ARG66736
anti-BLM / Blooms Syndrome Protein antibody
anti-BLM / Blooms Syndrome Protein antibody for ICC/IF,IHC-Formalin-fixed paraffin-embedded sections and Human
Overview
| Product Description | Rabbit Polyclonal antibody recognizes BLM / Blooms Syndrome Protein |
|---|---|
| Tested Reactivity | Hu |
| Tested Application | ICC/IF, IHC-P |
| Host | Rabbit |
| Clonality | Polyclonal |
| Isotype | IgG |
| Target Name | BLM / Blooms Syndrome Protein |
| Antigen Species | Human |
| Immunogen | Synthetic peptide between aa. 65-114 of Human BLM / Blooms Syndrome Protein. |
| Conjugation | Un-conjugated |
| Alternate Names | Bloom syndrome protein; RECQL3; RECQL2; RECQ2; BS; RecQ protein-like 3; EC 3.6.4.12; DNA helicase, RecQ-like type 2; RecQ2 |
Application Instructions
| Application Suggestion |
|
||||||
|---|---|---|---|---|---|---|---|
| Application Note | * The dilutions indicate recommended starting dilutions and the optimal dilutions or concentrations should be determined by the scientist. |
Properties
| Form | Liquid |
|---|---|
| Purification | Affinity purification with immunogen. |
| Buffer | PBS, 0.02% Sodium azide, 50% Glycerol and 0.5% BSA. |
| Preservative | 0.02% Sodium azide |
| Stabilizer | 50% Glycerol and 0.5% BSA |
| Storage Instruction | For continuous use, store undiluted antibody at 2-8°C for up to a week. For long-term storage, aliquot and store at -20°C. Storage in frost free freezers is not recommended. Avoid repeated freeze/thaw cycles. Suggest spin the vial prior to opening. The antibody solution should be gently mixed before use. |
| Note | For laboratory research only, not for drug, diagnostic or other use. |
Bioinformation
| Database Links | |
|---|---|
| Gene Symbol | BLM |
| Gene Full Name | Bloom syndrome, RecQ helicase-like |
| Background | The Bloom syndrome gene product is related to the RecQ subset of DExH box-containing DNA helicases and has both DNA-stimulated ATPase and ATP-dependent DNA helicase activities. Mutations causing Bloom syndrome delete or alter helicase motifs and may disable the 3'-5' helicase activity. The normal protein may act to suppress inappropriate recombination. [provided by RefSeq, Jul 2008] |
| Function | ATP-dependent DNA helicase that unwinds single- and double-stranded DNA in a 3'-5' direction (PubMed:9388193, PubMed:24816114, PubMed:25901030). Participates in DNA replication and repair (PubMed:12019152, PubMed:21325134, PubMed:23509288). Involved in 5'-end resection of DNA during double-strand break (DSB) repair: unwinds DNA and recruits DNA2 which mediates the cleavage of 5'-ssDNA (PubMed:21325134). Negatively regulates sister chromatid exchange (SCE) (PubMed:25901030). Stimulates DNA 4-way junction branch migration and DNA Holliday junction dissolution (PubMed:25901030). Binds single-stranded DNA (ssDNA), forked duplex DNA and DNA Holliday junction (PubMed:20639533, PubMed:24257077, PubMed:25901030). [UniProt] |
| Cellular Localization | Nucleus. Note=Together with SPIDR, is redistributed in discrete nuclear DNA damage-induced foci following hydroxyurea (HU) or camptothecin (CPT) treatment. Accumulated at sites of DNA damage in a RMI complex- and SPIDR-dependent manner. [UniProt] |
| Calculated MW | 159 kDa |
| PTM | Phosphorylated in response to DNA damage. Phosphorylation requires the FANCA-FANCC-FANCE-FANCF-FANCG protein complex, as well as the presence of RMI1. [UniProt] |
Images (2) Click the Picture to Zoom In
-
ARG66736 anti-BLM / Blooms Syndrome Protein antibody ICC/IF image
Immunofluorescence: A549 cells stained with ARG66736 anti-BLM / Blooms Syndrome Protein antibody. The picture on the right is blocked with the synthetic peptide.
-
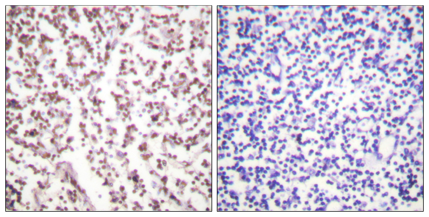
ARG66736 anti-BLM / Blooms Syndrome Protein antibody IHC-P image
Immunohistochemistry: Paraffin-embedded Human lymph node tissue stained with ARG66736 anti-BLM / Blooms Syndrome Protein antibody. The picture on the right is blocked with the synthetic peptide.
