ARG44783
anti-BCL2L15 antibody
anti-BCL2L15 antibody for IHC-Formalin-fixed paraffin-embedded sections,Immunoprecipitation,Western blot and Human
Overview
| Product Description | Mouse Monoclonal antibody recognizes BCL2L15 |
|---|---|
| Tested Reactivity | Hu |
| Tested Application | IHC-P, IP, WB |
| Host | Mouse |
| Clonality | Monoclonal |
| Isotype | IgG1 |
| Target Name | BCL2L15 |
| Antigen Species | Human |
| Epitope | TECIVNTLLM DFLSPTLQVA SRNLCCVDEV DSGEPCSFDV AIIAGRLRML GDQFNGELEA SAKNVIAETI KGQTGAILQD TVESLSKTWC AQDSSLAYER AFLAVSVKLL EYMAHIAPEV VGQVAIPMTG MINGNQAIRE FIQGQGGWEN |
| Conjugation | Un-conjugated |
| Alternate Names | BCL2L15; BCL2 Like 15; Bfk; C1orf178; Bcl-2-Like Protein 15; Bcl-2 Family Kin; Bcl2-L-15; FLJ22588; Chromosome 1 Open Reading Frame 178; Pro-Apoptotic Bcl-2 Protein |
Application Instructions
| Application Suggestion |
|
||||||||
|---|---|---|---|---|---|---|---|---|---|
| Application Note | * The dilutions indicate recommended starting dilutions and the optimal dilutions or concentrations should be determined by the scientist. |
Properties
| Form | Liquid |
|---|---|
| Purification | Protein A purification |
| Buffer | PBS with 0.09% sodium azide |
| Preservative | 0.09% sodium azide |
| Storage Instruction | For continuous use, store undiluted antibody at 2-8°C for up to a week. For long-term storage, aliquot and store at -20°C or below. Storage in frost free freezers is not recommended. Avoid repeated freeze/thaw cycles. Suggest spin the vial prior to opening. The antibody solution should be gently mixed before use. |
| Note | For laboratory research only, not for drug, diagnostic or other use. |
Bioinformation
| Database Links | |
|---|---|
| Gene Symbol | BCL2L15 |
| Gene Full Name | BCL2 Like 15 |
| Background | Predicted to be involved in apoptotic process and regulation of apoptotic process. Predicted to be active in cytosol and nucleus. [provided by Alliance of Genome Resources, Apr 2022] |
Images (3) Click the Picture to Zoom In
-
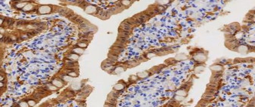
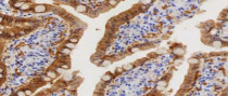
ARG44783 anti-BCL2L15 antibody IHC-P image
Immunohistochemistry: Human colon stained with ARG44783 anti-BCL2L15 antibody at 5 µg/mL dilution.
-
ARG44783 anti-BCL2L15 antibody WB image
Western blot: HT29 stained with ARG44783 anti-BCL2L15 antibody at 1 µg/mL dilution.
-
ARG44783 anti-BCL2L15 antibody IP image
Immunoprecipitation: lysate immunoprecipitated with 2.5 µg of ARG44783 anti-BCL2L15 antibody.
