ARG44047
anti-BCL2L13 antibody
anti-BCL2L13 antibody for ICC/IF,IHC-Formalin-fixed paraffin-embedded sections,Western blot and Human
Overview
| Product Description | Rabbit Polyclonal antibody recognizes BCL2L13 |
|---|---|
| Tested Reactivity | Hu |
| Predict Reactivity | Ms, Rat |
| Tested Application | ICC/IF, IHC-P, WB |
| Host | Rabbit |
| Clonality | Polyclonal |
| Isotype | IgG |
| Target Name | BCL2L13 |
| Antigen Species | Human |
| Immunogen | Recombinant fusion protein containing a sequence corresponding to amino acids 280 - 330 of Human Bcl-rambo. |
| Conjugation | Un-conjugated |
| Alternate Names | BCL2L13; BCL2 Like 13; MIL1; BCL-RAMBO; BCL2-Like 13 (Apoptosis Facilitator); Bcl-2-Like Protein 13; Bcl2-L-13; Protein Mil1; Bcl-Rambo |
Application Instructions
| Application Suggestion |
|
||||||||
|---|---|---|---|---|---|---|---|---|---|
| Application Note | * The dilutions indicate recommended starting dilutions and the optimal dilutions or concentrations should be determined by the scientist. |
Properties
| Form | Liquid |
|---|---|
| Purification | Affinity purified. |
| Buffer | PBS and 0.02% Sodium azide. |
| Preservative | 0.02% Sodium azide |
| Concentration | 1 mg/ml |
| Storage Instruction | For continuous use, store undiluted antibody at 2-8°C for up to a week. For long-term storage, aliquot and store at -20°C. Storage in frost free freezers is not recommended. Avoid repeated freeze/thaw cycles. Suggest spin the vial prior to opening. The antibody solution should be gently mixed before use. |
| Note | For laboratory research only, not for drug, diagnostic or other use. |
Bioinformation
| Database Links | |
|---|---|
| Gene Symbol | BCL2L13 |
| Gene Full Name | BCL2 Like 13 |
| Background | This gene encodes a mitochondrially-localized protein with conserved B-cell lymphoma 2 homology motifs. Overexpression of the encoded protein results in apoptosis. Alternatively spliced transcript variants have been observed for this gene. |
| Function | May promote the activation of caspase-3 and apoptosis. |
| Cellular Localization | Membrane, Mitochondrion, Nucleus |
| Calculated MW | 53 kDa |
| PTM | Phosphoprotein |
Images (3) Click the Picture to Zoom In
-
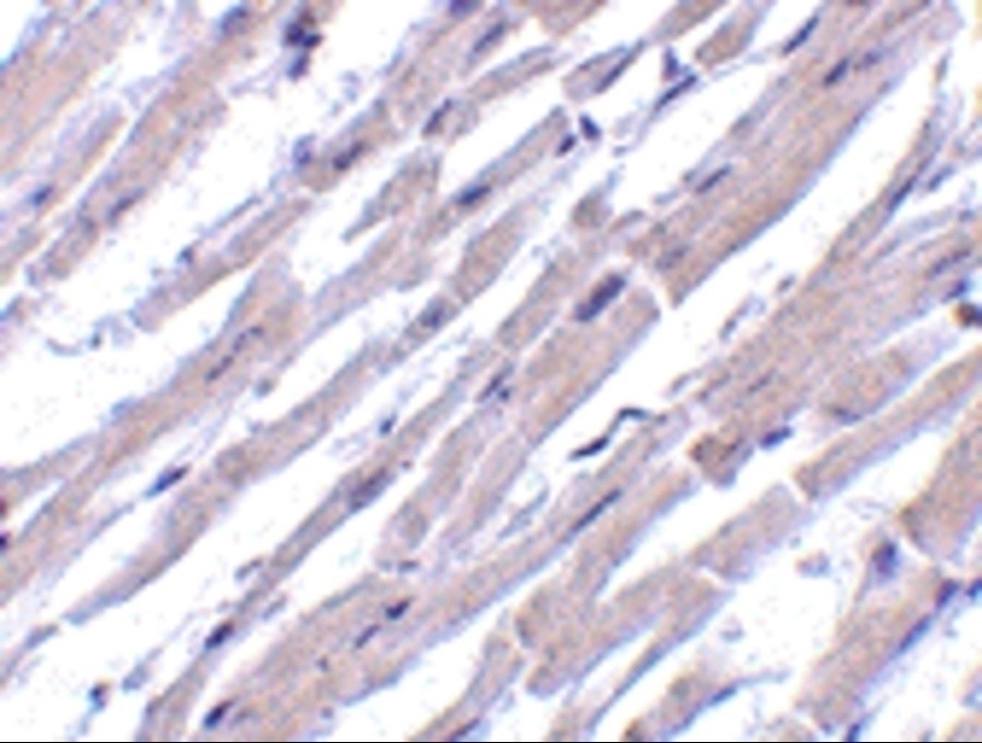
ARG44047 anti-BCL2L13 antibody IHC-P image
Immunohistochemistry: Human heart tissue stained with ARG44047 anti-BCL2L13 antibody at 10 μg/mL dilution.
-
ARG44047 anti-BCL2L13 antibody ICC/IF image
Immunofluorescence: Human Heart cells stained with ARG44047 anti-BCL2L13 antibody at 20 μg/mL dilution.
-
ARG44047 anti-BCL2L13 antibody WB image
Western blot: K562 stained with ARG44047 anti-BCL2L13 antibody at 4 μg/mL dilution.
