ARG40562
anti-Bub3 antibody
anti-Bub3 antibody for ICC/IF,IHC-Frozen sections,IHC-Formalin-fixed paraffin-embedded sections,Western blot and Human,Rat
Overview
| Product Description | Rabbit Polyclonal antibody recognizes Bub3 |
|---|---|
| Tested Reactivity | Hu, Rat |
| Predict Reactivity | Ms, Hm |
| Tested Application | ICC/IF, IHC-Fr, IHC-P, WB |
| Host | Rabbit |
| Clonality | Polyclonal |
| Isotype | IgG |
| Target Name | Bub3 |
| Antigen Species | Human |
| Immunogen | Synthetic peptide corresponding to aa. 76-90 of Human Bub3. (DHQLKMHDLNTDQEN) |
| Conjugation | Un-conjugated |
| Alternate Names | hBUB3; Mitotic checkpoint protein BUB3; BUB3L |
Application Instructions
| Application Suggestion |
|
||||||||||
|---|---|---|---|---|---|---|---|---|---|---|---|
| Application Note | IHC-P: Antigen Retrieval: By heat mediation. * The dilutions indicate recommended starting dilutions and the optimal dilutions or concentrations should be determined by the scientist. |
Properties
| Form | Liquid |
|---|---|
| Purification | Affinity purification with immunogen. |
| Buffer | 0.2% Na2HPO4, 0.9% NaCl, 0.05% Thimerosal, 0.05% Sodium azide and 5% BSA. |
| Preservative | 0.05% Thimerosal and 0.05% Sodium azide |
| Stabilizer | 5% BSA |
| Concentration | 0.5 mg/ml |
| Storage Instruction | For continuous use, store undiluted antibody at 2-8°C for up to a week. For long-term storage, aliquot and store at -20°C or below. Storage in frost free freezers is not recommended. Avoid repeated freeze/thaw cycles. Suggest spin the vial prior to opening. The antibody solution should be gently mixed before use. |
| Note | For laboratory research only, not for drug, diagnostic or other use. |
Bioinformation
| Database Links | |
|---|---|
| Gene Symbol | BUB3 |
| Gene Full Name | BUB3 mitotic checkpoint protein |
| Background | This gene encodes a protein involved in spindle checkpoint function. The encoded protein contains four WD repeat domains and has sequence similarity with the yeast BUB3 protein. Alternate transcriptional splice variants, encoding different isoforms, have been characterized. [provided by RefSeq, Jul 2008] |
| Function | Has a dual function in spindle-assembly checkpoint signaling and in promoting the establishment of correct kinetochore-microtubule (K-MT) attachments. Promotes the formation of stable end-on bipolar attachments. Necessary for kinetochore localization of BUB1. Regulates chromosome segregation during oocyte meiosis. The BUB1/BUB3 complex plays a role in the inhibition of anaphase-promoting complex or cyclosome (APC/C) when spindle-assembly checkpoint is activated and inhibits the ubiquitin ligase activity of APC/C by phosphorylating its activator CDC20. This complex can also phosphorylate MAD1L1. [UniProt] |
| Cellular Localization | Nucleus. Chromosome, centromere, kinetochore. Note=Starts to localize at kinetochores in prometaphase I (Pro-MI) stage and maintains the localization until the metaphase I-anaphase I (MI-AI) transition. [UniProt] |
| Calculated MW | 37 kDa |
| PTM | Poly-ADP-ribosylated by PARP1. [UniProt] |
Images (6) Click the Picture to Zoom In
-
ARG40562 anti-Bub3 antibody ICC image
Immunocytochemistry: A549 cells stained with ARG40562 anti-Bub3 antibody.
-
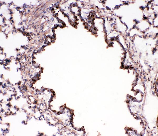
ARG40562 anti-Bub3 antibody IHC-Fr image
Immunohistochemistry: Frozen section of Rat lung tissue. The tissue section was blocked with 10% goat serum. The tissue section was then stained with ARG40562 anti-Bub3 antibody at 1 µg/ml dilution, overnight at 4°C.
-
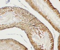
ARG40562 anti-Bub3 antibody IHC-P image
Immunohistochemistry: Paraffin-embedded Rat testis tissue stained with ARG40562 anti-Bub3 antibody.
-
ARG40562 anti-Bub3 antibody WB image
Western blot: 40 µg of HeLa, A549, Jurkat and COLO320 whole cell lysates stained with ARG40562 anti-Bub3 antibody at 0.5 µg/ml dilution.
-
ARG40562 anti-Bub3 antibody ICC image
Immunocytochemistry: HeLa cells stained with ARG40562 anti-Bub3 antibody.
-
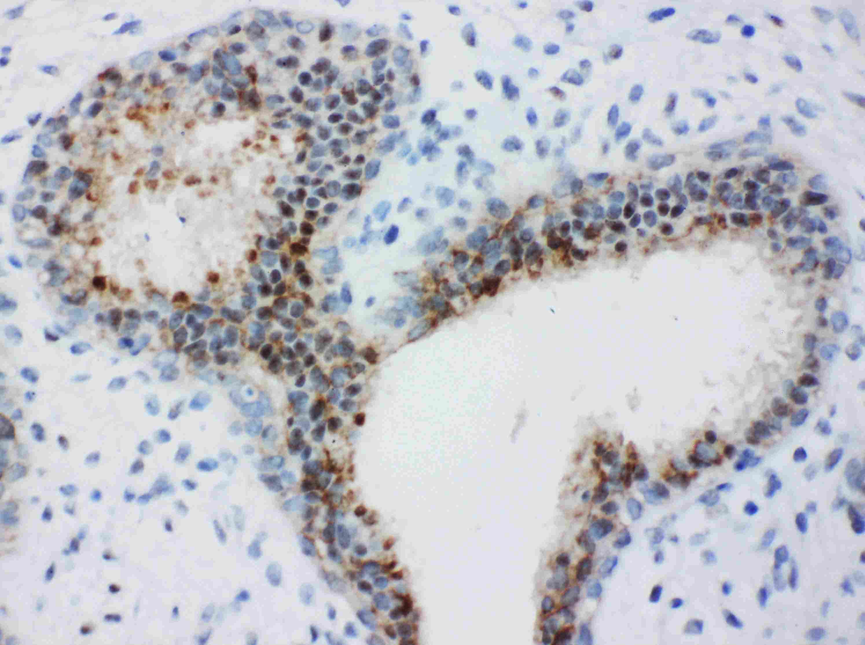
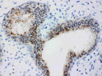
ARG40562 anti-Bub3 antibody IHC-P image
Immunohistochemistry: Paraffin-embedded Human mammary cancer tissue stained with ARG40562 anti-Bub3 antibody.
