ARG44784
anti-BLOC1S2 antibody
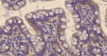
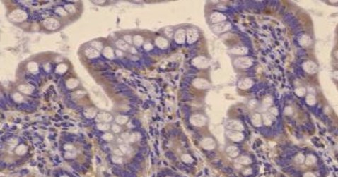
anti-BLOC1S2 antibody for IHC-Formalin-fixed paraffin-embedded sections and Human
Overview
| Product Description | Mouse Monoclonal antibody recognizes BLOC1S2 |
|---|---|
| Tested Reactivity | Hu |
| Tested Application | IHC-P |
| Host | Mouse |
| Clonality | Monoclonal |
| Isotype | IgG2b |
| Target Name | BLOC1S2 |
| Antigen Species | Human |
| Epitope | AAAAEGVLAT RSDEPARDDA AVETAEEAKE PAEADITELC RDMFSKMATY LTGELTATSE DYKLLENMNK LTSLKYLEMK DIAINISRNL KDLNQKYAGL QPYLDQINVI EEQVAALEQA AYKLDAYSKK LEAKYKKLEK R |
| Conjugation | Un-conjugated |
| Alternate Names | BLOC1S2; Biogenesis Of Lysosomal Organelles Complex 1 Subunit 2; BLOS2; BLOC-1 Subunit 2; BORCS2; Biogenesis Of Lysosome-Related Organelles Complex 1 Subunit 2; Centrosome Protein Oncogene; MGC10120; FLJ30135; CEAP; Biogenesis Of Lysosome-Related Organelles Complex-1 Subunit 2; 11 KDa Centrosome Associated Protein; Centrosome-Associated Protein; Centrosomal 10 KDa Protein; CEAP11 |
Application Instructions
| Application Suggestion |
|
||||
|---|---|---|---|---|---|
| Application Note | * The dilutions indicate recommended starting dilutions and the optimal dilutions or concentrations should be determined by the scientist. |
Properties
| Form | Liquid |
|---|---|
| Purification | Protein A purification |
| Buffer | PBS with 0.09% sodium azide |
| Preservative | 0.09% sodium azide |
| Storage Instruction | For continuous use, store undiluted antibody at 2-8°C for up to a week. For long-term storage, aliquot and store at -20°C or below. Storage in frost free freezers is not recommended. Avoid repeated freeze/thaw cycles. Suggest spin the vial prior to opening. The antibody solution should be gently mixed before use. |
| Note | For laboratory research only, not for drug, diagnostic or other use. |
Bioinformation
| Database Links |
Swiss-port # Q6QNY1 Human Biogenesis of lysosome-related organelles complex 1 subunit 2 |
|---|---|
| Gene Symbol | BLOC1S2 |
| Gene Full Name | Biogenesis Of Lysosomal Organelles Complex 1 Subunit 2 |
| Background | This gene encodes a protein with multiple functions. The encoded protein has been found in association with the centrosome, shown to co-localize with gamma-tubulin, and also found to be one of the proteins in the BLOC-1 complex which functions in the formation of lysosome-related organelles. A pseudogene of this gene is located on the X chromosome. Alternative splicing results in multiple transcript variants. [provided by RefSeq, Feb 2012] |
| Function | May play a role in cell proliferation. [Uniprot] |
| Cellular Localization | Cytoplasm, Cytoskeleton, Lysosome, Membrane. [Uniprot] |
| PTM | Acetylation. [Uniprot] |
Images (1) Click the Picture to Zoom In
