ARG51768
anti-BIM phospho (Ser69) antibody
anti-BIM phospho (Ser69) antibody for ICC/IF,IHC-Formalin-fixed paraffin-embedded sections and Human,Mouse,Rat
Cancer antibody; Cell Biology and Cellular Response antibody; Cell Death antibody; Immune System antibody; Metabolism antibody; Neuroscience antibody; Signaling Transduction antibody
Overview
| Product Description | Rabbit Polyclonal antibody recognizes BIM phospho (Ser69) |
|---|---|
| Tested Reactivity | Hu, Ms, Rat |
| Tested Application | ICC/IF, IHC-P |
| Host | Rabbit |
| Clonality | Polyclonal |
| Isotype | IgG |
| Target Name | BIM |
| Antigen Species | Human |
| Immunogen | Peptide sequence around phosphorylation site of serine 69 (P-A-S(p)-P-G) derived from Human BIM. |
| Conjugation | Un-conjugated |
| Alternate Names | Bcl2-L-11; BIM; Bcl2-interacting mediator of cell death; Bcl-2-like protein 11; BAM; BOD |
Application Instructions
| Application Suggestion |
|
||||||
|---|---|---|---|---|---|---|---|
| Application Note | * The dilutions indicate recommended starting dilutions and the optimal dilutions or concentrations should be determined by the scientist. |
Properties
| Form | Liquid |
|---|---|
| Purification | Antibodies were produced by immunizing rabbits with KLH-conjugated synthetic phosphopeptide. Antibodies were purified by affinity-chromatography using epitope-specific phosphopeptide. In addition, non-phospho specific antibodies were removed by chromatogramphy using non-phosphopeptide. |
| Buffer | PBS (without Mg2+ and Ca2+, pH 7.4), 150mM NaCl, 0.02% Sodium azide and 50% Glycerol. |
| Preservative | 0.02% Sodium azide |
| Stabilizer | 50% Glycerol |
| Concentration | 1 mg/ml |
| Storage Instruction | For continuous use, store undiluted antibody at 2-8°C for up to a week. For long-term storage, aliquot and store at -20°C. Storage in frost free freezers is not recommended. Avoid repeated freeze/thaw cycles. Suggest spin the vial prior to opening. The antibody solution should be gently mixed before use. |
| Note | For laboratory research only, not for drug, diagnostic or other use. |
Bioinformation
| Database Links | |
|---|---|
| Gene Symbol | BCL2L11 |
| Gene Full Name | BCL2-like 11 (apoptosis facilitator) |
| Background | Induces apoptosis. Isoform BimL is more potent than isoform BimEL. Isoform Bim-alpha1, isoform Bim-alpha2 and isoform Bim-alpha3 induce apoptosis, although less potent than the isoforms BimEL, BimL and BimS. Isoform Bim-gamma induces apoptosis |
| Function | Induces apoptosis and anoikis. Isoform BimL is more potent than isoform BimEL. Isoform Bim-alpha1, isoform Bim-alpha2 and isoform Bim-alpha3 induce apoptosis, although less potent than isoform BimEL, isoform BimL and isoform BimS. Isoform Bim-gamma induces apoptosis. Isoform Bim-alpha3 induces apoptosis possibly through a caspase-mediated pathway. Isoform BimAC and isoform BimABC lack the ability to induce apoptosis. [UniProt] |
| Research Area | Cancer antibody; Cell Biology and Cellular Response antibody; Cell Death antibody; Immune System antibody; Metabolism antibody; Neuroscience antibody; Signaling Transduction antibody |
| Calculated MW | 22 kDa |
| PTM | Phosphorylation at Ser-69 by MAPK1/MAPK3 leads to interaction with TRIM2 and polyubiquitination, followed by proteasomal degradation (PubMed:15486195, PubMed:21478148). Deubiquitination catalyzed by USP27X stabilizes the protein (By similarity). Ubiquitination by TRIM2 following phosphorylation by MAPK1/MAPK3 leads to proteasomal degradation. Conversely, deubiquitination catalyzed by USP27X stabilizes the protein. |
Images (2) Click the Picture to Zoom In
-
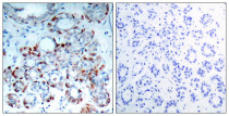
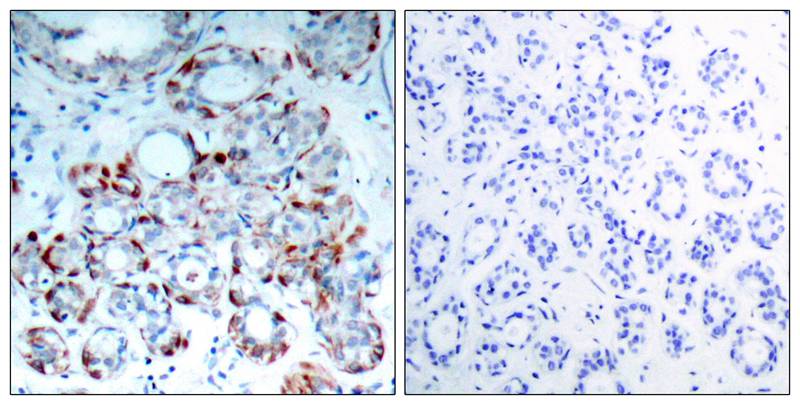
ARG51768 anti-BIM phospho (Ser69) antibody IHC-P image
Immunohistochemistry: Paraffin-embedded Human breast carcinoma tissue stained with ARG51768 anti-BIM phospho (Ser69) antibody (left) or the same antibody preincubated with blocking peptide (right).
-
ARG51768 anti-BIM phospho (Ser69) antibody ICC/IF image
Immunofluorescence: methanol-fixed HeLa cells stained with ARG51768 anti-BIM phospho (Ser69) antibody.
