ARG45129
anti-Bag1 antibody
anti-Bag1 antibody for IHC-Formalin-fixed paraffin-embedded sections,Western blot and Human,Mouse,Rat
Overview
| Product Description | Rabbit Polyclonal antibody recognizes Bag1 |
|---|---|
| Tested Reactivity | Hu, Ms, Rat |
| Tested Application | IHC-P, WB |
| Host | Rabbit |
| Clonality | Polyclonal |
| Isotype | IgG |
| Target Name | Bag1 |
| Antigen Species | Human |
| Immunogen | Synthetic peptide corresponding to C-terminal region of human BAG1. |
| Conjugation | Un-conjugated |
| Alternate Names | BAG1; BAG Cochaperone; BAG family molecular chaperone regulator 1; BAG-1; Bcl-2-associated athanogene 1; BAG1; HAP; BCL2 Associated Athanogene; HAP; Glucocortoid Receptor-Associated Protein RAP46 ; Bcl-2 Associating Athanogene-1 Protein; Receptor-Associated Protein, 46-KD; BCL2 Associated Athanogene; BCL2-Associated Athanogene; Bcl-2-Binding Protein; RAP46 |
Application Instructions
| Application Suggestion |
|
||||||
|---|---|---|---|---|---|---|---|
| Application Note | * The dilutions indicate recommended starting dilutions and the optimal dilutions or concentrations should be determined by the scientist. | ||||||
| Observed Size | 33, 46, 56 kDa |
Properties
| Form | Liquid |
|---|---|
| Purification | Affinity purification with immunogen. |
| Buffer | 0.2% Na2HPO4, 0.9% NaCl and 4% Trehalose. |
| Stabilizer | 4% Trehalose |
| Concentration | 0.5 mg/ml |
| Storage Instruction | For continuous use, store undiluted antibody at 2-8°C for up to a week. For long-term storage, aliquot and store at -20°C or below. Storage in frost free freezers is not recommended. Avoid repeated freeze/thaw cycles. Suggest spin the vial prior to opening. The antibody solution should be gently mixed before use. |
| Note | For laboratory research only, not for drug, diagnostic or other use. |
Bioinformation
| Database Links | |
|---|---|
| Gene Symbol | BAG1 |
| Gene Full Name | BAG Cochaperone |
| Background | The oncogene BCL2 is a membrane protein that blocks a step in a pathway leading to apoptosis or programmed cell death. The protein encoded by this gene binds to BCL2 and is referred to as BCL2-associated athanogene. It enhances the anti-apoptotic effects of BCL2 and represents a link between growth factor receptors and anti-apoptotic mechanisms. Multiple protein isoforms are encoded by this mRNA through the use of a non-AUG (CUG) initiation codon, and three alternative downstream AUG initiation codons. A related pseudogene has been defined on chromosome X. [provided by RefSeq, Feb 2010] |
| Function | Co-chaperone for HSP70 and HSC70 chaperone proteins. Acts as a nucleotide-exchange factor (NEF) promoting the release of ADP from the HSP70 and HSC70 proteins thereby triggering client/substrate protein release. Nucleotide release is mediated via its binding to the nucleotide-binding domain (NBD) of HSPA8/HSC70 where as the substrate release is mediated via its binding to the substrate-binding domain (SBD) of HSPA8/HSC70. [UniProt] |
| Cellular Localization | Nucleus; Cytoplasm. [UniProt] |
| Calculated MW | 39 kDa |
| PTM | Phosphoprotein; Ubl conjugation. [UniProt] |
Images (4) Click the Picture to Zoom In
-
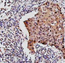
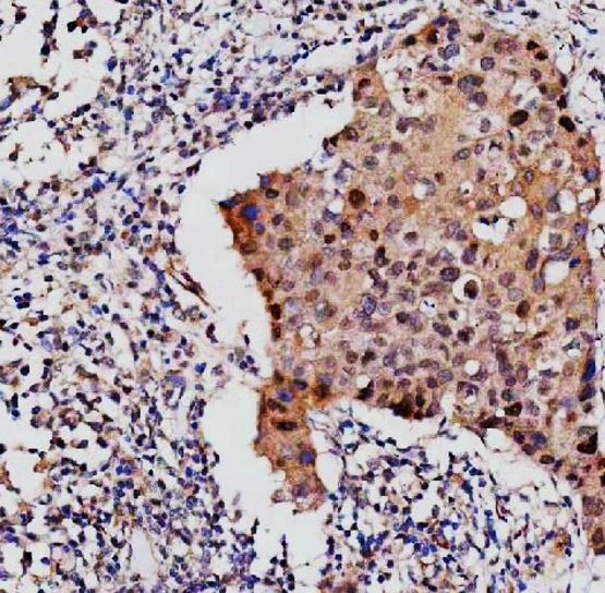
ARG45129 anti-Bag1 antibody IHC-P image
Immunohistochemistry: Human breast cancer stained with ARG45129 anti-Bag1 antibody at 2 μg/ml dilution.
-
ARG45129 anti-Bag1 antibody WB image
Western blot: Hela, Jurkat, MCF-7, and 293T stained with ARG45129 anti-Bag1 antibody at 0.5 μg/ml dilution.
-
ARG45129 anti-Bag1 antibody IHC-P image
Immunohistochemistry: Rat colon stained with ARG45129 anti-Bag1 antibody at 2 μg/ml dilution.
-
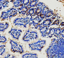
ARG45129 anti-Bag1 antibody IHC-P image
Immunohistochemistry: Mouse colon stained with ARG45129 anti-Bag1 antibody at 2 μg/ml dilution.
