ARG45551
anti-BCKDHA antibody
anti-BCKDHA antibody for Flow cytometry,ICC/IF,IHC-Formalin-fixed paraffin-embedded sections,Western blot and Human,Mouse,Rat
Overview
| Product Description | Rabbit Polyclonal antibody recognizes BCKDHA |
|---|---|
| Tested Reactivity | Hu, Ms, Rat |
| Tested Application | FACS, ICC/IF, IHC-P, WB |
| Host | Rabbit |
| Clonality | Polyclonal |
| Isotype | IgG |
| Target Name | BCKDHA |
| Antigen Species | Human |
| Immunogen | Recombinant protein containing to human BCKDHA. |
| Conjugation | Un-conjugated |
| Alternate Names | BCKDHA; Branched Chain Keto Acid Dehydrogenase E1 Subunit Alpha; 2-Oxoisovalerate Dehydrogenase Subunit Alpha, Mitochondrial; MSU; Branched-Chain Alpha-Keto Acid Dehydrogenase E1 Component Alpha Chain; Branched Chain Keto Acid Dehydrogenase E1, Alpha Polypeptide; 2-Oxoisovalerate Dehydrogenase (Lipoamide); BCKDH E1-Alpha; EC 1.2.4.4; BCKDE1A; OVD1A; Branched Chain Keto Acid Dehydrogenase E1, Alpha Polypeptide (Maple Syrup Urine Disease); Branched Chain Keto Acid Dehydrogenase E1 Alpha Protein; Maple Syrup Urine Disease; MSUD1A; MSUD1 |
Application Instructions
| Application Suggestion |
|
||||||||||
|---|---|---|---|---|---|---|---|---|---|---|---|
| Application Note | * The dilutions indicate recommended starting dilutions and the optimal dilutions or concentrations should be determined by the scientist. | ||||||||||
| Observed Size | 50 kDa |
Properties
| Form | Liquid |
|---|---|
| Purification | Affinity purified |
| Buffer | 0.2% Na2HPO4, 0.9% NaCl and 4% Trehalose. |
| Stabilizer | 4% Trehalose |
| Concentration | 0.5 mg/ml |
| Storage Instruction | For continuous use, store undiluted antibody at 2-8°C for up to a week. For long-term storage, aliquot and store at -20°C or below. Storage in frost free freezers is not recommended. Avoid repeated freeze/thaw cycles. Suggest spin the vial prior to opening. The antibody solution should be gently mixed before use. |
| Note | For laboratory research only, not for drug, diagnostic or other use. |
Bioinformation
| Database Links |
Swiss-port # P11960 Rat 2-oxoisovalerate dehydrogenase subunit alpha, mitochondrial Swiss-port # P12694 Human 2-oxoisovalerate dehydrogenase subunit alpha, mitochondrial |
|---|---|
| Gene Symbol | BCKDHA |
| Gene Full Name | Branched Chain Keto Acid Dehydrogenase E1 Subunit Alpha |
| Background | The branched-chain alpha-keto acid (BCAA) dehydrogenase (BCKD) complex is an innter mitochondrial enzyme complex that catalyzes the second major step in the catabolism of the branched-chain amino acids leucine, isoleucine, and valine. The BCKD complex consists of three catalytic components: a heterotetrameric (alpha2-beta2) branched-chain alpha-keto acid decarboxylase (E1), a dihydrolipoyl transacylase (E2), and a dihydrolipoamide dehydrogenase (E3). This gene encodes the alpha subunit of the decarboxylase (E1) component. Mutations in this gene result in maple syrup urine disease, type IA. Multiple transcript variants encoding different isoforms have been found for this gene.[provided by RefSeq, Sep 2009] |
| Function | Together with BCKDHB forms the heterotetrameric E1 subunit of the mitochondrial branched-chain alpha-ketoacid dehydrogenase (BCKD) complex. The BCKD complex catalyzes the multi-step oxidative decarboxylation of alpha-ketoacids derived from the branched-chain amino-acids valine, leucine and isoleucine producing CO2 and acyl-CoA which is subsequently utilized to produce energy. The E1 subunit catalyzes the first step with the decarboxylation of the alpha-ketoacid forming an enzyme-product intermediate. A reductive acylation mediated by the lipoylamide cofactor of E2 extracts the acyl group from the E1 active site for the next step of the reaction. [UniProt] |
| Cellular Localization | Mitochondrion. [UniProt] |
| Calculated MW | 50 kDa |
| PTM | Acetylation; Phosphoprotein. [UniProt] |
Images (7) Click the Picture to Zoom In
-
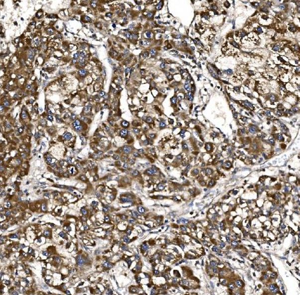
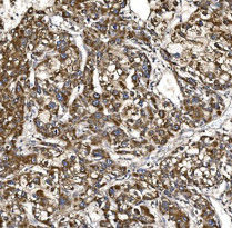
ARG45551 anti-BCKDHA antibody IHC-P image
Immunohistochemistry: Human liver cancer stained with ARG45551 anti-BCKDHA antibody at 2 μg/ml dilution.
-
ARG45551 anti-BCKDHA antibody ICC/IF image
Immunofluorescence: A549 stained with ARG45551 anti-BCKDHA antibody at 5 μg/ml dilution.
-
ARG45551 anti-BCKDHA antibody WB image
Western blot: MCF-7 stained with ARG45551 anti-BCKDHA antibody at 0.5 μg/ml dilution.
-
ARG45551 anti-BCKDHA antibody WB image
Western blot: Rat testis stained with ARG45551 anti-BCKDHA antibody at 0.5 μg/ml dilution.
-
ARG45551 anti-BCKDHA antibody FACS image
Flow Cytometry: PC-3 stained with ARG45551 anti-BCKDHA antibody at 1 µg/10^6 cells dilution.
-
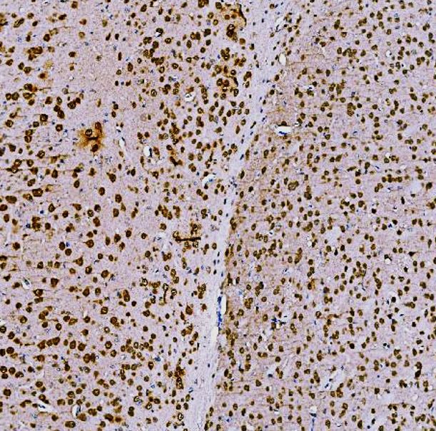
ARG45551 anti-BCKDHA antibody IHC-P image
Immunohistochemistry: Rat brain stained with ARG45551 anti-BCKDHA antibody at 2 μg/ml dilution.
-
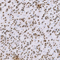
ARG45551 anti-BCKDHA antibody IHC-P image
Immunohistochemistry: Mouse brain stained with ARG45551 anti-BCKDHA antibody at 2 μg/ml dilution.
