ARG46046
anti-BIT1 antibody
anti-BIT1 antibody for Western blot,IHC-Formalin-fixed paraffin-embedded sections and Human,Mouse
Overview
| Product Description | Rabbit Polyclonal antibody recognizes BIT1 |
|---|---|
| Tested Reactivity | Hu, Ms |
| Tested Application | IHC-P, WB |
| Host | Rabbit |
| Clonality | Polyclonal |
| Isotype | IgG |
| Target Name | BIT1 |
| Antigen Species | Human |
| Immunogen | A 16 amino acid synthetic peptide within aa. 80 - 130 of human BIT1. |
| Conjugation | Un-conjugated |
| Alternate Names | PTRH2; Bit1; BIT1; PTH2; CGI-147; BIT1; Peptidyl-tRNA hydrolase 2; mitochondrial; Bcl-2 inhibitor of transcription 1; PTH 2 |
Application Instructions
| Application Suggestion |
|
||||||
|---|---|---|---|---|---|---|---|
| Application Note | * The dilutions indicate recommended starting dilutions and the optimal dilutions or concentrations should be determined by the scientist. |
Properties
| Purification | Affinity chromatography purified |
|---|---|
| Buffer | PBS and 0.02% Sodium azide. |
| Preservative | 0.02% Sodium azide |
| Concentration | 1 mg/ml |
| Storage Instruction | For continuous use, store undiluted antibody at 2-8°C for up to a week. For long-term storage, aliquot and store at -96°C or below. Storage in frost free freezers is not recommended. Avoid repeated freeze/thaw cycles. Suggest spin the vial prior to opening. The antibody solution should be gently mixed before use. |
| Note | For laboratory research only, not for drug, diagnostic or other use. |
Bioinformation
| Database Links |
Swiss-port # Q8R2Y8 Mouse Peptidyl-tRNA hydrolase 2, mitochondrial Swiss-port # Q9Y3E5 Human Peptidyl-tRNA hydrolase 2, mitochondrial |
|---|---|
| Gene Symbol | PTRH2 |
| Gene Full Name | peptidyl-tRNA hydrolase 2 |
| Background | The protein encoded by this gene is a mitochondrial protein with two putative domains, an N-terminal mitochondrial localization sequence, and a UPF0099 domain. In vitro assays suggest that this protein possesses peptidyl-tRNA hydrolase activity, to release the peptidyl moiety from tRNA, thereby preventing the accumulation of dissociated peptidyl-tRNA that could reduce the efficiency of translation. This protein also plays a role regulating cell survival and death. It promotes survival as part of an integrin-signaling pathway for cells attached to the extracellular matrix (ECM), but also promotes apoptosis in cells that have lost their attachment to the ECM, a process called anoikos. After loss of cell attachment to the ECM, this protein is phosphorylated, is released from the mitochondria into the cytosol, and promotes caspase-independent apoptosis through interactions with transcriptional regulators. This gene has been implicated in the development and progression of tumors, and mutations in this gene have been associated with an infantile multisystem neurologic, endocrine, and pancreatic disease (INMEPD) characterized by intellectual disability, postnatal microcephaly, progressive cerebellar atrophy, hearing impairment, polyneuropathy, failure to thrive, and organ fibrosis with exocrine pancreas insufficiency (PMID: 25574476). Alternative splicing results in multiple transcript variants encoding different isoforms. [provided by RefSeq, Mar 2015] |
| Function | Peptidyl-tRNA hydrolase which releases tRNAs from the ribosome during protein synthesis (PubMed:14660562). Promotes caspase-independent apoptosis by regulating the function of two transcriptional regulators, AES and TLE1. [UniProt] |
| Cellular Localization | Mitochondrion outer membrane. [UniProt] |
| Calculated MW | 19 kDa |
| PTM | Phosphoprotein. [UniProt] |
Images (3) Click the Picture to Zoom In
-
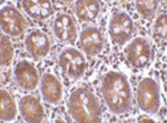
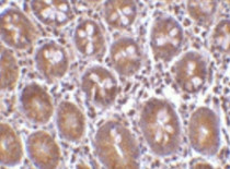
ARG46046 anti-BIT1 antibody IHC-P image
Immunohistochemistry: Human small intestine stained with ARG46046 anti-BIT1 antibody.
-
ARG46046 anti-BIT1 antibody ICC/IF image
Immunofluorescence: Human Small Intestine stained with ARG46046 anti-BIT1 antibody.
-
ARG46046 anti-BIT1 antibody WB image
Western blot: Daudi stained with ARG46046 anti-BIT1 antibody.
