ARG57624
anti-BMP7 antibody
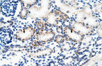
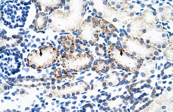
anti-BMP7 antibody for IHC-Formalin-fixed paraffin-embedded sections,Western blot and Human
Overview
| Product Description | Rabbit Polyclonal antibody recognizes BMP7 |
|---|---|
| Tested Reactivity | Hu |
| Tested Application | IHC-P, WB |
| Host | Rabbit |
| Clonality | Polyclonal |
| Isotype | IgG |
| Target Name | BMP7 |
| Antigen Species | Human |
| Immunogen | Synthetic peptide corresponding a region of Human BMP7. |
| Conjugation | Un-conjugated |
| Alternate Names | BMP-7; OP-1; Osteogenic protein 1; Eptotermin alfa; Bone morphogenetic protein 7 |
Application Instructions
| Application Suggestion |
|
||||||
|---|---|---|---|---|---|---|---|
| Application Note | * The dilutions indicate recommended starting dilutions and the optimal dilutions or concentrations should be determined by the scientist. | ||||||
| Positive Control | Tranfected 293T cell lysate. | ||||||
| Observed Size | 49 kDa |
Properties
| Form | Liquid |
|---|---|
| Purification | Purification with Protein A. |
| Buffer | PBS and 2% Sucrose. |
| Stabilizer | 2% Sucrose |
| Concentration | 1 mg/ml |
| Storage Instruction | For continuous use, store undiluted antibody at 2-8°C for up to a week. For long-term storage, aliquot and store at -20°C or below. Storage in frost free freezers is not recommended. Avoid repeated freeze/thaw cycles. Suggest spin the vial prior to opening. The antibody solution should be gently mixed before use. |
| Note | For laboratory research only, not for drug, diagnostic or other use. |
Bioinformation
| Database Links | |
|---|---|
| Gene Symbol | BMP7 |
| Gene Full Name | bone morphogenetic protein 7 |
| Background | The bone morphogenetic proteins (BMPs) are a family of secreted signaling molecules that can induce ectopic bone growth. Many BMPs are part of the transforming growth factor-beta (TGFB) superfamily. BMPs were originally identified by an ability of demineralized bone extract to induce endochondral osteogenesis in vivo in an extraskeletal site. Based on its expression early in embryogenesis, the BMP encoded by this gene has a proposed role in early development and possible bone inductive activity. [provided by RefSeq, Jul 2008] |
| Function | Induces cartilage and bone formation. May be the osteoinductive factor responsible for the phenomenon of epithelial osteogenesis. Plays a role in calcium regulation and bone homeostasis. [UniProt] |
| Calculated MW | 49 kDa |
| PTM | Several N-termini starting at positions 293, 300, 315 and 316 have been identified by direct sequencing resulting in secretion of different mature forms. [UniProt] |
Images (2) Click the Picture to Zoom In
