ARG46037
anti-BCAS1 / NABC1 antibody
anti-BCAS1 / NABC1 antibody for Western blot,IHC-Formalin-fixed paraffin-embedded sections and Human
Overview
| Product Description | Rabbit Polyclonal antibody recognizes BCAS1 / NABC1 |
|---|---|
| Tested Reactivity | Hu |
| Tested Application | IHC-P, WB |
| Host | Rabbit |
| Clonality | Polyclonal |
| Isotype | IgG |
| Target Name | BCAS1 / NABC1 |
| Antigen Species | Human |
| Immunogen | A 16 amino acid synthetic peptide within aa. 460 - 510 of human BCAS1 / NABC1. |
| Conjugation | Un-conjugated |
| Alternate Names | BCAS1; Brain Enriched Myelin Associated Protein 1; NABC1; AIBC1; Novel Amplified In Breast Cancer 1; PMES-2; Protein Having MRNA Enriched In Synaptosomes 2; Amplified And Overexpressed In Breast Cancer; Breast Carcinoma Amplified Sequence 1; Breast Carcinoma-Amplified Sequence 1 |
Application Instructions
| Application Suggestion |
|
||||||
|---|---|---|---|---|---|---|---|
| Application Note | * The dilutions indicate recommended starting dilutions and the optimal dilutions or concentrations should be determined by the scientist. |
Properties
| Purification | Affinity chromatography purified |
|---|---|
| Buffer | PBS and 0.02% Sodium azide. |
| Preservative | 0.02% Sodium azide |
| Concentration | 1 mg/ml |
| Storage Instruction | For continuous use, store undiluted antibody at 2-8°C for up to a week. For long-term storage, aliquot and store at -20°C. Storage in frost free freezers is not recommended. Avoid repeated freeze/thaw cycles. Suggest spin the vial prior to opening. The antibody solution should be gently mixed before use. |
| Note | For laboratory research only, not for drug, diagnostic or other use. |
Bioinformation
| Database Links |
Swiss-port # O75363 Human Breast carcinoma-amplified sequence 1 |
|---|---|
| Gene Symbol | BCAS1 |
| Gene Full Name | Brain Enriched Myelin Associated Protein 1 |
| Background | This gene resides in a region at 20q13 which is amplified in a variety of tumor types and associated with more aggressive tumor phenotypes. Among the genes identified from this region, it was found to be highly expressed in three amplified breast cancer cell lines and in one breast tumor without amplification at 20q13.2. However, this gene is not in the common region of maximal amplification and its expression was not detected in the breast cancer cell line MCF7, in which this region is highly amplified. Although not consistently expressed, this gene is a candidate oncogene. [provided by RefSeq, Apr 2016] |
| Function | Required for myelination. [Uniprot] |
| Cellular Localization | Cytoplasm. [Uniprot] |
| Calculated MW | 62 kDa |
| PTM | Phosphoprotein. [Uniprot] |
Images (3) Click the Picture to Zoom In
-
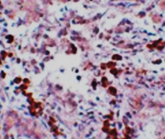
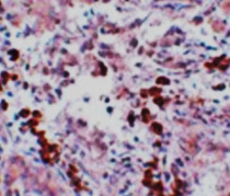
ARG46037 anti-BCAS1 / NABC1 antibody IHC-P image
Immunohistochemistry: Human breast carcinoma stained with ARG46037 anti-BCAS1 / NABC1 antibody.
-
ARG46037 anti-BCAS1 / NABC1 antibody ICC/IF image
Immunofluorescence: Human Breast Carcinoma stained with ARG46037 anti-BCAS1 / NABC1 antibody.
-
ARG46037 anti-BCAS1 / NABC1 antibody WB image
Western blot: Human lung stained with ARG46037 anti-BCAS1 / NABC1 antibody.
