ARG59631
anti-BLMH antibody
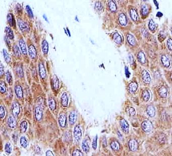
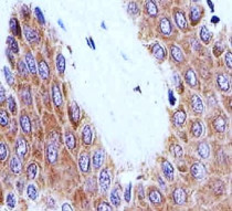
anti-BLMH antibody for IHC-Formalin-fixed paraffin-embedded sections,Western blot and Human,Mouse,Rat
Overview
| Product Description | Rabbit Polyclonal antibody recognizes BLMH |
|---|---|
| Tested Reactivity | Hu, Ms, Rat |
| Predict Reactivity | Rb |
| Tested Application | IHC-P, WB |
| Host | Rabbit |
| Clonality | Polyclonal |
| Isotype | IgG |
| Target Name | BLMH |
| Antigen Species | Human |
| Immunogen | KLH-conjugated synthetic peptide corresponding to aa. 212-242 of Human BLMH. |
| Conjugation | Un-conjugated |
| Alternate Names | BLM hydrolase; BMH; BH; EC 3.4.22.40; Bleomycin hydrolase |
Application Instructions
| Application Suggestion |
|
||||||
|---|---|---|---|---|---|---|---|
| Application Note | * The dilutions indicate recommended starting dilutions and the optimal dilutions or concentrations should be determined by the scientist. | ||||||
| Positive Control | K562 |
Properties
| Form | Liquid |
|---|---|
| Purification | Purification with Protein A and immunogen peptide. |
| Buffer | PBS and 0.09% (W/V) Sodium azide. |
| Preservative | 0.09% (W/V) Sodium azide |
| Storage Instruction | For continuous use, store undiluted antibody at 2-8°C for up to a week. For long-term storage, aliquot and store at -20°C or below. Storage in frost free freezers is not recommended. Avoid repeated freeze/thaw cycles. Suggest spin the vial prior to opening. The antibody solution should be gently mixed before use. |
| Note | For laboratory research only, not for drug, diagnostic or other use. |
Bioinformation
| Database Links | |
|---|---|
| Gene Symbol | BLMH |
| Gene Full Name | bleomycin hydrolase |
| Background | Bleomycin hydrolase (BMH) is a cytoplasmic cysteine peptidase that is highly conserved through evolution; however, the only known activity of the enzyme is metabolic inactivation of the glycopeptide bleomycin (BLM), an essential component of combination chemotherapy regimens for cancer. The protein contains the signature active site residues of the cysteine protease papain superfamily. [provided by RefSeq, Jul 2008] |
| Function | The normal physiological role of BLM hydrolase is unknown, but it catalyzes the inactivation of the antitumor drug BLM (a glycopeptide) by hydrolyzing the carboxamide bond of its B-aminoalaninamide moiety thus protecting normal and malignant cells from BLM toxicity. [UniProt] |
| Cellular Localization | Cytoplasm. [UniProt] |
| Calculated MW | 53 kDa |
Images (2) Click the Picture to Zoom In
