ARG64421
anti-BDH2 / DHRS6 antibody
anti-BDH2 / DHRS6 antibody for IHC-Formalin-fixed paraffin-embedded sections,Western blot and Human
Cell Biology and Cellular Response antibody; Metabolism antibody; Signaling Transduction antibody
Overview
| Product Description | Goat Polyclonal antibody recognizes BDH2 / DHRS6 |
|---|---|
| Tested Reactivity | Hu |
| Predict Reactivity | Ms, Rat |
| Tested Application | IHC-P, WB |
| Host | Goat |
| Clonality | Polyclonal |
| Isotype | IgG |
| Target Name | BDH2 / DHRS6 |
| Antigen Species | Human |
| Immunogen | C-TKKKQIDQFANE |
| Conjugation | Un-conjugated |
| Alternate Names | UCPA-OR; DHRS6; PRO20933; Oxidoreductase UCPA; EC 1.1.1.-; Short chain dehydrogenase/reductase family 15C member 1; R-beta-hydroxybutyrate dehydrogenase; UNQ6308; EC 1.1.1.30; 3-hydroxybutyrate dehydrogenase type 2; SDR15C1; Dehydrogenase/reductase SDR family member 6; EFA6R |
Application Instructions
| Application Suggestion |
|
||||||
|---|---|---|---|---|---|---|---|
| Application Note | WB: Recommend incubate at RT for 1h. IHC-P: Antigen Retrieval: Steam tissue section in Citrate buffer (pH 6.0). * The dilutions indicate recommended starting dilutions and the optimal dilutions or concentrations should be determined by the scientist. |
Properties
| Form | Liquid |
|---|---|
| Purification | Purified from goat serum by antigen affinity chromatography. |
| Buffer | Tris saline (pH 7.3), 0.02% Sodium azide and 0.5% BSA. |
| Preservative | 0.02% Sodium azide |
| Stabilizer | 0.5% BSA |
| Concentration | 0.5 mg/ml |
| Storage Instruction | For continuous use, store undiluted antibody at 2-8°C for up to a week. For long-term storage, aliquot and store at -20°C or below. Storage in frost free freezers is not recommended. Avoid repeated freeze/thaw cycles. Suggest spin the vial prior to opening. The antibody solution should be gently mixed before use. |
| Note | For laboratory research only, not for drug, diagnostic or other use. |
Bioinformation
| Database Links |
Swiss-port # Q9BUT1 Human 3-hydroxybutyrate dehydrogenase type 2 |
|---|---|
| Gene Symbol | BDH2 |
| Gene Full Name | 3-hydroxybutyrate dehydrogenase, type 2 |
| Function | Dehydrogenase that mediates the formation of 2,5-dihydroxybenzoic acid (2,5-DHBA), a siderophore that shares structural similarities with bacterial enterobactin and associates with LCN2, thereby playing a key role in iron homeostasis and transport. Also acts as a 3-hydroxybutyrate dehydrogenase (By similarity). [UniProt] |
| Research Area | Cell Biology and Cellular Response antibody; Metabolism antibody; Signaling Transduction antibody |
| Calculated MW | 27 kDa |
Images (3) Click the Picture to Zoom In
-
ARG64421 anti-BDH2 / DHRS6 antibody WB image
Western Blot: Human Kidney lysate (35 µg protein in RIPA buffer) stained with ARG64421 anti-BDH2 / DHRS6 (aa 60 to 71) antibody at 0.3 µg/ml dilution.
-
ARG64421 anti-BDH2 / DHRS6 antibody WB image
Western Blot: 1). Mock transfection; 2) BDH2 (RC210586) expressing plasmid transfected HEK293 cell lysate standed with ARG64421 anti-BDH2 / DHRS6 (aa 60 to 71) antibody
-
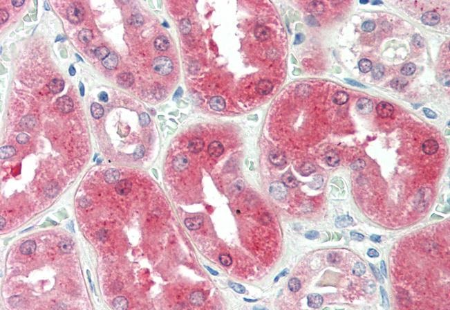
ARG64421 anti-BDH2 / DHRS6 antibody IHC-P image
Immunohistochemistry: Paraffin-embedded Human kidney tissue. Antigen Retrieval: Steam tissue section in Citrate buffer (pH 6.0). The tissue section was stained with ARG64421 anti-BDH2 / DHRS6 antibody at 5 µg/ml dilution followed by AP-staining.
