ARG70010
anti-BTBD9 antibody
anti-BTBD9 antibody for Flow cytometry,IHC-Formalin-fixed paraffin-embedded sections,Western blot and Human,Mouse
Gene Regulation antibody
Overview
| Product Description | Rabbit Polyclonal antibody recognizes BTBD9 |
|---|---|
| Tested Reactivity | Hu, Ms |
| Predict Reactivity | Bov, Rat |
| Tested Application | FACS, IHC-P, WB |
| Host | Rabbit |
| Clonality | Polyclonal |
| Isotype | IgG |
| Target Name | BTBD9 |
| Antigen Species | Human |
| Immunogen | KLH-conjugated synthetic peptide within 237 to 262 aa (center) of Human BTBD9 protein (NP_001092742.1) |
| Conjugation | Un-conjugated |
| Alternate Names | dJ322I12.1; BTB/POZ domain-containing protein 9 |
Application Instructions
| Application Suggestion |
|
||||||||
|---|---|---|---|---|---|---|---|---|---|
| Application Note | * The dilutions indicate recommended starting dilutions and the optimal dilutions or concentrations should be determined by the scientist. | ||||||||
| Positive Control | Jurkat |
Properties
| Form | Liquid |
|---|---|
| Purification | Purification with Protein A. |
| Buffer | PBS and 0.09% (W/V) Sodium azide |
| Preservative | 0.09% (W/V) Sodium azide |
| Storage Instruction | For continuous use, store undiluted antibody at 2-8°C for up to a week. For long-term storage, aliquot and store at -20°C or below. Storage in frost free freezers is not recommended. Avoid repeated freeze/thaw cycles. Suggest spin the vial prior to opening. The antibody solution should be gently mixed before use. |
| Note | For laboratory research only, not for drug, diagnostic or other use. |
Bioinformation
| Database Links |
Swiss-port # Q8C726 Mouse BTB/POZ domain-containing protein 9 Swiss-port # Q96Q07 Human BTB/POZ domain-containing protein 9 |
|---|---|
| Gene Symbol | BTBD9 |
| Gene Full Name | BTB (POZ) domain containing 9 |
| Background | BTB/POZ domain-containing protein is known to be involved in protein-protein interactions. Polymorphisms at this locus have been reported to be associated with susceptibility to Restless Legs Syndrome and may also be associated with Tourette Syndrome. Alternatively spliced transcript variants have been described. [provided by RefSeq, Aug 2011] |
| Research Area | Gene Regulation antibody |
| Calculated MW | 69 kDa |
Images (3) Click the Picture to Zoom In
-
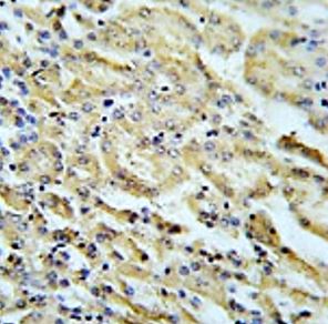
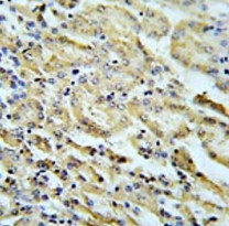
ARG70010 anti-BTBD9 antibody IHC-P image
Immunohistochemistry: Formalin-fixed and paraffin-embedded Mouse kidney tissue stained with ARG70010 anti-BTBD9 antibody.
-
ARG70010 anti-BTBD9 antibody WB image
Western blot: 15 µg of Jurkat cell lysate stained with ARG70010 anti-BTBD9 antibody.
-
ARG70010 anti-BTBD9 antibody FACS image
Flow Cytometry: Jurkat cells stained with ARG70010 anti-BTBD9 antibody (bottom histogram) or without primary antibody control (top histogram), followed by incubation with FITC labelled secondary antibody.
