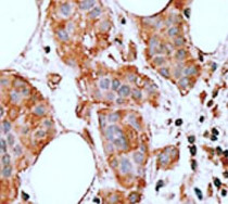
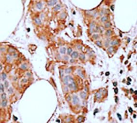
ARG54958
anti-Bcl G antibody
anti-Bcl G antibody for IHC-Formalin-fixed paraffin-embedded sections,Western blot and Human
Cell Biology and Cellular Response antibody; Cell Death antibody; Controls and Markers antibody
Overview
| Product Description | Rabbit Polyclonal antibody recognizes Bcl G |
|---|---|
| Tested Reactivity | Hu |
| Tested Application | IHC-P, WB |
| Host | Rabbit |
| Clonality | Polyclonal |
| Isotype | IgG |
| Target Name | Bcl G |
| Antigen Species | Human |
| Immunogen | KLH-conjugated synthetic peptide corresponding to aa. 194-229 of Human Bcl G. |
| Conjugation | Un-conjugated |
| Alternate Names | BCLG; Bcl2-L-14; Apoptosis regulator Bcl-G; Apoptosis facilitator Bcl-2-like protein 14 |
Application Instructions
| Application Suggestion |
|
||||||
|---|---|---|---|---|---|---|---|
| Application Note | * The dilutions indicate recommended starting dilutions and the optimal dilutions or concentrations should be determined by the scientist. | ||||||
| Positive Control | K562 |
Properties
| Form | Liquid |
|---|---|
| Purification | Purification with Protein G. |
| Buffer | PBS and 0.09% (W/V) Sodium azide |
| Preservative | 0.09% (W/V) Sodium azide |
| Storage Instruction | For continuous use, store undiluted antibody at 2-8°C for up to a week. For long-term storage, aliquot and store at -20°C or below. Storage in frost free freezers is not recommended. Avoid repeated freeze/thaw cycles. Suggest spin the vial prior to opening. The antibody solution should be gently mixed before use. |
| Note | For laboratory research only, not for drug, diagnostic or other use. |
Bioinformation
| Database Links |
Swiss-port # Q9BZR8 Human Apoptosis facilitator Bcl-2-like protein 14 |
|---|---|
| Gene Symbol | BCL2L14 |
| Gene Full Name | BCL2-like 14 (apoptosis facilitator) |
| Background | The protein encoded by this gene belongs to the BCL2 protein family. BCL2 family members form hetero- or homodimers and act as anti- or pro-apoptotic regulators that are involved in a wide variety of cellular activities. Overexpression of this gene has been shown to induce apoptosis in cells. Three alternatively spliced transcript variants encoding two distinct isoforms have been reported for this gene. [provided by RefSeq, May 2009] |
| Function | Plays a role in apoptosis. [UniProt] |
| Cellular Localization | Cytoplasm. Isoform 2: Endomembrane system. Note=Predominantly localized to cytosolic organelles |
| Research Area | Cell Biology and Cellular Response antibody; Cell Death antibody; Controls and Markers antibody |
| Calculated MW | 37 kDa |
| PTM | Phosphorylated by MELK, leading to inhibit its pro-apoptotic function. |
Images (2) Click the Picture to Zoom In
