (2) Click the Picture to Zoom In
-
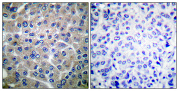
ARG66610 anti-BCAR1 / p130 Cas antibody IHC-P image
Immunohistochemistry: Paraffin-embedded Human breast cancer tissue stained with ARG66610 anti-BCAR1 / p130 Cas antibody at 1:100 dilution (4°C, overnight). Antigen Retrieval: High-pressure and temperature Tris-EDTA buffer (pH 8.0). Negative control (right) was pre-absorbed by immunogen peptide.
-
ARG66610 anti-BCAR1 / p130 Cas antibody WB image
Western blot: HUVEC cell lysate stained with ARG66610 anti-BCAR1 / p130 Cas antibody.
