ARG51692
anti-Bcr phospho (Tyr177) antibody
anti-Bcr phospho (Tyr177) antibody for IHC-Formalin-fixed paraffin-embedded sections,Western blot and Human,Mouse
Cancer antibody; Signaling Transduction antibody
Overview
| Product Description | Rabbit Polyclonal antibody recognizes Bcr phospho (Tyr177) |
|---|---|
| Tested Reactivity | Hu, Ms |
| Tested Application | IHC-P, WB |
| Host | Rabbit |
| Clonality | Polyclonal |
| Isotype | IgG |
| Target Name | Bcr |
| Antigen Species | Human |
| Immunogen | Peptide sequence around phosphorylation site of tyrosine 177 (P-F-Y(p)-V-N) derived from Human Bcr. |
| Conjugation | Un-conjugated |
| Alternate Names | ALL; CML; Renal carcinoma antigen NY-REN-26; D22S11; PHL; D22S662; BCR1; EC 2.7.11.1; Breakpoint cluster region protein |
Application Instructions
| Application Suggestion |
|
||||||
|---|---|---|---|---|---|---|---|
| Application Note | * The dilutions indicate recommended starting dilutions and the optimal dilutions or concentrations should be determined by the scientist. |
Properties
| Form | Liquid |
|---|---|
| Purification | Antibodies were produced by immunizing rabbits with KLH-conjugated synthetic phosphopeptide. Antibodies were purified by affinity-chromatography using epitope-specific phosphopeptide. In addition, non-phospho specific antibodies were removed by chromatogramphy using non-phosphopeptide. |
| Buffer | PBS (without Mg2+ and Ca2+, pH 7.4), 150mM NaCl, 0.02% Sodium azide and 50% Glycerol. |
| Preservative | 0.02% Sodium azide |
| Stabilizer | 50% Glycerol |
| Concentration | 1 mg/ml |
| Storage Instruction | For continuous use, store undiluted antibody at 2-8°C for up to a week. For long-term storage, aliquot and store at -20°C. Storage in frost free freezers is not recommended. Avoid repeated freeze/thaw cycles. Suggest spin the vial prior to opening. The antibody solution should be gently mixed before use. |
| Note | For laboratory research only, not for drug, diagnostic or other use. |
Bioinformation
| Database Links | |
|---|---|
| Gene Symbol | BCR |
| Gene Full Name | breakpoint cluster region |
| Background | GTPase-activating protein for RAC1 and CDC42. Promotes the exchange of RAC or CDC42-bound GDP by GTP, thereby activating them. Displays serine/threonine kinase activity. |
| Function | GTPase-activating protein for RAC1 and CDC42. Promotes the exchange of RAC or CDC42-bound GDP by GTP, thereby activating them. Displays serine/threonine kinase activity. [UniProt] |
| Research Area | Cancer antibody; Signaling Transduction antibody |
| Calculated MW | 143 kDa |
| PTM | Autophosphorylated. Phosphorylated by FES/FPS on tyrosine residues, leading to down-regulation of the BCR kinase activity. Phosphorylation at Tyr-177 by HCK is important for interaction with GRB2. |
Images (2) Click the Picture to Zoom In
-
ARG51692 anti-Bcr phospho (Tyr177) antibody WB image
Western blot: Extracts from K562 cells untreated or treated with H2O2 stained with ARG51692 anti-Bcr phospho (Tyr177) antibody.
-
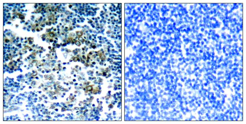
ARG51692 anti-Bcr phospho (Tyr177) antibody IHC-P image
Immunohistochemistry: Paraffin-embedded Human tonsil tumor tissue stained with ARG51692 anti-Bcr phospho (Tyr177) antibody (left) or the same antibody preincubated with blocking peptide (right).
