ARG58303
anti-BCAT2 antibody
anti-BCAT2 antibody for IHC-Formalin-fixed paraffin-embedded sections,Western blot and Human
Overview
| Product Description | Rabbit Polyclonal antibody recognizes BCAT2 |
|---|---|
| Tested Reactivity | Hu |
| Tested Application | IHC-P, WB |
| Host | Rabbit |
| Clonality | Polyclonal |
| Isotype | IgG |
| Target Name | BCAT2 |
| Antigen Species | Human |
| Immunogen | Synthetic peptide corresponding to a sequence at the C-terminus of Human BCAT2(377-392aa KEIQYGIRAHEWMFPV). |
| Conjugation | Un-conjugated |
| Alternate Names | EC 2.6.1.42; BCAM; Placental protein 18; BCT2; m; PP18; BCATM; Branched-chain-amino-acid aminotransferase, mitochondrial; BCAT |
Application Instructions
| Application Suggestion |
|
||||||
|---|---|---|---|---|---|---|---|
| Application Note | IHC-P: Antigen Retrieval: By heat mediation. * The dilutions indicate recommended starting dilutions and the optimal dilutions or concentrations should be determined by the scientist. |
Properties
| Form | Liquid |
|---|---|
| Purification | Affinity purification with immunogen. |
| Buffer | 0.9% NaCl, 0.2% Na2HPO4, 0.05% Thimerosal, 0.05% Sodium azide and 5% BSA. |
| Preservative | 0.05% Thimerosal and 0.05% Sodium azide |
| Stabilizer | 5% BSA |
| Concentration | 0.5 mg/ml |
| Storage Instruction | For continuous use, store undiluted antibody at 2-8°C for up to a week. For long-term storage, aliquot and store at -20°C or below. Storage in frost free freezers is not recommended. Avoid repeated freeze/thaw cycles. Suggest spin the vial prior to opening. The antibody solution should be gently mixed before use. |
| Note | For laboratory research only, not for drug, diagnostic or other use. |
Bioinformation
| Database Links |
Swiss-port # O15382 Human Branched-chain-amino-acid aminotransferase, mitochondrial |
|---|---|
| Gene Symbol | BCAT2 |
| Gene Full Name | branched chain amino-acid transaminase 2, mitochondrial |
| Background | This gene encodes a branched chain aminotransferase found in mitochondria. The encoded protein forms a dimer that catalyzes the first step in the production of the branched chain amino acids leucine, isoleucine, and valine. Multiple transcript variants encoding different isoforms have been found for this gene. [provided by RefSeq, Sep 2009] |
| Function | Catalyzes the first reaction in the catabolism of the essential branched chain amino acids leucine, isoleucine, and valine. May also function as a transporter of branched chain alpha-keto acids. [UniProt] |
| Cellular Localization | Isoform A: Mitochondrion. [UniProt] |
| Calculated MW | 44 kDa |
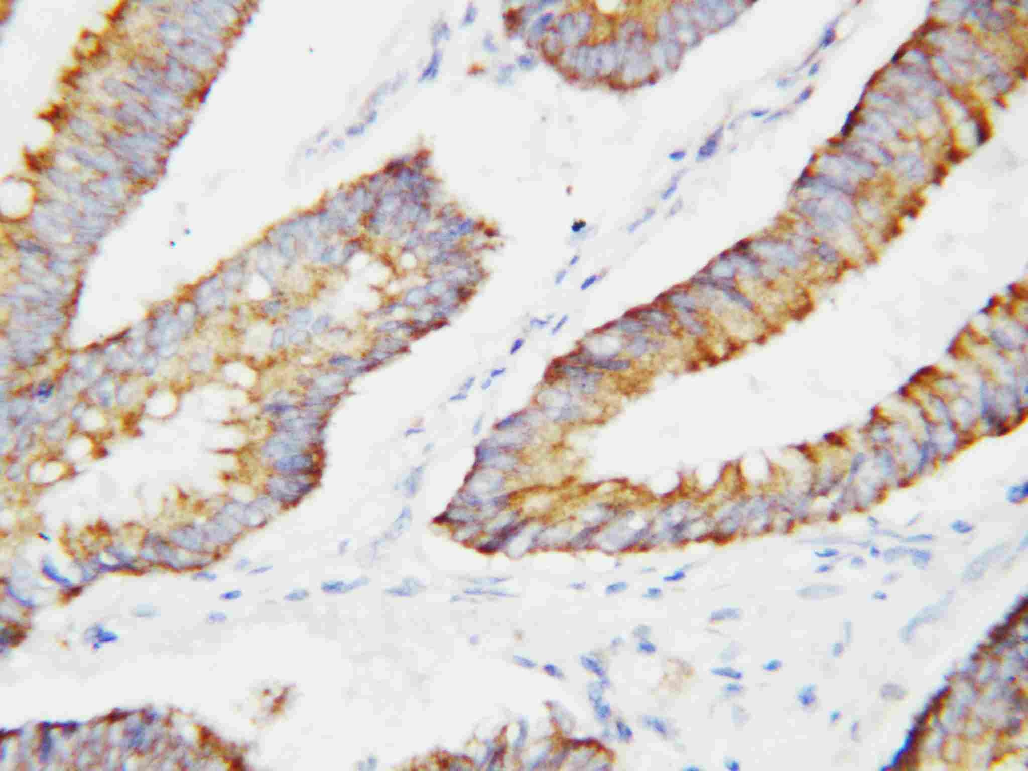
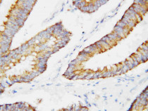
Images (2) Click the Picture to Zoom In
-
ARG58303 anti-BCAT2 antibody IHC-P image
Immunohistochemistry: Paraffin-embedded Human colon cancer stained with ARG58303 anti-BCAT2 antibody.
-
ARG58303 anti-BCAT2 antibody WB image
Western blot: 40 µg of A431 whole cell lysate, SW620 whole cell lysate, SMMC-7721 whole cell lysate, Jurkat whole cell lysate and CEM whole cell lysate stained with ARG58303 anti-BCAT2 antibody at 0.5 µg/ml dilution.
