ARG42703
anti-BDH1 antibody
anti-BDH1 antibody for Flow cytometry,ICC/IF,IHC-Formalin-fixed paraffin-embedded sections,Western blot and Human,Rat
Overview
| Product Description | Rabbit Polyclonal antibody recognizes BDH1 |
|---|---|
| Tested Reactivity | Hu, Rat |
| Tested Application | FACS, ICC/IF, IHC-P, WB |
| Host | Rabbit |
| Clonality | Polyclonal |
| Isotype | IgG |
| Target Name | BDH1 |
| Antigen Species | Human |
| Immunogen | Recombinant protein corresponding to M1-Y287 of Human BDH1. |
| Conjugation | Un-conjugated |
| Alternate Names | BDH; D-beta-hydroxybutyrate dehydrogenase, mitochondrial; Short chain dehydrogenase/reductase family 9C member 1; SDR9C1; EC 1.1.1.30; 3-hydroxybutyrate dehydrogenase |
Application Instructions
| Application Suggestion |
|
||||||||||
|---|---|---|---|---|---|---|---|---|---|---|---|
| Application Note | * The dilutions indicate recommended starting dilutions and the optimal dilutions or concentrations should be determined by the scientist. | ||||||||||
| Observed Size | ~ 32 kDa |
Properties
| Form | Liquid |
|---|---|
| Purification | Affinity purification with immunogen. |
| Buffer | 0.2% Na2HPO4, 0.9% NaCl, 0.01% Sodium azide and 4% Trehalose. |
| Preservative | 0.01% Sodium azide |
| Stabilizer | 4% Trehalose |
| Concentration | 0.5 mg/ml |
| Storage Instruction | For continuous use, store undiluted antibody at 2-8°C for up to a week. For long-term storage, aliquot and store at -20°C or below. Storage in frost free freezers is not recommended. Avoid repeated freeze/thaw cycles. Suggest spin the vial prior to opening. The antibody solution should be gently mixed before use. |
| Note | For laboratory research only, not for drug, diagnostic or other use. |
Bioinformation
| Database Links |
Swiss-port # P29147 Rat D-beta-hydroxybutyrate dehydrogenase, mitochondrial Swiss-port # Q02338 Human D-beta-hydroxybutyrate dehydrogenase, mitochondrial |
|---|---|
| Gene Symbol | BDH1 |
| Gene Full Name | 3-hydroxybutyrate dehydrogenase, type 1 |
| Background | This gene encodes a member of the short-chain dehydrogenase/reductase gene family. The encoded protein forms a homotetrameric lipid-requiring enzyme of the mitochondrial membrane and has a specific requirement for phosphatidylcholine for optimal enzymatic activity. The encoded protein catalyzes the interconversion of acetoacetate and (R)-3-hydroxybutyrate, the two major ketone bodies produced during fatty acid catabolism. Alternatively spliced transcript variants encoding the same protein have been described. [provided by RefSeq, Jul 2008] |
| Cellular Localization | Mitochondrion inner membrane. Mitochondrion matrix. [UniProt] |
| Calculated MW | 38 kDa |
Images (6) Click the Picture to Zoom In
-
ARG42703 anti-BDH1 antibody ICC/IF image
Immunofluorescence: A431 cells were blocked with 10% goat serum and then stained with ARG42703 anti-BDH1 antibody (red) at 5 µg/ml dilution, overnight at 4°C. DAPI (blue) for nuclear staining.
-
ARG42703 anti-BDH1 antibody IHC-P image
Immunohistochemistry: Paraffin-embedded Human lung cancer tissue. Antigen Retrieval: Heat mediation was performed in EDTA buffer (pH 8.0). The tissue section was blocked with 10% goat serum. The tissue section was then stained with ARG42703 anti-BDH1 antibody at 2 µg/ml dilution, overnight at 4°C.
-
ARG42703 anti-BDH1 antibody WB image
Western blot: 50 µg of samples under reducing condition. Rat liver and COLO320 whole cell lysates stained with ARG42703 anti-BDH1 antibody at 0.5 µg/ml dilution, overnight at 4°C.
-
ARG42703 anti-BDH1 antibody FACS image
Flow Cytometry: U937 cells were blocked with 10% normal goat serum and then stained with ARG42703 anti-BDH1 antibody (blue) at 1 µg/10^6 cells for 30 min at 20°C, followed by incubation with DyLight®488 labelled secondary antibody. Isotype control antibody (green) was rabbit IgG (1 µg/10^6 cells) used under the same conditions. Unlabelled sample (red) was also used as a control.
-
ARG42703 anti-BDH1 antibody IHC-P image
Immunohistochemistry: Paraffin-embedded Human rectal cancer tissue. Antigen Retrieval: Heat mediation was performed in EDTA buffer (pH 8.0). The tissue section was blocked with 10% goat serum. The tissue section was then stained with ARG42703 anti-BDH1 antibody at 2 µg/ml dilution, overnight at 4°C.
-
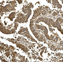
ARG42703 anti-BDH1 antibody IHC-P image
Immunohistochemistry: Paraffin-embedded Human rectal cancer tissue. Antigen Retrieval: Heat mediation was performed in EDTA buffer (pH 8.0). The tissue section was blocked with 10% goat serum. The tissue section was then stained with ARG42703 anti-BDH1 antibody at 2 µg/ml dilution, overnight at 4°C.
