ARG46040
anti-Bcl G antibody
anti-Bcl G antibody for Western blot,IHC-Formalin-fixed paraffin-embedded sections and Human,Mouse,Rat
Overview
| Product Description | Rabbit Polyclonal antibody recognizes Bcl G |
|---|---|
| Tested Reactivity | Hu, Ms, Rat |
| Tested Application | IHC-P, WB |
| Host | Rabbit |
| Clonality | Polyclonal |
| Isotype | IgG |
| Target Name | Bcl G |
| Antigen Species | Human |
| Immunogen | A 15 amino acid synthetic peptide within the first 50 amino acids of human Bcl G. |
| Conjugation | Un-conjugated |
| Alternate Names | BCL2L14; BCLG; Bcl2-L-14; Apoptosis regulator Bcl-G; Apoptosis facilitator Bcl-2-like protein 14 |
Application Instructions
| Application Suggestion |
|
||||||
|---|---|---|---|---|---|---|---|
| Application Note | * The dilutions indicate recommended starting dilutions and the optimal dilutions or concentrations should be determined by the scientist. |
Properties
| Purification | Ion exchange chromatography purified |
|---|---|
| Buffer | PBS and 0.02% Sodium azide. |
| Preservative | 0.02% Sodium azide |
| Concentration | 1 mg/ml |
| Storage Instruction | For continuous use, store undiluted antibody at 2-8°C for up to a week. For long-term storage, aliquot and store at -20°C. Storage in frost free freezers is not recommended. Avoid repeated freeze/thaw cycles. Suggest spin the vial prior to opening. The antibody solution should be gently mixed before use. |
| Note | For laboratory research only, not for drug, diagnostic or other use. |
Bioinformation
| Database Links | |
|---|---|
| Gene Symbol | BCL2L14 |
| Gene Full Name | BCL2-like 14 (apoptosis facilitator) |
| Background | The protein encoded by this gene belongs to the BCL2 protein family. BCL2 family members form hetero- or homodimers and act as anti- or pro-apoptotic regulators that are involved in a wide variety of cellular activities. Overexpression of this gene has been shown to induce apoptosis in cells. Three alternatively spliced transcript variants encoding two distinct isoforms have been reported for this gene. [provided by RefSeq, May 2009] |
| Function | Plays a role in apoptosis. [UniProt] |
| Cellular Localization | Cytoplasm. Isoform 2: Endomembrane system. Note=Predominantly localized to cytosolic organelles |
| Calculated MW | 37 kDa |
| PTM | Phosphorylated by MELK, leading to inhibit its pro-apoptotic function. |
Images (3) Click the Picture to Zoom In
-
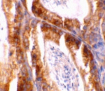
ARG46040 anti-Bcl G antibody IHC-P image
Immunohistochemistry: Mouse testis stained with ARG46040 anti-Bcl G antibody.
-
ARG46040 anti-Bcl G antibody ICC/IF image
Immunofluorescence: Mouse Testis stained with ARG46040 anti-Bcl G antibody.
-
ARG46040 anti-Bcl G antibody WB image
Western blot: U937 stained with ARG46040 anti-Bcl G antibody.
