ARG45797
anti-Beta Arrestin 2 antibody
anti-Beta Arrestin 2 antibody for IHC-Formalin-fixed paraffin-embedded sections,Western blot and Human,Mouse,Rat
Overview
| Product Description | Rabbit Polyclonal antibody recognizes Beta Arrestin 2 |
|---|---|
| Tested Reactivity | Hu, Ms, Rat |
| Tested Application | IHC-P, WB |
| Host | Rabbit |
| Clonality | Polyclonal |
| Isotype | IgG |
| Target Name | Beta Arrestin 2 |
| Antigen Species | Human |
| Immunogen | Synthetic peptide corresponding to C-terminal region of human Beta Arrestin 2. |
| Conjugation | Un-conjugated |
| Alternate Names | ARRB2; Arrestin Beta 2; BARR2; Beta-arrestin-2; Arrestin beta-2; ARB2; ARR2 |
Application Instructions
| Application Suggestion |
|
||||||
|---|---|---|---|---|---|---|---|
| Application Note | * The dilutions indicate recommended starting dilutions and the optimal dilutions or concentrations should be determined by the scientist. | ||||||
| Observed Size | 46 kDa |
Properties
| Form | Liquid |
|---|---|
| Purification | Affinity purified |
| Buffer | 0.9% NaCl, 0.2% Na2HPO4, 0.05% Thimerosal, 0.05% Sodium azide and 5% BSA. |
| Preservative | 0.05% Thimerosal and 0.05% Sodium azide |
| Stabilizer | 5% BSA |
| Concentration | 0.5 mg/ml |
| Storage Instruction | For continuous use, store undiluted antibody at 2-8°C for up to a week. For long-term storage, aliquot and store at -20°C or below. Storage in frost free freezers is not recommended. Avoid repeated freeze/thaw cycles. Suggest spin the vial prior to opening. The antibody solution should be gently mixed before use. |
| Note | For laboratory research only, not for drug, diagnostic or other use. |
Bioinformation
| Database Links | |
|---|---|
| Gene Symbol | ARRB2 |
| Gene Full Name | Arrestin Beta 2 |
| Background | Members of arrestin/beta-arrestin protein family are thought to participate in agonist-mediated desensitization of G-protein-coupled receptors and cause specific dampening of cellular responses to stimuli such as hormones, neurotransmitters, or sensory signals. Arrestin beta 2, like arrestin beta 1, was shown to inhibit beta-adrenergic receptor function in vitro. It is expressed at high levels in the central nervous system and may play a role in the regulation of synaptic receptors. Besides the brain, a cDNA for arrestin beta 2 was isolated from thyroid gland, and thus it may also be involved in hormone-specific desensitization of TSH receptors. Multiple alternatively spliced transcript variants encoding different isoforms have been found for this gene. [provided by RefSeq, Mar 2012] |
| Function | Involved in insulin resistance by acting as insulin-induced signaling scaffold for SRC, AKT1 and INSR. Involved in regulation of inhibitory signaling of natural killer cells by recruiting PTPN6 and PTPN11 to KIR2DL1. Involved in IL8-mediated granule release in neutrophils. Involved in the internalization of the atypical chemokine receptor ACKR3. Acts as an adapter protein coupling FFAR4 receptor to specific downstream signaling pathways, as well as mediating receptor endocytosis. [UniProt] |
| Cellular Localization | Cell membrane; Coated pit; Cytoplasm; Cytoplasmic vesicle; Membrane; Nucleus. [UniProt] |
| Calculated MW | 46 kDa |
| PTM | Phosphorylated at Thr-382 in the cytoplasm; probably dephosphorylated at the plasma membrane. The phosphorylation does not regulate internalization and recycling of ADRB2, interaction with clathrin or AP2B1. The ubiquitination status appears to regulate the formation and trafficking of beta-arrestin-GPCR complexes and signaling. Ubiquitination appears to occur GPCR-specific. Ubiquitinated by MDM2; the ubiquitination is required for rapid internalization of ADRB2. Deubiquitinated by USP33; the deubiquitination leads to a dissociation of the beta-arrestin-GPCR complex. Stimulation of a class A GPCR, such as ADRB2, induces transient ubiquitination and subsequently promotes association with USP33. Stimulation of a class B GPCR promotes a sustained ubiquitination. Hydroxylation by PHD2 modulates the rate of internalization by slowing down recruitment to the plasma membrane and inhibiting subsequent co-internalization with class A receptors. [UniProt] |
Images (4) Click the Picture to Zoom In
-
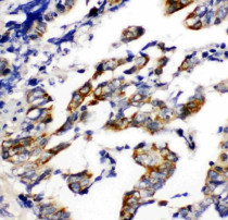
ARG45797 anti-Beta Arrestin 2 antibody IHC-P image
Immunohistochemistry: Human intestinal cancer stained with ARG45797 anti-Beta Arrestin 2 antibody.
-
ARG45797 anti-Beta Arrestin 2 antibody WB image
Western blot: Hela stained with ARG45797 anti-Beta Arrestin 2 antibody.
-
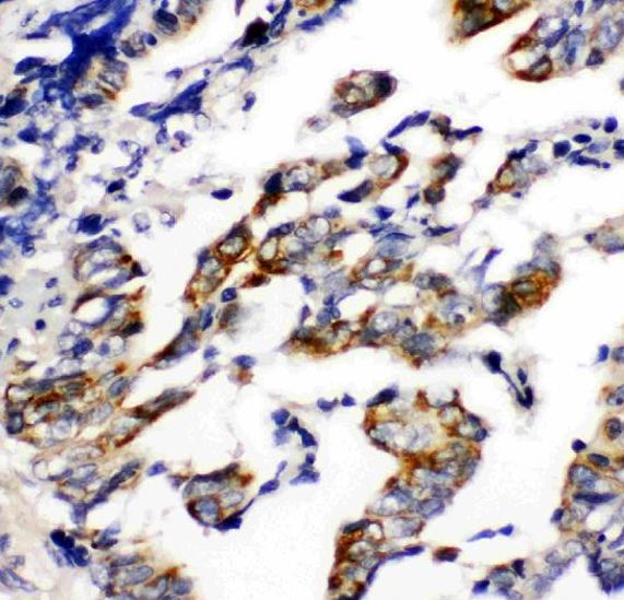
ARG45797 anti-Beta Arrestin 2 antibody IHC-P image
Immunohistochemistry: Rat testis stained with ARG45797 anti-Beta Arrestin 2 antibody.
-
ARG45797 anti-Beta Arrestin 2 antibody WB image
Western blot: Rat skeletal muscle stained with ARG45797 anti-Beta Arrestin 2 antibody.
